Imagens e vídeos
IMAGENS

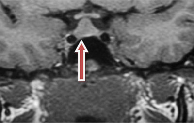
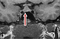
Avaliação da hiperprolactinemia
Ressonância nuclear magnética (RNM) mostrando macroprolactinoma
Do acervo do Dr. Faidon Harsoulis, MD; usado com permissão
Veja esta imagem em contexto nas seguintes seções:

Avaliação da hiperprolactinemia
A investigação de hiperprolactinemia. TSH = hormônio estimulante da tireoide; UE = ureia e eletrólitos; TFH = teste da função hepática
Melmed S et al. J. Clin. Endocrinol. Metab 2011; 96.2: 273-288; usado com permissão
Veja esta imagem em contexto nas seguintes seções:
O uso deste conteúdo está sujeito ao nosso aviso legal