De maneira geral, o câncer de pâncreas se apresenta tardiamente, quando a doença já está avançada. Os sintomas incluem dor inexplicada na parte superior do abdome, icterícia obstrutiva indolor, perda de peso e, nos estágios mais avançados, dorsalgia. Todos os pacientes com suspeita de câncer de pâncreas devem ser examinados e tratados de imediato por uma equipe de especialistas para assegurar o diagnóstico imediato e tratamento precoce.
Anamnese e exame físico
Os médicos devem avaliar a possibilidade de câncer de pâncreas em todos os pacientes que apresentam dor inexplicada na parte superior do abdome, icterícia obstrutiva indolor, perda de peso e dorsalgia. O câncer de pâncreas pode se apresentar na forma inicial ou avançada.
Doença inicial
Nos estágios iniciais, quando não há obstrução do trato biliar, a doença apresenta sintomas inespecíficos como mal-estar, dor abdominal, náuseas ou perda de peso.[36]Bond-Smith G, Banga N, Hammond TM, et al. Pancreatic adenocarcinoma. BMJ. 2012 May 16;344:e2476.
http://www.ncbi.nlm.nih.gov/pubmed/22592847?tool=bestpractice.com
Doença avançada
Nos casos de doença avançada, tumores na cabeça do pâncreas geralmente obstruem o ducto colédoco, apresentando sintomas de icterícia obstrutiva como fezes claras, urina escura e/ou prurido. Tumores no corpo e na cauda do pâncreas tendem a se apresentar mais tarde, com mais frequência acompanhados de dor, geralmente epigástrica, com radiação para as costas; e icterícia, que nesses pacientes é causada por metástases hepáticas ou hilares. A dorsalgia persistente se relaciona com metástase retroperitoneal.
Uma extensa infiltração pancreática, ou obstrução de ductos pancreáticos importantes também pode causar disfunção exócrina, resultando em má absorção e esteatorreia ou episódios não explicados de pancreatite. 20% a 47% dos pacientes apresentam disfunção endócrina, culminando no diagnóstico inicial de diabetes, cujos sintomas são sede, poliúria, noctúria e perda de peso.[37]Pannala R, Basu A, Petersen GM, et al. New-onset diabetes: a potential clue to the early diagnosis of pancreatic cancer. Lancet Oncol. 2009 Jan;10(1):88-95.
https://www.ncbi.nlm.nih.gov/pmc/articles/PMC2795483
http://www.ncbi.nlm.nih.gov/pubmed/19111249?tool=bestpractice.com
O câncer de pâncreas deve ser considerado em pacientes adultos (50 anos ou mais) com diagnóstico inicial de diabetes, mas sem fatores de predisposição ou história familiar positiva de diabetes mellitus.[1]National Comprehensive Cancer Network. NCCN clinical practice guidelines in oncology: pancreatic adenocarcinoma [internet publication].
https://www.nccn.org/guidelines/category_1
[5]Chari ST, Leibson CL, Rabe KG, et al. Probability of pancreatic cancer following diabetes: a population-based study. Gastroenterology. 2005 Aug;129(2):504-11.
https://www.gastrojournal.org/article/S0016-5085(05)00877-2/fulltext
http://www.ncbi.nlm.nih.gov/pubmed/16083707?tool=bestpractice.com
Outros sinais de doença avançada incluem perda de peso, anorexia, fadiga, massa abdominal no epigástrio, hepatomegalia, sinal positivo de Courvoisier (vesícula biliar palpável indolor e icterícia) ou sinais de coagulação intravascular disseminada: petéquias, púrpura, hematomas. Um grande tumor ou edema peritumoral pode comprimir o estômago ou duodeno, causando náuseas e saciedade precoce.[36]Bond-Smith G, Banga N, Hammond TM, et al. Pancreatic adenocarcinoma. BMJ. 2012 May 16;344:e2476.
http://www.ncbi.nlm.nih.gov/pubmed/22592847?tool=bestpractice.com
Uma vez que pacientes com câncer de pâncreas apresentam aumento do risco de doença tromboembólica, a trombose venosa ou a tromboflebite migratória (sinal de Trousseau) também pode ser a primeira manifestação do câncer de pâncreas.[7]Diaconu C, Mateescu D, Bălăceanu A, et al. Pancreatic cancer presenting with paraneoplastic thrombophlebitis--case report. J Med Life. 2010 Jan-Mar;3(1):96-9.
http://www.ncbi.nlm.nih.gov/pubmed/20302205?tool=bestpractice.com
[Figure caption and citation for the preceding image starts]: Sinal de Trousseau em paciente com adenocarcinoma pancreáticoPunithakumar EJ et al. Síndrome de Trousseau no carcinoma pancreático. Surgery. 2021;169(2):E3-4; usado com permissão [Citation ends].
