Abordagem

O diagnóstico se baseia na presença de fratura à radiografia, e a história geralmente é específica para uma queda ou trauma. A ressonância nuclear magnética (RNM)/tomografia computadorizada (TC) só deve ser solicitada se o índice de suspeita de fratura do quadril seja alto (ou seja, quando há dor na virilha, dor ao movimentar o quadril ou dor na região da virilha/fêmur proximal), mas a radiografia simples for negativa. Os exames laboratoriais não são úteis no diagnóstico de fraturas. Caso seja identificada uma fratura do quadril, o paciente deve ser encaminhado a um cirurgião ortopedista.

História

As fraturas do quadril ocorrem mais comumente em idosos, e as mulheres podem ter maior risco que os homens. O risco de fratura do quadril aumenta significativamente com a idade. Ela ocorre com mais frequência em indivíduos com mais de 65 anos, com a idade média de aproximadamente 83 anos.[9][32] A osteoporose é um fator de risco importante; há um aumento de quase 3 vezes no risco de fraturas femorais proximais, tanto para homens quanto para mulheres, para cada aumento de 1 desvio-padrão abaixo dos valores de pico de massa óssea.[23] Uma história familiar de osteoporose/osteopenia também deve ser observada.

Geralmente, os pacientes têm história de queda ou trauma; é raro que ocorram fraturas sem queda/trauma. Traumas de alta energia (por exemplo, acidente com veículo automotor) são mais comuns em pacientes mais jovens; no entanto, eles perfazem apenas 1% a 3% das fraturas do quadril observadas.[9][23]

Geralmente, os pacientes se queixam de incapacidade de levantar peso, dor na perna/quadril afetado, e dor com amplitude de movimento do quadril.

Exame físico

O exame geralmente é inespecífico; no entanto, a perna do lado afetado poderá ser encurtada e rotacionada externamente se a fratura do quadril estiver com desvio. Este é o único achado clínico que indica o desvio da fratura. No entanto, esse achado também pode ser observado com outras fraturas do fêmur, bem como na pelve ou na parte inferior da perna.

Se o paciente puder tolerar a amplitude de movimentos passiva, a dor é induzida na virilha ou no fêmur proximal com rotação interna ou externa da perna ou flexão do quadril. O paciente também pode sentir crepitação na região do colo do fêmur com amplitude de movimento do quadril.

Radiografia

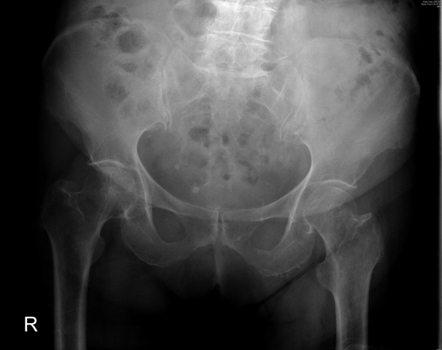
Devem-se solicitar radiografias simples em todos os pacientes com história de queda ou trauma que apresentem dor aguda no quadril.[50] As radiografias pós-traumáticas padrão do quadril devem incluir uma incidência anteroposterior (AP) com 15° de rotação interna do quadril e uma incidência em perfil "cross-table" do quadril afetado.[50]​ A radiografia demonstrará uma fratura do fêmur proximal. Pode-se solicitar uma radiografia do fêmur quando houver suspeita de extensão distal da fratura. Muitas instituições incluem uma incidência AP da pelve para avaliação da simetria do quadril, seja como parte da avaliação padrão de um trauma ou em conjunto com a série dedicada ao quadril.[50]

Com os padrões intracapsulares da fratura, a ruptura do córtex, bem como das linhas trabeculares primárias de compressão e de tensão, sugerem desvio na fratura. O aumento da angulação do varo ou do valgo na imagem AP ou o aumento da versão anterior ou posterior, como observado na radiografia lateral, também sugerem desvio e podem ser comparados com o outro quadril intacto.

Com os padrões de fratura extracapsulares, a estabilidade das fraturas com desvio geralmente depende da extensão da cominuição e, mais especificamente, a cominuição do córtex medial. Os padrões das fraturas intertrocantéricas simples em 2 segmentos sem cominuição do côndilo medial (córtex) geralmente são considerados estáveis. Fraturas intertrocantéricas em 3 ou 4 segmentos com ruptura do córtex posteromedial ou fratura de obliquidade reversa são consideradas instáveis.[3][51][Figure caption and citation for the preceding image starts]: Radiografia anteroposterior inicial mostrando uma fratura intracapsular do quadril esquerdo com desvioDo acervo de Bradley A. Petrisor, MSc, MD, FRCSC e Mohit Bhandari, MD, MSc, FRCSC [Citation ends].com.bmj.content.model.Caption@52066261[Figure caption and citation for the preceding image starts]: Fratura intertrocantérica instável na radiografiaDo acervo de Bradley A. Petrisor, MSc, MD, FRCSC e Mohit Bhandari, MD, MSc, FRCSC [Citation ends].com.bmj.content.model.Caption@40745e54

Outras investigações

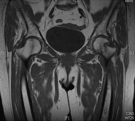
Pelo menos 90% das fraturas femorais proximais serão identificadas na radiografia.​[52]​ Se o índice de suspeita para fratura de quadril for alto e a radiografia simples for negativa, deve-se solicitar uma TC ou uma RNM (sem contraste).[50] A RNM tem maior sensibilidade que as radiografias simples para a detecção de fraturas do quadril ocultas, e não depende do tempo entre a lesão e o exame.[50][53][54][Figure caption and citation for the preceding image starts]: Ressonância nuclear magnética mostrando imagens coronais e confirmando uma fratura intracapsular do quadril esquerdoDo acervo de Bradley A. Petrisor, MSc, MD, FRCSC e Mohit Bhandari, MD, MSc, FRCSC [Citation ends].com.bmj.content.model.Caption@58f2df8e[Figure caption and citation for the preceding image starts]: Radiografia pélvica anteroposterior mostrando uma possível fratura intracapsular do quadril esquerdoDo acervo de Bradley A. Petrisor, MSc, MD, FRCSC e Mohit Bhandari, MD, MSc, FRCSC [Citation ends].com.bmj.content.model.Caption@19719b39

O uso deste conteúdo está sujeito ao nosso aviso legal