Etiologia
A disúria geralmente é causada pela irritação da uretra ou da bexiga. As condições inflamatórias que afetam a uretra causam dificuldades para iniciar a micção e uma sensação de ardência. A irritação da bexiga provoca sua contração, ocasionando micção frequente e dolorosa. As lesões perineais nas mulheres (resultantes, por exemplo, de vulvovaginite ou de infecção pelo vírus do herpes simples) podem se tornar dolorosas quando expostas à urina.
A etiologia da disúria pode ser dividida de forma ampla em duas categorias: infecciosa e não infecciosa. A causa específica geralmente depende do sexo e da faixa etária.
Mulheres
15-30 anos de idade: a uretrite geralmente é a causa mais comum.
30-50 anos de idade: provavelmente devido a causas ginecológicas (na ausência de bacteriúria), urolitíase ou infecções do trato urinário (ITU).
>50 anos de idade: as ITUs são mais prevalentes neste grupo.
Todas as idades: a prevalência de pielonefrite recorrente/crônica aumenta gradualmente em todas as faixas etárias.
Homens
15-30 anos de idade: infecções sexualmente transmissíveis e causas não infecciosas são as mais comuns, enquanto a prostatite e as ITUs são infrequentes.
30-50 anos de idade: a urolitíase é a causa mais frequente.
>50 anos de idade: hiperplasia prostática benigna (HPB), ITUs e pielonefrite recorrente/crônica são as causas mais prováveis.[6][7]
Infecciosa
A disúria mais frequentemente resulta de uma infecção do trato urinário inferior (por exemplo, cistite), mas também pode estar associada a uma infecção do trato urinário superior (por exemplo, pielonefrite).
As mulheres têm maior risco de infecções do trato urinário (ITUs) que os homens. Isso pode ser atribuído a diferenças anatômicas da uretra: nas mulheres, a uretra é curta e reta, o que permite que as bactérias presentes no períneo ascendam, causando infecção nos tratos urinários inferior e superior.
A maioria das ITUs simples é causada por Escherichia coli (70% a 95%). Entre 5% e 10% são causadas por Staphylococcus saprophyticus, enquanto as espécies Proteus mirabilis e Klebsiella são causas menos comuns.[8]
As anomalias na função e na anatomia do trato urinário (por exemplo, obstrução infravesical devido a hiperplasia prostática benigna, estenose uretral ou bexiga neurogênica resultantes de afecções como esclerose múltipla) podem ocasionar aumento do risco de ITU por micro-organismos causadores incomuns, e infecções mais graves.
Outras condições infecciosas que podem causar disúria incluem:[9][10][11][12]
Uretrite
Doenças sexualmente transmissíveis
Vulvovaginite
Epidídimo-orquite
Balanite/balanopostite
Prostatite
Cervicite
Esquistossomose e tuberculose são causas raras de infecção no mundo ocidental, mas são mais comuns em outras partes do mundo.
Não infecciosa
As causas não infecciosas podem ser subdivididas em obstrutivas, traumáticas, inflamatórias, malignas, relacionadas a medicamentos ou irritantes, idiopáticas.
Obstrutiva
Com frequência aumenta o risco de ITU, além de causar sintomas do trato urinário inferior por si só. Elas incluem:
Hiperplasia prostática benigna (HPB)
Urolitíase (pode causar disúria como resultado direto de trauma ao urotélio, bem como dor referida durante a passagem de cálculo)[Figure caption and citation for the preceding image starts]: Tomografia computadorizada (TC) mostrando cálculos ureterais esquerdosDa coleção pessoal do Dr. Kasra Saeb-Parsy [Citation ends].
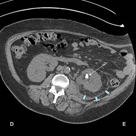
[Figure caption and citation for the preceding image starts]: Tomografia computadorizada (TC) mostrando nefrolitíase esquerda (seta branca) com stranding perinéfrico ao redor do rim esquerdo (setas azuis) e pielonefriteDa coleção pessoal do Dr. Kasra Saeb-Parsy [Citation ends].
Estenoses uretrais.[13]
Traumático
A disúria resulta de danos e irritação do urotélio:
Cateterismo e intervenção
Abuso sexual
Atividades atléticas (por exemplo, ciclismo ou equitação)
Doença inflamatória
A disúria resulta parcialmente de inflamação e irritação do urotélio:
Cistite intersticial[14]
Vaginite atrófica
Espondiloartropatias (por exemplo, síndrome de Behçet ou artrite reativa)[15][16]
Prostatite não infecciosa
Inflamação da bexiga induzida por cetamina[17]
Fístula urinária (complicação rara da doença inflamatória intestinal e de algumas neoplasias malignas)
Neoplásica
A disúria é causada em parte por envolvimento local de tumor:
Próstata
Bexiga[Figure caption and citation for the preceding image starts]: Tomografia computadorizada (TC) mostrando carcinoma de células transicionais da bexiga bloqueando o orifício ureteral direitoDa coleção pessoal do Dr. Kasra Saeb-Parsy [Citation ends].

Renal
Ginecológica (especialmente cervical)
Uretral
Peniana
Relacionada a medicamentos ou irritantes
Medicamentos ou substâncias químicas podem causar inflamação do urotélio, o que pode causar disúria:
Irritantes locais (por exemplo, sabonetes, duchas, lubrificantes vaginais, espermicidas em gel, espumas e esponjas contraceptivas, absorventes higiênicos internos e externos)[18][19][20]
Relacionada a medicamentos/fitoterápicos (por exemplo, dopamina, cantaridina, ticarcilina, penicilina G, ciclofosfamida.[21]
Idiopática
O uso deste conteúdo está sujeito ao nosso aviso legal