Abordagem
História
Disúria
Momento: a duração e o início dos sintomas são relevantes. As infecções do trato urinário (ITUs) são frequentemente associadas com um rápido início dos sintomas, enquanto as infecções sexualmente transmissíveis (ISTs) e a uretrite são associadas com um início mais gradual ao longo de dias. A cistite pós-coito geralmente se desenvolve poucos dias depois de uma relação sexual. A vaginite pode ter um início insidioso e se desenvolver ao longo de semanas a meses.
Local: a disúria externa em mulheres (isto é, quando a urina causa irritação nos órgãos genitais inflamados) pode sugerir uma causa ginecológica, como vaginite; nos homens, ela pode sugerir balanite ou balanopostite. A disúria interna (isto é, dor na uretra) em ambos os sexos é mais frequentemente causada por ITUs, cistite ou uretrite. A dor ao início da micção é geralmente de origem uretral, mas a dor suprapúbica comumente se origina da bexiga.[31]
Severity (Gravidade).
Sintomas associados
A urina turva ou malcheirosa geralmente sugere uma causa infecciosa.
Geralmente, hematúria indica infecção, mas outros diagnósticos importantes, como neoplasias, hiperplasia prostática benigna (HPB), cistite intersticial, trauma e urolitíase também podem causar hematúria. Uma história de hematúria deve ser considerada como um alerta para que neoplasias urológicas não deixem de ser detectadas.
Sintomas à micção, como baixo fluxo, hesitação, intermitência e gotejamento urinário, geralmente são causados por HPB ou estenose uretral. Ocasionalmente, os sintomas miccionais podem resultar de contratilidade vesical reduzida decorrente de causas neurológicas.
A presença de sintomas de armazenamento (isto é, polaciúria e urgência urinária) em ambos os sexos pode ser causada por urolitíase, cistite intersticial, infecções, hipersensibilidade uretral, hiperatividade do músculo detrusor ou neoplasia.
Noctúria é a passagem de urina com mais frequência à noite, e pode ocorrer na ITU ou na HPB.
Dor retal ou perineal e desconforto em homens sugerem prostatite, embora seja importante descartar outras causas de dor retal, como tumores ou fissuras anais.
Febre, calafrios, mialgia, cefaleia, náuseas e vômitos geralmente sugerem uma causa infecciosa, especialmente, uma ITU superior (por exemplo, pielonefrite, principalmente se houver dor no flanco).
O início súbito de dor no flanco ou cólica na virilha pode sugerir urolitíase.
O corrimento vaginal pode ocorrer na vulvovaginite e em ISTs. A presença de corrimento vaginal e história de irritação vaginal reduzem consideravelmente a probabilidade de ITU.[32][33]
A presença de outros sintomas sistêmicos, como artralgia e dorsalgia, sintomas oculares (por exemplo, irritação ocular), ulcerações da mucosa oral ou sintomas gastrointestinais, como diarreia, podem sugerir espondiloartropatias, como a artrite reativa ou a síndrome de Behçet.
Produtos de higiene tópicos, especialmente nas mulheres, são associados com disúria, principalmente cistite. Sabonetes perfumados, sprays vaginais, duchas vaginais, banhos de espuma e produtos de higiene podem causar sintomas, e seu uso deve ser informado na história.[18][19][20]
Pneumatúria, incontinência ou passagem de resíduos na urina sugerem uma fístula urinária.
História médica pregressa
Uma história de ITUs recorrentes está associada a um risco mais alto de ITU nas mulheres.[34]
Identifique os pacientes com diabetes ou imunocomprometidos. ITU e bacteriúria assintomática são comuns em pacientes com diabetes; os pacientes com doença mal controlada ou avançada têm maior probabilidade de infecção.[35][36] A pielonefrite é mais comum no diabetes.[37][38][39]
História de doença inflamatória intestinal, neoplasia, ITU recorrente ou radioterapia pélvica pode indicar a presença de fístula urinária.
