Imagens e vídeos
IMAGENS

Avaliação da cardiomiopatia
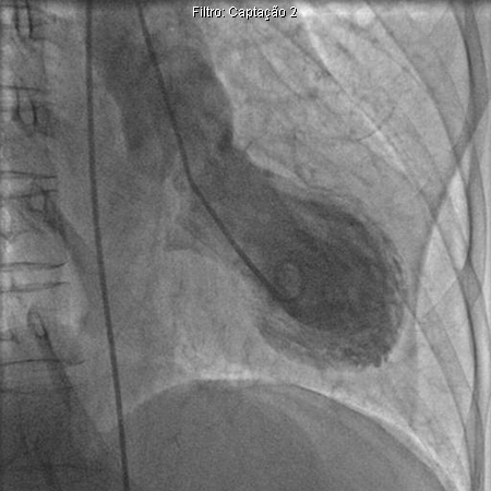
Ventriculograma esquerdo demonstrando balonamento apical na cardiomiopatia de Takotsubo
Augustine DX, Domanski A, Garg A. The stress of chest pain: a case of tako-tsubo cardiomyopathy. BMJ Case Reports. 2009; doi:10.1136/bcr.03.2009.1660
Veja esta imagem em contexto nas seguintes seções:

Avaliação da cardiomiopatia
Sistema de classificação proposto
Elliott P, Andersson B, Arbustini E, et al. Classification of the cardiomyopathies: a position statement from the European Society of Cardiology Working Group on Myocardial and Pericardial Diseases. Eur Heart J. 2008;29:270-276. Usado com permissão.
Veja esta imagem em contexto nas seguintes seções:

Avaliação da cardiomiopatia
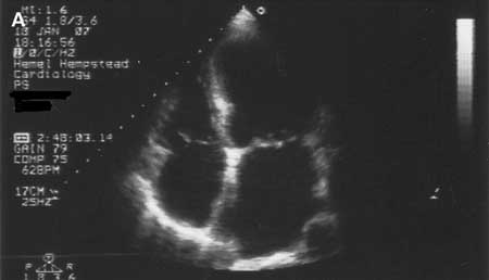
Cardiomiopatia dilatada: ecocardiografia
Tanejal AK, Wong J, Bayliss J. Antipsychotic-drug-induced dilated cardiomyopathy. BMJ Case Reports. 2009; doi:10.1136/bcr.09.2008.0958
Veja esta imagem em contexto nas seguintes seções:

Avaliação da cardiomiopatia
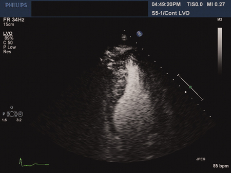
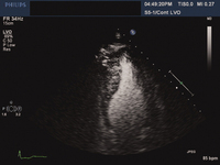
Cardiomiopatia hipertrófica apical: vista ecocardiográfica de 4 câmaras com contraste
Ahmed I, Smalley SJ, Zhu DWX, et al. Sudden cardiac arrest in apical hypertrophic cardiomyopathy. BMJ Case Reports. 2009;doi:10.1136/bcr.04.2009.17
Veja esta imagem em contexto nas seguintes seções:

Avaliação da cardiomiopatia
Doenças que podem causar cardiomiopatia
Elliott P, et al. Eur Heart J 2008; 29: 270-76; usado com permissão
Veja esta imagem em contexto nas seguintes seções:
Vídeos
- Galope de terceira bulha cardíaca
Sons de ausculta: galope de terceira bulha cardíaca
- Galope de quarta bulha cardíaca
Sons de ausculta: galope de quarta bulha cardíaca
O uso deste conteúdo está sujeito ao nosso aviso legal