Uma história de exposição ao sol e à radiação ultravioleta (UV) pode ser observada como pele danificada pelo sol. Pergunte aos pacientes sobre sua história de exposição a raios UV; é recomendável questionar sobre a exposição a raios X e a arsênico.
Uma história médica de xeroderma pigmentoso, síndrome do carcinoma basocelular nevoide (síndrome de Gorlin-Goltz) ou transplante (principalmente de órgão sólido) aumenta consideravelmente o risco de carcinoma basocelular (CBC).[31]Lambert WC, Lambert MW. Development of effective skin cancer treatment and prevention in xeroderma pigmentosum. Photochem Photobiol. 2015 Mar-Apr;91(2):475-83.
https://onlinelibrary.wiley.com/doi/10.1111/php.12385
http://www.ncbi.nlm.nih.gov/pubmed/25382223?tool=bestpractice.com
[32]Bresler SC, Padwa BL, Granter SR. Nevoid basal cell carcinoma syndrome (Gorlin syndrome). Head Neck Pathol. 2016 Jun;10(2):119-24.
https://www.ncbi.nlm.nih.gov/pmc/articles/PMC4838974
http://www.ncbi.nlm.nih.gov/pubmed/26971503?tool=bestpractice.com
[40]Kanitakis J, Alhaj-Ibrahim L, Euvrard S, et al. Basal cell carcinomas developing in solid organ transplant recipients: clinicopathologic study of 176 cases. Arch Dermatol. 2003 Sep;139(9):1133-7.
http://www.ncbi.nlm.nih.gov/pubmed/12975154?tool=bestpractice.com
Exame da pele
O exame cuidadoso de toda a pele (exame do corpo inteiro) deve ser realizado nos pacientes com evidência clínica ou história de exposição considerável ao sol.[43]Marrett L, Rosen L, Zwaal C, et al; Cancer Care Ontario. Screening for skin cancer. Jun 2007 [internet publication].[44]National Comprehensive Cancer Network. NCCN clinical practice guidelines in oncology: basal cell skin cancer [internet publication].
https://www.nccn.org/guidelines/category_1
Utilize uma boa iluminação e, possivelmente, lentes portáteis.[42]Nasr I, McGrath EJ, Harwood CA, et al; British Association of Dermatologists' Clinical Standards Unit. British Association of Dermatologists guidelines for the management of adults with basal cell carcinoma 2021. Br J Dermatol. 2021 Nov;185(5):899-920.
https://onlinelibrary.wiley.com/doi/10.1111/bjd.20524
http://www.ncbi.nlm.nih.gov/pubmed/34050920?tool=bestpractice.com
[45]Mogensen M, Jemec GB. Diagnosis of nonmelanoma skin cancer/keratinocyte carcinoma: a review of diagnostic accuracy of nonmelanoma skin cancer diagnostic tests and technologies. Dermatol Surg. 2007 Oct;33(10):1158-74.
http://www.ncbi.nlm.nih.gov/pubmed/17903149?tool=bestpractice.com
[Figure caption and citation for the preceding image starts]: Carcinoma basocelular nodular na região malar, secundário a danos solares difusos com elastose solar importanteDo acervo do Prof. Robert A. Schwartz [Citation ends].
O reconhecimento dos diferentes tipos de CBC é fundamental, pois a terapia e o acompanhamento variam de acordo com o tipo.
[Figure caption and citation for the preceding image starts]: CBC superficial: uma placa um pouco translúcida com crostas focais e ulceração, aumentando com uma qualidade nodularDo acervo pessoal do Prof. Robert A. Schwartz; usado com permissão [Citation ends].
[Figure caption and citation for the preceding image starts]: Imagem de dermatoscopia digital acima do carcinoma basocelular superficial, utilizando o dermatoscópio Sklip PRODo acervo pessoal do Prof. Robert A. Schwartz; usado com permissão [Citation ends].
Procure as seguintes características de CBC:[3]Raasch BA, Buettner PG, Garbe C. Basal cell carcinoma: histological classification and body-site distribution. Br J Dermatol. 2006 Aug;155(2):401-7.
http://www.ncbi.nlm.nih.gov/pubmed/16882181?tool=bestpractice.com
[4]Lear W, Dahlke E, Murray CA. Basal cell carcinoma: review of epidemiology, pathogenesis, and associated risk factors. J Cutan Med Surg. 2007 Jan-Feb;11(1):19-30.
http://www.ncbi.nlm.nih.gov/pubmed/17274935?tool=bestpractice.com
[46]Peris K, Fargnoli MC, Kaufmann R, et al. European consensus-based interdisciplinary guideline for diagnosis and treatment of basal cell carcinoma-update 2023. Eur J Cancer. 2023 Oct;192:113254.
https://www.ejcancer.com/article/S0959-8049(23)00356-8/fulltext
http://www.ncbi.nlm.nih.gov/pubmed/37604067?tool=bestpractice.com
pápulas e/ou placas peroladas[Figure caption and citation for the preceding image starts]: Carcinoma basocelular nodular na região malar, secundário a danos solares difusos com elastose solar importanteDo acervo do Prof. Robert A. Schwartz [Citation ends].