História cirúrgica pregressa
Deve-se observar se há história de intervenção recente do trato urinário (por exemplo, cistoscopia, cateterismo, cirurgia).
História sexual
Uma história sexual detalhada em pacientes sexualmente ativos frequentemente pode restringir o diagnóstico diferencial. A secreção uretral (rala e aquosa ou espessa e purulenta) é mais comumente associada com infecções sexualmente transmissíveis (ISTs).[40]
Os usos de espermicida e de diafragma estão associados a um risco mais alto de ITU nas mulheres.[34]
Abuso sexual pode causar o desenvolvimento de disúria.
História ginecológica
A gravidez deve ser descartada nas mulheres, pois a ITU não tratada é associada ao trabalho de parto prematuro e a bebês de baixo peso ao nascer.[30]
O sangramento pós-coito ou intermenstrual pode estar presente na uretrite ou na cervicite. A dispareunia associada é comum na cervicite e na vaginite. A exacerbação pré-menstrual cíclica dos sintomas costuma apontar para vaginite por cândida ou Trichomonas.
História de medicamentos
Medicamentos como a dopamina, a cantaridina (usada para tratar verrugas e molusco contagioso), a ticarcilina, a penicilina G e a ciclofosfamida, bem como drogas ilícitas, como a cetamina, foram associados com a disúria.[17][21]
História social
É importante determinar os fatores de risco para neoplasias urológicas (por exemplo, tabagismo, exposição a substâncias químicas, história familiar de neoplasia).
Uma história de viagens recentes para áreas endêmicas é importante para o diagnóstico da esquistossomose.
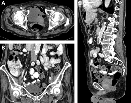
Características como febre, dor ou sensibilidade no flanco, instrumentação recente, imunocomprometimento, episódios recorrentes e anormalidades conhecidas do trato urinário devem ser consideradas sinais de alerta. As causas infecciosas precisam ser identificadas e tratadas imediatamente.[Figure caption and citation for the preceding image starts]: Cistite enfisematosa: (A) corte horizontal de tomografia computadorizada (TC) mostrando enfisema aumentado; (B) corte coronal de TC mostrando enfisema aumentado; (C) corte sagital de TC mostrando enfisema aumentadoMiddela S, Green E, Montague R. Emphysematous cystitis: radiological diagnosis of complicated urinary tract infection. BMJ Case Rep. 2009; doi:10.1136/bcr.05.2009.1832. Usado com permissão [Citation ends].
Exame físico
Exame físico de rotina
Examine os sinais vitais do paciente, com especial atenção à exclusão de febre.
Avalie a pele, a mucosa e as articulações para buscar evidências de espondiloartropatias e doenças autoimunes (por exemplo, conjuntivite, ulceração da mucosa, lesões com crostas nas palmas das mãos e nas solas dos pés e ao redor das unhas, sensibilidade nas articulações).
Exame abdominal
Apalpe o abdome em busca de sinais de bexiga distendida e desconforto suprapúbico. No entanto, apenas 15% a 20% dos pacientes que sofrem de cistite e disúria apresentam desconforto suprapúbico.[41] O desconforto suprapúbico também pode estar presente na uretrite, hipersensibilidade uretral, fístula urinária e bexiga inflamada pela cetamina.
Sensibilidade à percussão do flanco pode indicar pielonefrite.[39][42]
Exame genital externo
O exame físico do prepúcio totalmente retraído é obrigatório nos homens; lesões ou secreções no pênis podem indicar uma infecção sexualmente transmissível (IST) ou neoplasia.
Exame físico dos testículos: sinais de eritema, edema ou sensibilidade podem indicar epididimite ou orquite.
Exame de toque retal
Uma próstata sensível à palpação ou esponjosa no exame de toque retal digital pode sugerir prostatite ou abscesso prostático; já um aumento liso e benigno da próstata pode sugerir hiperplasia prostática benigna (HPB). Uma próstata firme, nodular ou irregular pode indicar câncer de próstata.