Exames laboratoriais
Não há exames de sangue que permitam diagnosticar o câncer de pâncreas. As investigações laboratoriais cuja realização é apropriada nos exames diagnósticos incluem:
Testes da função hepática (TFH): TFHs anormais estão relacionados com o grau de icterícia obstrutiva, mas não conseguem distinguir a obstrução biliar (de qualquer causa) das metástases hepáticas.[38]Kwo PY, Cohen SM, Lim JK. ACG clinical guideline: evaluation of abnormal liver chemistries. Am J Gastroenterol. 2017 Jan;112(1):18-35.
https://journals.lww.com/ajg/Fulltext/2017/01000/ACG_Clinical_Guideline__Evaluation_of_Abnormal.13.aspx
http://www.ncbi.nlm.nih.gov/pubmed/27995906?tool=bestpractice.com
Biomarcadores: os biomarcadores disponíveis, como o antígeno de câncer (CA) 19-9 ou antígeno carcinoembrionário, não possuem a sensibilidade e especificidade desejadas para a detecção precoce.[39]Harsha HC, Kandasamy K, Ranganathan P, et al. A compendium of potential biomarkers of pancreatic cancer. PLoS Med. 2009 Apr 7;6(4):e1000046.
https://journals.plos.org/plosmedicine/article?id=10.1371/journal.pmed.1000046
http://www.ncbi.nlm.nih.gov/pubmed/19360088?tool=bestpractice.com
O CA19-9 apresenta sensibilidade de 70% a 90% e especificidade de 90%.É comum obter falsos-positivo no caso de icterícia obstrutiva benigna ou pancreatite crônica.O CA19-9 é especialmente útil como ferramenta de estadiamento pré-operatório, pois identifica a recorrência em pacientes submetidos à ressecção, e também na avaliação da resposta ao tratamento nos casos de doença avançada.[17]Ghaneh P, Costello E, Neoptolemos JP. Biology and management of pancreatic cancer. Gut. 2007 Aug;56(8):1134-52.
https://academic.oup.com/pmj/article/84/995/478/7026385
http://www.ncbi.nlm.nih.gov/pubmed/17625148?tool=bestpractice.com
No entanto, o uso do CA19-9 por si só para prever a capacidade de ressecção cirúrgica não é recomendado.[40]Benke M, Farkas N, Hegyi P, et al. Preoperative serum carbohydrate antigen 19-9 levels cannot predict the surgical resectability of pancreatic cancer: a meta-analysis. Pathol Oncol Res. 2022;28:1610266.
https://www.por-journal.com/articles/10.3389/pore.2022.1610266/full
http://www.ncbi.nlm.nih.gov/pubmed/35645620?tool=bestpractice.com
Coagulograma e hemograma completo: distúrbios nos fatores de coagulação dependentes da vitamina K levam ao prolongamento do tempo de protrombina. Deve-se realizar hemograma completo e coagulograma antes de quaisquer procedimentos diagnósticos invasivos.
Exames de imagem não invasivos
A tomografia computadorizada (TC) é usada para diagnosticar e estadiar o câncer de pâncreas e para determinar se um tumor é ressecável.[1]National Comprehensive Cancer Network. NCCN clinical practice guidelines in oncology: pancreatic adenocarcinoma [internet publication].
https://www.nccn.org/guidelines/category_1
[41]Conroy T, Pfeiffer P, Vilgrain V, et al. Pancreatic cancer: ESMO clinical practice guideline for diagnosis, treatment and follow-up. Ann Oncol. 2023 Nov;34(11):987-1002.
https://www.annalsofoncology.org/article/S0923-7534(23)00824-4/fulltext
http://www.ncbi.nlm.nih.gov/pubmed/37678671?tool=bestpractice.com
TC com base em protocolo pancreático
Todos os pacientes, com suspeita inicial de câncer de pâncreas devem ser submetidos a avaliação por tomografia computadorizada (TC) de fase dinâmica helicoidal ou espiral de acordo com protocolo pancreático específico (ou seja, imagem transversal trifásica e cortes finos, e no aspecto específico de fase venosa, do contraste intravenoso).[1]National Comprehensive Cancer Network. NCCN clinical practice guidelines in oncology: pancreatic adenocarcinoma [internet publication].
https://www.nccn.org/guidelines/category_1
[42]National Institute for Health and Care Excellence. Pancreatic cancer in adults: diagnosis and management. Feb 2018 [internet publication].
https://www.nice.org.uk/guidance/ng85
[43]Sohal DPS, Kennedy EB, Cinar P, et al. Metastatic pancreatic cancer: ASCO guideline update. J Clin Oncol. 2020 Aug 5:JCO2001364.