Crostas que não cicatrizam
Pequenas crostas e feridas que não cicatrizam
Placas, nódulos e tumores com bordas arredondadas
Pápulas com telangiectasias associadas.
Além disso, esticar a pele sob uma boa fonte de luz (o "teste de estiramento") acentuará a natureza perolada do tumor e demonstra melhora na precisão diagnóstica.[42]Nasr I, McGrath EJ, Harwood CA, et al; British Association of Dermatologists' Clinical Standards Unit. British Association of Dermatologists guidelines for the management of adults with basal cell carcinoma 2021. Br J Dermatol. 2021 Nov;185(5):899-920.
https://onlinelibrary.wiley.com/doi/10.1111/bjd.20524
http://www.ncbi.nlm.nih.gov/pubmed/34050920?tool=bestpractice.com
[47]Newlands C, Currie R, Memon A, et al. Non-melanoma skin cancer: United Kingdom National Multidisciplinary Guidelines. J Laryngol Otol. 2016 May;130(S2):S125-32.
https://www.cambridge.org/core/journals/journal-of-laryngology-and-otology/article/nonmelanoma-skin-cancer-united-kingdom-national-multidisciplinary-guidelines/EC5EF7B3A87F26984E49F02239E1AD31
http://www.ncbi.nlm.nih.gov/pubmed/27841126?tool=bestpractice.com
Biópsia
É possível realizar uma biópsia por raspagem ou punção, dependendo do tamanho e do local do tumor.[42]Nasr I, McGrath EJ, Harwood CA, et al; British Association of Dermatologists' Clinical Standards Unit. British Association of Dermatologists guidelines for the management of adults with basal cell carcinoma 2021. Br J Dermatol. 2021 Nov;185(5):899-920.
https://onlinelibrary.wiley.com/doi/10.1111/bjd.20524
http://www.ncbi.nlm.nih.gov/pubmed/34050920?tool=bestpractice.com
[44]National Comprehensive Cancer Network. NCCN clinical practice guidelines in oncology: basal cell skin cancer [internet publication].
https://www.nccn.org/guidelines/category_1
[46]Peris K, Fargnoli MC, Kaufmann R, et al. European consensus-based interdisciplinary guideline for diagnosis and treatment of basal cell carcinoma-update 2023. Eur J Cancer. 2023 Oct;192:113254.
https://www.ejcancer.com/article/S0959-8049(23)00356-8/fulltext
http://www.ncbi.nlm.nih.gov/pubmed/37604067?tool=bestpractice.com
[48]Kim JYS, Kozlow JH, Mittal B, et al; Work Group, Invited Reviewers. Guidelines of care for the management of basal cell carcinoma. J Am Acad Dermatol. 2018 Mar;78(3):540-59.
https://www.jaad.org/article/S0190-9622(17)32529-X/fulltext
http://www.ncbi.nlm.nih.gov/pubmed/29331385?tool=bestpractice.com
Uma biópsia por punção é mais aconselhada nas áreas esteticamente favoráveis, pois requer o fechamento com sutura. Uma vantagem da biópsia por punção é que os instrumentos podem estar disponíveis em tamanhos de até 12 mm. Desse modo, lesões menores que isso podem ser removidas em um único procedimento, facilitando o diagnóstico e o tratamento simultâneos.[49]Stulberg D, Crandell B, Fawcett RS. Diagnosis and treatment of basal cell and squamous cell carcinomas. Am Fam Physician. 2004 Oct 15;70(8):1481-8.
http://www.ncbi.nlm.nih.gov/pubmed/15526735?tool=bestpractice.com
Reserve a biópsia por raspagem para áreas esteticamente desfavoráveis, como o rosto.
Dermato-histopatologia
O diagnóstico histopatológico do CBC normalmente é simples. Ocasionalmente, pode ser desafiador diferenciá-lo de outras neoplasias, como o tricoepitelioma. O CBC se manifesta como massas dérmicas de formas e tamanhos variados compostas por células basofílicas uniformes, com um grande núcleo oval e citoplasma reduzido. Essas massas geralmente estão associadas à epiderme ou a uma abertura folicular, e têm uma camada celular periférica com os núcleos dispostos em paliçada.[3]Raasch BA, Buettner PG, Garbe C. Basal cell carcinoma: histological classification and body-site distribution. Br J Dermatol. 2006 Aug;155(2):401-7.