A massagem prostática pode aumentar o risco de bacteremia e deve ser evitada na suspeita de prostatite bacteriana aguda.[12]
Exame pélvico
O exame pélvico deve sempre ser realizado em caso de infecção persistente ou recorrente.[43] Pode ser menos essencial quando o corrimento vaginal e a irritação são explicitamente negados e o resto da história e do exame apontam para um diagnóstico diferente.
O exame pélvico inclui a avaliação do períneo e a busca de sinais de inflamação ou lesões.
Examine a vagina e o períneo nas mulheres menopausadas em busca de sinais de vaginite atrófica, que afeta muitas mulheres menopausadas.[44][45] As áreas atróficas do epitélio vaginal têm aparência pálida, suave e brilhante. Essas áreas podem ser friáveis e podem desenvolver eritema irregular e petéquias. A pele perineal atrófica apresenta turgor e elasticidade reduzidos.
Um exame do introito vaginal pode revelar a existência de prolapso uterino.
Um exame especular é essencial para as pacientes que também apresentem outros sintomas do trato urinário (como incontinência urinária), ou que estejam sob suspeita de apresentarem prolapso ou neoplasia ginecológica. O exame especular pode revelar corrimento vaginal ou cervical.
A dor à mobilização do colo durante o exame vaginal pode ser indicativa de cervicite ou vulvovaginite. Prurido vaginal e corrimento vaginal espesso podem ser indicativos de candidíase, mas a candidíase também pode apresentar inflamação e vermelhidão vaginal com pústulas satélites na vagina.
Vesículas agrupadas dolorosas e adenopatia inguinal sensível à palpação sugerem herpes genital.
Investigações
Nenhuma abordagem isolada é aceita de forma uniforme na investigação da disúria, e os exames devem ser realizados com base no diagnóstico mais provável. Com respeito a qualquer diagnóstico, uma hierarquia de investigação deve ser seguida, começando com um simples exame de urina com tira reagente que pode ser realizado na clínica, seguido por urinálise e cultura, ou amostras vaginal e uretral, se adequado. Se houver necessidade de investigação adicional, procedimentos radiológicos e mais invasivos, como a cistoscopia, podem auxiliar no diagnóstico.[46][47]
Avaliações iniciais
Exame de urina com tira reagente: geralmente aceito como a primeira linha de investigação. A esterase leucocitária tem sensibilidade de 75% e especificidade de 98% para detecção de ITU.[48] Um teste de nitrito positivo tem especificidade de 90%, mas sensibilidade tão baixa quanto 30% para ITU; a sensibilidade pode ser aumentada ainda mais com amostras de urina matinal da primeira micção (embora nem sempre seja possível no ambiente clínico).[48][49] Recomenda-se uma combinação dos testes de nitrito e esterase leucocitária, o que leva a uma detecção mais precisa de uma ITU (sensibilidade de até 88%).[48] Em idosos (>65 anos) e adultos com sonda vesical de demora, não se pode confiar na tira reagente para exame de urina para fazer um diagnóstico de ITU; é necessária uma avaliação clínica completa.[33][50]
Cultura de urina (exame de urina de jato médio por técnica asséptica): em geral, um achado de >10⁵ unidades formadoras de colônias (UFC)/mL sugere uma ITU.[51] No entanto, contagens mais baixas de 10² a 10³ UFC/mL em pacientes sintomáticos podem ser um indicativo precoce de uma ITU.[52] A cultura de urina negativa em um paciente que estava recebendo antibioticoterapia não é confiável. Em mulheres com amostras contaminadas, pode-se colher uma amostra de urina cateterizada. Nos casos de suspeita de abuso sexual, as culturas devem ser realizadas por um médico adequadamente qualificado, pois as culturas são 100% específicas para infecção e podem ser solicitadas em um processo judicial.
