Imagens e vídeos
IMAGENS

Carcinoma basocelular
Imagem de dermatoscopia digital acima do carcinoma basocelular superficial, utilizando o dermatoscópio Sklip PRO
Do acervo pessoal do Prof. Robert A. Schwartz; usado com permissão
Veja esta imagem em contexto nas seguintes seções:

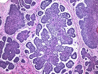
Carcinoma basocelular
Observam-se aparência histológica do carcinoma basocelular (20x, coloração H-E), divisão estroma-epitélio, distribuição característica dos núcleos em paliçada periférica, além da assim chamada natureza mucinosa do estroma
Do acervo de Drazen M. Jukic, MD, PhD
Veja esta imagem em contexto nas seguintes seções:

Carcinoma basocelular
Carcinoma basocelular nodular na região malar, secundário a danos solares difusos com elastose solar importante
Do acervo do Prof. Robert A. Schwartz
Veja esta imagem em contexto nas seguintes seções:

Carcinoma basocelular
CBC superficial: uma placa um pouco translúcida com crostas focais e ulceração, aumentando com uma qualidade nodular
Do acervo pessoal do Prof. Robert A. Schwartz; usado com permissão
Veja esta imagem em contexto nas seguintes seções:
O uso deste conteúdo está sujeito ao nosso aviso legal