Imagens e vídeos
IMAGENS

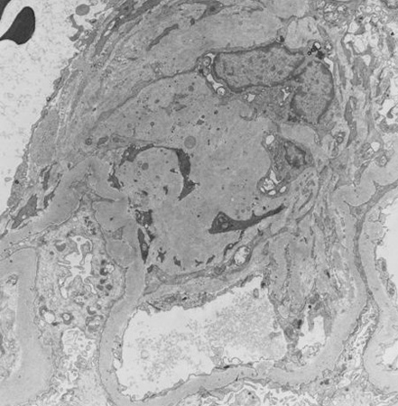
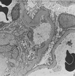
Doença renal diabética
Doença renal diabética: na posição de 12 horas - nódulos de Kimmelstiel-Wilson no início, uma forma arredondada de expansão mesangial
Do acervo do Dr. Raoul Fresco; usado com permissão
Veja esta imagem em contexto nas seguintes seções:

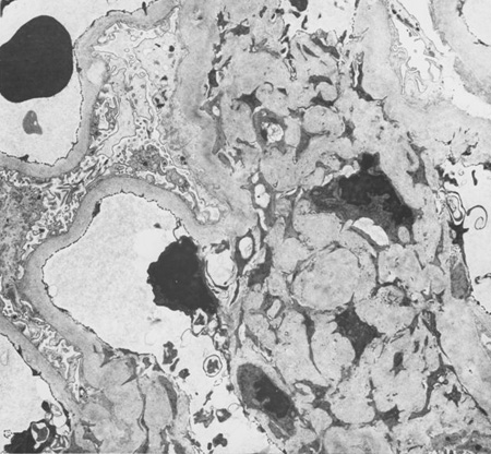
Doença renal diabética
Doença renal diabética: expansão mesangial decorrente do aumento da matriz mesangial e da redução da degradação do colágeno glicosilado
Do acervo do Dr. Raoul Fresco; usado com permissão
Veja esta imagem em contexto nas seguintes seções:

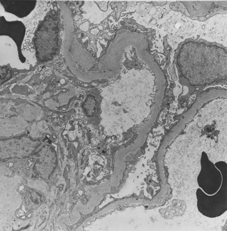
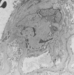
Doença renal diabética
Doença renal diabética: na posição de 5 horas - nódulo de Kimmelstiel-Wilson no início, um aumento arredondado na matriz mesangial que provavelmente foi originado em relação a um microaneurisma
Do acervo do Dr. Raoul Fresco; usado com permissão
Veja esta imagem em contexto nas seguintes seções:

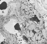
Doença renal diabética
Doença renal diabética: a expansão mesangial é geralmente reconhecida quando excede 1.5 vez a matriz mesangial normal
Do acervo do Dr. Raoul Fresco; usado com permissão
Veja esta imagem em contexto nas seguintes seções:
O uso deste conteúdo está sujeito ao nosso aviso legal