Microscopia de urina: hematúria sem a presença de infecção pode ser atribuída a neoplasia maligna, urolitíase, trauma uretral ou anormalidades glomerulares. Um achado de hematúria microscópica persistente (definido como >3 eritrócitos por campo de grande aumento [CGA]) deve elicitar avaliação adicional com cistoscopia e estudos do trato superior.[53] A citologia urinária pode ser útil para pacientes com hematúria microscópica persistente e sintomas miccionais irritativos ou outros fatores de risco para carcinoma in situ.[53] No Reino Unido, o National Institute for Health and Care Excellence recomenda que as pessoas com 60 anos de idade ou mais com hematúria não visível inexplicada e disúria sejam encaminhadas por uma via para suspeita de câncer, encaminhamento para câncer de bexiga (para diagnóstico ou exclusão de câncer dentro de 28 dias após o encaminhamento).[54] A presença de leucócitos na ausência de infecção é inespecífica e pode ocorrer em ISTs, vulvovaginite, prostatite, tuberculose ou neoplasia maligna.
Cultura uretral, vaginal ou cervical, ou testes de amplificação de ácidos nucleicos: realizados para identificar ISTs, como gonorreia, clamídia, micoplasma genitalium ou infecções por herpes simples. A sorologia para sífilis é necessária em todos os pacientes com suspeita de IST, e a sorologia para o vírus da imunodeficiência humana (HIV) é necessária nos grupos de alto risco.
Ph vaginal: útil na vaginite. O pH vaginal normal é de 3.5 a 4.5.[55] O pH vaginal geralmente é elevado nas infecções bacterianas (incluindo a tricomoníase) ou na vaginite atrófica. Geralmente, as infecções por Cândida são associadas a um pH normal. O exame microscópico direto com hidróxido de potássio (KOH), o pH vaginal e a cultura de fungos devem ser considerados nas mulheres com disúria crônica ou recorrente de etiologia desconhecida.
Teste de gravidez: deve ser considerado em mulheres em idade fértil. Uma ITU não tratada pode causar parto prematuro e bebês com baixo peso ao nascer. Um teste de gravidez positivo também auxiliará na seleção de antibiótico e impedirá a investigação com radiação ionizante.
Exames de imagem e patológicos
Ultrassonografia, urografia intravenosa, tomografia computadorizada e ressonância nuclear magnética: raramente são necessárias na maioria dos casos de disúria, mas são essenciais no diagnóstico de anormalidades urológicas, como urolitíase, neoplasia maligna, cistos, refluxo vesicoureteral e divertículo vesical.[Figure caption and citation for the preceding image starts]: Tomografia computadorizada (TC) mostrando cálculos ureterais esquerdosDa coleção pessoal do Dr. Kasra Saeb-Parsy [Citation ends].
[Figure caption and citation for the preceding image starts]: Tomografia computadorizada (TC) mostrando nefrolitíase esquerda (seta branca) com stranding perinéfrico ao redor do rim esquerdo (setas azuis) e pielonefriteDa coleção pessoal do Dr. Kasra Saeb-Parsy [Citation ends].
[Figure caption and citation for the preceding image starts]: Tomografia computadorizada (TC) mostrando carcinoma de células transicionais da bexiga bloqueando o orifício ureteral direitoDa coleção pessoal do Dr. Kasra Saeb-Parsy [Citation ends].
Taxa de fluxo e resíduo pós-miccional ou estudos urodinâmicos são úteis na investigação de sintomas de micção ou de armazenamento do trato urinário inferior.Ultrassonografia da próstata: usada para avaliar o tamanho da glândula prostática e para verificar a presença de abscesso prostático; juntamente com a biópsia, pode auxiliar no diagnóstico de câncer de próstata.
Cistoscopia: para avaliar a anatomia do trato urinário inferior, verificar a presença de corpos estranhos e tumores e auxiliar no diagnóstico de cistite intersticial ou de fístula urinária. A cistoscopia e a citologia urinária devem sempre ser realizadas quando há disúria persistente ou sintomas de armazenamento urinário na ausência de ITU.
Biópsia de lesões penianas: necessária para o diagnóstico de câncer de pênis.
O uso deste conteúdo está sujeito ao nosso aviso legal