Imagens e vídeos
IMAGENS

Avaliação da hematúria visível
Tumor de bexiga visível na cistoscopia
Hudson M, Catalona W, Gillenwater JY, et al, eds. Adult and pediatric urology. 3rd ed. St Louis, MO: Mosby;1996:1379-1464
Veja esta imagem em contexto nas seguintes seções:

Avaliação da hematúria visível
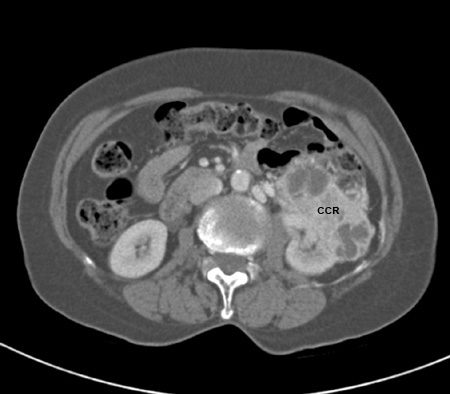
Tomografia computadorizada (TC) de carcinoma de células renais (CCR) do rim esquerdo
Do acervo pessoal do Dr Reese
Veja esta imagem em contexto nas seguintes seções:
Vídeos
- Venopunção e flebotomia – Vídeo de demonstração
Como colher uma amostra de sangue venoso da fossa antecubital usando uma agulha a vácuo.
O uso deste conteúdo está sujeito ao nosso aviso legal