http://www.ncbi.nlm.nih.gov/pubmed/16882181?tool=bestpractice.com
[4]Lear W, Dahlke E, Murray CA. Basal cell carcinoma: review of epidemiology, pathogenesis, and associated risk factors. J Cutan Med Surg. 2007 Jan-Feb;11(1):19-30.
http://www.ncbi.nlm.nih.gov/pubmed/17274935?tool=bestpractice.com
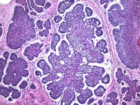
[5]Barnhill RL, ed. Textbook of dermatopathology, 2nd ed. New York: McGraw-Hill Medical; 2004.[Figure caption and citation for the preceding image starts]: Observam-se aparência histológica do carcinoma basocelular (20x, coloração H-E), divisão estroma-epitélio, distribuição característica dos núcleos em paliçada periférica, além da assim chamada natureza mucinosa do estromaDo acervo de Drazen M. Jukic, MD, PhD [Citation ends].
O CBC é uma das neoplasias humanas com maior taxa mitótica (alta atividade mitótica), mas também tem uma alta taxa apoptótica. Assim, a neoplasia tem um crescimento lento de modo geral, e ambos os elementos (figuras mitóticas e apoptóticas) são usados como um dos critérios diferenciadores para o diagnóstico de CBC. Em uma pequena porcentagem dos casos, os CBCs são pigmentados e, clinicamente, podem parecer um melanoma.[3]Raasch BA, Buettner PG, Garbe C. Basal cell carcinoma: histological classification and body-site distribution. Br J Dermatol. 2006 Aug;155(2):401-7.
http://www.ncbi.nlm.nih.gov/pubmed/16882181?tool=bestpractice.com
[4]Lear W, Dahlke E, Murray CA. Basal cell carcinoma: review of epidemiology, pathogenesis, and associated risk factors. J Cutan Med Surg. 2007 Jan-Feb;11(1):19-30.
http://www.ncbi.nlm.nih.gov/pubmed/17274935?tool=bestpractice.com
Novas investigações
A microscopia multifóton in vivo usa exames por imagem não invasivos, in vivo e sem marcações para revelar vários aspectos característicos de lesões de CBC que podem ajudar a facilitar o diagnóstico.[50]Balu M, Zachary CB, Harris RM, et al. In vivo multiphoton microscopy of basal cell carcinoma. JAMA Dermatol. 2015 Oct;151(10):1068-74.
https://jamanetwork.com/journals/jamadermatology/fullarticle/2278674
http://www.ncbi.nlm.nih.gov/pubmed/25909650?tool=bestpractice.com
As tecnologias microscópicas dermatoscópicas confocal e de refletância tornaram-se um método popular para as abordagens não invasivas para auxiliar no diagnóstico dos carcinomas basocelulares.[46]Peris K, Fargnoli MC, Kaufmann R, et al. European consensus-based interdisciplinary guideline for diagnosis and treatment of basal cell carcinoma-update 2023. Eur J Cancer. 2023 Oct;192:113254.
https://www.ejcancer.com/article/S0959-8049(23)00356-8/fulltext
http://www.ncbi.nlm.nih.gov/pubmed/37604067?tool=bestpractice.com
[51]Foltz EA, Witkowski A, Becker AL, et al. Artificial intelligence applied to non-invasive imaging modalities in identification of nonmelanoma skin cancer: a systematic review. Cancers (Basel). 2024 Feb 1;16(3):629.
https://www.mdpi.com/2072-6694/16/3/629
http://www.ncbi.nlm.nih.gov/pubmed/38339380?tool=bestpractice.com
[52]Verzì AE, Russo A, Castellino N, et al. Line-field confocal optical coherence tomography of eyelid margin growths: A case series. Skin Res Technol. 2024 Jan;30(1):e13559.
https://onlinelibrary.wiley.com/doi/10.1111/srt.13559
http://www.ncbi.nlm.nih.gov/pubmed/38174775?tool=bestpractice.com
Adicionar inteligência artificial às imagens não invasivas tem um enorme potencial, e é objeto de investigação ativa.[51]Foltz EA, Witkowski A, Becker AL, et al. Artificial intelligence applied to non-invasive imaging modalities in identification of nonmelanoma skin cancer: a systematic review. Cancers (Basel). 2024 Feb 1;16(3):629.
https://www.mdpi.com/2072-6694/16/3/629
http://www.ncbi.nlm.nih.gov/pubmed/38339380?tool=bestpractice.com
No entanto, pesquisas adicionais são necessárias para isolar a precisão diagnóstica combinada.[51]Foltz EA, Witkowski A, Becker AL, et al. Artificial intelligence applied to non-invasive imaging modalities in identification of nonmelanoma skin cancer: a systematic review. Cancers (Basel). 2024 Feb 1;16(3):629.
https://www.mdpi.com/2072-6694/16/3/629
http://www.ncbi.nlm.nih.gov/pubmed/38339380?tool=bestpractice.com