Investigações
Primeiras investigações a serem solicitadas
radiografia torácica
Exame
Modalidade de imagem inicial de escolha para a suspeita de aspiração de corpo estranho.[4]
Os corpos estranhos radiopacos são observados em somente 2% a 19% dos pacientes, pois a maior parte dos objetos aspirados são radiolucentes.
Materiais orgânicos, como carne e vegetais, são de difícil visualização.[34]
A sensibilidade da radiografia torácica realizada no pronto-socorro para aspiração de corpo estranho foi relatada como sendo 22.6%.[36] Os índices falso-negativos variam entre 5% e 30% em crianças e entre 8% e 80% em adultos, provavelmente em virtude das diferenças nas propriedades físicas dos materiais aspirados.
Os achados inespecíficos que sugerem aspiração de corpo estranho incluem atelectasia, pneumonia, aprisionamento de ar e pneumomediastino. Os achados tardios são geralmente a bronquiectasia, abscesso pulmonar e empiema.
Uma radiografia torácica normal não descarta a aspiração de corpo estranho, sendo uma tomografia computadorizada (TC) ou broncoscopia necessária para confirmação.
Resultado
os corpos estranhos radiopacos podem ser visualizados
Investigações a serem consideradas
tomografia computadorizada (TC) do tórax
Exame
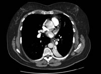
Em crianças, a TC com multidetectores (TCMD) com broncoscopia virtual pode ser usada para diagnosticar a aspiração de corpo estranho e para determinar a localização exata da obstrução. Tem sensibilidade de 92% a 100% e especificidade de 80% a 85%.[40][41] Os falso-positivos ocorrem por causa de secreções e tumores endobrônquicos. Em adultos, a broncoscopia deve ser realizada subsequentemente para confirmação, ou para diagnosticar as causas alternativas de obstrução das vias aéreas.[Figure caption and citation for the preceding image starts]: TC do tórax com material de contraste intravenoso mostrando colapso total do lobo inferior esquerdo com um objeto radiopaco dentro do brônquio principal inferior esquerdo, circundado por um halo de arBMJ Case Reports 2008 (doi:10.1136/bcr.06.2008.0013). Copyright 2008 BMJ Group Ltd [Citation ends].
Resultado
o corpo estranho pode ser observado no lúmen das vias aéreas; achados comuns indiretos incluem atelectasia, hiperlucência e condensação lobar
broncoscopia
Exame
A broncoscopia rígida pode ser considerada como o teste diagnóstico e terapêutico inicial em pacientes pediátricos com asfixia; corpo estranho radiopaco; ou na presença de murmúrios vesiculares unilaterais diminuídos associados, sibilância localizada, hiperinsuflação ou atelectasia.[14][42][43][44] Em todas as outras circunstâncias, a broncoscopia flexível deve ser realizada antes, para confirmação do diagnóstico.[14][44]
Em crianças estáveis, com suspeita de aspiração de corpo estranho, a broncoscopia flexível mostrou confirmar com segurança o diagnóstico e pode ser usada para fins terapêuticos.[5][43][45][46]
Em adultos estáveis, a broncoscopia flexível deve ser usada inicialmente para confirmar os casos suspeitos de aspiração de corpo estranho e pode ser usada para tentar a remoção do corpo estranho.[4][50][51][52] É o método inicial de escolha em pacientes com trauma cervicofacial e nos que estão em ventilação mecânica. Nesses pacientes, a broncoscopia rígida deve ser reservada para uso como uma abordagem terapêutica em vez de uma ferramenta diagnóstica.
Resultado
determina a natureza exata do corpo estranho, a sua localização, o grau de obstrução das vias aéreas e as anormalidades mucosas associadas, como edema de mucosa e tecido de granulação
Novos exames
ultrassonografia pulmonar
Exame
Os achados de ultrassonografia no local de atendimento (POCUS) foram relatados em um estudo prospectivo, observacional e transversal de crianças com aspiração de corpo estranho.[55] Entretanto, o tamanho da amostra foi pequeno.
São necessárias comparações diretas prospectivas entre a ultrassonografia pulmonar e a radiografia torácica.
Resultado
os achados em pacientes com aspiração de corpo estranho podem incluir linhas B, sinal de código de barras, anormalidades da linha pleural e condensação
O uso deste conteúdo está sujeito ao nosso aviso legal