Imagens e vídeos
IMAGENS

Regurgitação pulmonar
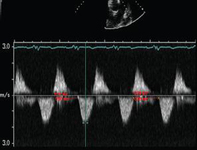
Doppler em um paciente com regurgitação pulmonar após reparo de tetralogia de Fallot. O paciente tem ventrículo direito não restritivo e onda "A" não é observada no espectro do Doppler de artéria pulmonar
De: Chaturvedi RR, Redington AN. Heart. 2007 Jul;93(7):880-9; usado com permissão
Veja esta imagem em contexto nas seguintes seções:

Regurgitação pulmonar
Ressonância nuclear magnética (RNM) em um paciente com regurgitação pulmonar após reparo de tetralogia de Fallot. O paciente tem ventrículo direito restritivo e a RNM mostra volume ventricular direito reduzido
De: Chaturvedi RR, Redington AN. Heart. 2007 Jul;93(7):880-9; usado com permissão
Veja esta imagem em contexto nas seguintes seções:

Regurgitação pulmonar
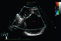
Ecocardiografia com Doppler em um paciente com regurgitação pulmonar após reparo de tetralogia de Fallot, revelando via de saída do ventrículo direito não obstruída. O paciente tem ventrículo direito restritivo
De: Chaturvedi RR, Redington AN. Heart. 2007 Jul;93(7):880-9; usado com permissão
Veja esta imagem em contexto nas seguintes seções:

Regurgitação pulmonar
Visualização ecocardiográfica em eixo curto em um paciente com regurgitação pulmonar após reparo de tetralogia de Fallot. O paciente tem ventrículo direito restritivo e a visualização ecocardiográfica em eixo curto revela ventrículo direito grande
De: Chaturvedi RR, Redington AN. Heart. 2007 Jul;93(7):880-9; usado com permissão
Veja esta imagem em contexto nas seguintes seções:

Regurgitação pulmonar
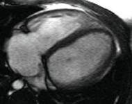
Ressonância nuclear magnética em um paciente com regurgitação pulmonar após reparo de tetralogia de Fallot. O paciente tem ventrículo direito não restritivo e o coração é grande
De: Chaturvedi RR, Redington AN. Heart. 2007 Jul;93(7):880-9; usado com permissão
Veja esta imagem em contexto nas seguintes seções:

Regurgitação pulmonar
Visualização ecocardiográfica em eixo curto em um paciente com regurgitação pulmonar após reparo de tetralogia de Fallot. O paciente tem ventrículo direito restritivo e a visualização ecocardiográfica em eixo curto revela ventrículo direito pequeno
De: Chaturvedi RR, Redington AN. Heart. 2007 Jul;93(7):880-9; usado com permissão
Veja esta imagem em contexto nas seguintes seções:

Regurgitação pulmonar
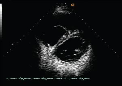
Ecocardiografia com Doppler em um paciente com regurgitação pulmonar após reparo de tetralogia de Fallot, revelando via de saída do ventrículo direito não obstruída. O paciente tem ventrículo direito não restritivo
De: Chaturvedi RR, Redington AN. Heart. 2007 Jul;93(7):880-9; usado com permissão
Veja esta imagem em contexto nas seguintes seções:

Regurgitação pulmonar
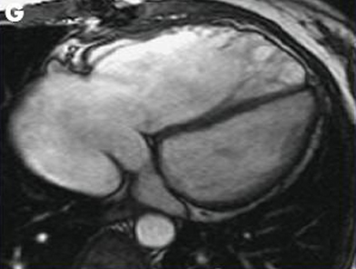
Ressonância nuclear magnética (RNM) em um paciente com regurgitação pulmonar após reparo de tetralogia de Fallot. O paciente tem ventrículo direito não restritivo e a RNM mostra ventrículo direito dilatado
De: Chaturvedi RR, Redington AN. Heart. 2007 Jul;93(7):880-9; usado com permissão
Veja esta imagem em contexto nas seguintes seções:

Regurgitação pulmonar
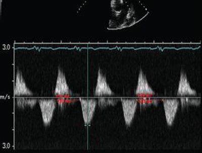
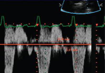
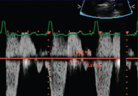
Doppler em um paciente com regurgitação pulmonar após reparo de tetralogia de Fallot. O paciente tem ventrículo direito restritivo e o Doppler mostra evidências de restrição com onda "A" anterógrada na artéria pulmonar
De: Chaturvedi RR, Redington AN. Heart. 2007 Jul;93(7):880-9; usado com permissão
Veja esta imagem em contexto nas seguintes seções:

Regurgitação pulmonar
Ressonância nuclear magnética em um paciente com regurgitação pulmonar após reparo de tetralogia de Fallot. O paciente tem ventrículo direito restritivo e o coração é pequeno
De: Chaturvedi RR, Redington AN. Heart. 2007 Jul;93(7):880-9; usado com permissão
Veja esta imagem em contexto nas seguintes seções:
Vídeos
- Regurgitação pulmonar
Sons de ausculta: regurgitação pulmonar
O uso deste conteúdo está sujeito ao nosso aviso legal