Imagens e vídeos
IMAGENS

Aspergilose
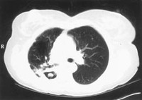
Sinal do "crescente aéreo" em aspergilose pulmonar avançada
Do acervo do Dr. P. Chandrasekar; usado com permissão
Veja esta imagem em contexto nas seguintes seções:

Aspergilose
Coloração de prata metenamina de Gomori (CGM) de tecido pulmonar mostrando hifas septadas de ramificação dicotômica de Aspergillus
Do acervo do Dr. P. Chandrasekar; usado com permissão
Veja esta imagem em contexto nas seguintes seções:

Aspergilose
Algoritmo de diagnóstico para aspergilose invasiva suspeita
Criado pelos autores
Veja esta imagem em contexto nas seguintes seções:

Aspergilose
Morfologia de conidióforos e conídios de Aspergillus fumigatus
Do acervo do Dr. P. Chandrasekar; usado com permissão
Veja esta imagem em contexto nas seguintes seções:

Aspergilose
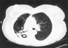
Aspergiloma em uma cavidade pulmonar tuberculosa preexistente
Do acervo do Dr. P. Chandrasekar; usado com permissão
Veja esta imagem em contexto nas seguintes seções:

Aspergilose
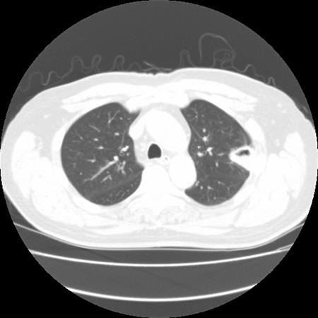
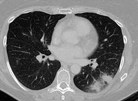
Sinal de "halo" em aspergilose pulmonar inicial
Do acervo do Dr. P. Chandrasekar; usado com permissão
Veja esta imagem em contexto nas seguintes seções:

Aspergilose
Abordagem de tratamento para aspergilose invasiva
Criado pelos autores
Veja esta imagem em contexto nas seguintes seções:
O uso deste conteúdo está sujeito ao nosso aviso legal