Imagens e vídeos
IMAGENS

Avaliação da perda auditiva
Meato acústico externo edemaciado, quase completamente fechado em razão de otite externa aguda
Do acervo de Dr. Richard Buckingham
Veja esta imagem em contexto nas seguintes seções:

Avaliação da perda auditiva
Otomicose: detritos fúngicos no meato acústico externo
Do acervo de Dr. Richard Buckingham
Veja esta imagem em contexto nas seguintes seções:

Avaliação da perda auditiva
Membrana timpânica abaulada eritematosa decorrente de otite média aguda
Do acervo de Dr. Richard Buckingham
Veja esta imagem em contexto nas seguintes seções:

Avaliação da perda auditiva
Hemotímpano
Reproduzido com permissão de van Dijk GW. The bare essentials: head injury. Pract Neurol. 2011 Feb;11(1):50-5.
Veja esta imagem em contexto nas seguintes seções:

Avaliação da perda auditiva
Colesteatoma ático direito
Do acervo de Dr. Richard Buckingham
Veja esta imagem em contexto nas seguintes seções:

Avaliação da perda auditiva
Orelha direita com tumor glômico visível inferiormente atrás da membrana timpânica intacta
Do acervo de Dr. Richard Buckingham
Veja esta imagem em contexto nas seguintes seções:

Avaliação da perda auditiva
Meato acústico externo com estenose óssea secundária à exostose
Do acervo de Dr. Richard Buckingham
Veja esta imagem em contexto nas seguintes seções:

Avaliação da perda auditiva
Perfuração da membrana timpânica direita
Do acervo de Dr. Richard Buckingham
Veja esta imagem em contexto nas seguintes seções:

Avaliação da perda auditiva
Carcinoma de células escamosas do meato acústico externo
Do acervo de Dr. Richard Buckingham
Veja esta imagem em contexto nas seguintes seções:

Avaliação da perda auditiva
Sinal de Battle
Reproduzido com permissão de van Dijk GW. The bare essentials: head injury. Pract Neurol. 2011 Feb;11(1):50-5.
Veja esta imagem em contexto nas seguintes seções:

Avaliação da perda auditiva
Anatomia da orelha
Criado pelo BMJ Knowledge Centre
Veja esta imagem em contexto nas seguintes seções:

Avaliação da perda auditiva
Corpo estranho no meato acústico externo
Do acervo de Dr. Richard Buckingham
Veja esta imagem em contexto nas seguintes seções:

Avaliação da perda auditiva
Inseto no meato acústico externo com tubo de equalização de pressão visível anteriormente
Do acervo de Dr. Richard Buckingham
Veja esta imagem em contexto nas seguintes seções:

Avaliação da perda auditiva
Imagem de uma orelha esquerda normal
Do acervo de Dr. Richard Buckingham
Veja esta imagem em contexto nas seguintes seções:

Avaliação da perda auditiva
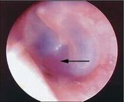
Orelha esquerda com efusão atrás da membrana timpânica intacta
Do acervo de Dr. Richard Buckingham
Veja esta imagem em contexto nas seguintes seções:
Vídeos
- Como examinar a orelha
Como realizar um exame da orelha.
O uso deste conteúdo está sujeito ao nosso aviso legal