https://ascopubs.org/doi/10.1200/JCO.20.01364?url_ver=Z39.88-2003&rfr_id=ori:rid:crossref.org&rfr_dat=cr_pub%20%200pubmed
http://www.ncbi.nlm.nih.gov/pubmed/32755482?tool=bestpractice.com
Esse procedimento demonstrou obter taxas diagnósticas de 97% na detecção do câncer de pâncreas com predição precisa de possibilidade de ressecção em 80% a 90% dos pacientes.[17]Ghaneh P, Costello E, Neoptolemos JP. Biology and management of pancreatic cancer. Gut. 2007 Aug;56(8):1134-52.
https://academic.oup.com/pmj/article/84/995/478/7026385
http://www.ncbi.nlm.nih.gov/pubmed/17625148?tool=bestpractice.com
[44]Zhao W-Y, Luo M, Sun YW, et al. Computed tomography in diagnosing vascular invasion in pancreatic and periampullary cancers: a systematic review and meta-analysis. Hepatobiliary Pancreat Dis Int. 2009 Oct;8(5):457-64.
http://www.ncbi.nlm.nih.gov/pubmed/19822487?tool=bestpractice.com
[45]Catalano C, Laghi A, Fraioli F, et al. Pancreatic carcinoma: the role of high-resolution multislice spiral CT in the diagnosis and assessment of resectability. Eur Radiol. 2003 Jan;13(1):149-56.
http://www.ncbi.nlm.nih.gov/pubmed/12541123?tool=bestpractice.com
No Reino Unido, a TC urgente (ou ultrassonografia, se a TC não estiver disponível) é recomendada para pacientes ≥60 anos de idade com perda de peso e qualquer um dos seguintes fatores: diarreia, dorsalgia, dor abdominal, náuseas, vômitos, constipação ou novo episódio de diabetes.[46]National Institute for Health and Care Excellence. Suspected cancer: recognition and referral. May 2025 [internet publication].
https://www.nice.org.uk/guidance/ng12
Os pacientes ≥40 anos de idade com icterícia devem ser encaminhados diretamente para uma consulta hospitalar de urgência.[46]National Institute for Health and Care Excellence. Suspected cancer: recognition and referral. May 2025 [internet publication].
https://www.nice.org.uk/guidance/ng12
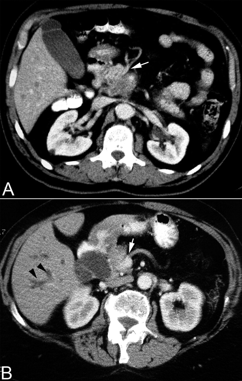
[Figure caption and citation for the preceding image starts]: Tomografia computadorizada abdominal com contraste mostrando (A) uma grande massa na cabeça do pâncreas com encarceramento da artéria mesentérica superior (seta branca) e (B) ductos intra-hepáticos dilatados (pontas de seta pretas) e encarceramento da veia mesentérica superior (seta branca)Takhar AS et al. BMJ. 2004;329:668 [Citation ends].
Ultrassonografia
A ultrassonografia transabdominal consegue detectar tumores >2 cm de dimensão e possível disseminação extrapancreática (principalmente metástases hepáticas) ou dilatação do ducto colédoco; a sensibilidade é menor na doença em estágio inicial ou nos tumores no corpo ou na cauda do pâncreas.[17]Ghaneh P, Costello E, Neoptolemos JP. Biology and management of pancreatic cancer. Gut. 2007 Aug;56(8):1134-52.
https://academic.oup.com/pmj/article/84/995/478/7026385
http://www.ncbi.nlm.nih.gov/pubmed/17625148?tool=bestpractice.com
Contudo, ultrassonografias abdominais com resultados normais não descartam o câncer de pâncreas, já que é impossível avaliar o pâncreas de forma adequada com essa modalidade de exame.O gás intestinal sobrejacente ou o biotipo podem prejudicar a visualização do pâncreas.[47]Expert Panel on Gastrointestinal Imaging; Qayyum A, Tamm EP, Kamel IR, Allen PJ, et al. ACR appropriateness criteria® staging of pancreatic ductal adenocarcinoma. J Am Coll Radiol. 2017 Nov;14(11S):S560-9.
https://www.jacr.org/article/S1546-1440(17)31109-2/fulltext
http://www.ncbi.nlm.nih.gov/pubmed/29101993?tool=bestpractice.com
Ressonância nuclear magnética
A ressonância nuclear magnética (RNM) produz resultados semelhantes aos da TC, podendo se mostrar útil no caso de pacientes que não podem receber contraste intravenoso. A RNM do fígado pode ser usada para esclarecer lesões hepáticas ambíguas, especialmente na presença de obstruções biliares.[41]Conroy T, Pfeiffer P, Vilgrain V, et al. Pancreatic cancer: ESMO clinical practice guideline for diagnosis, treatment and follow-up. Ann Oncol. 2023 Nov;34(11):987-1002.
https://www.annalsofoncology.org/article/S0923-7534(23)00824-4/fulltext
http://www.ncbi.nlm.nih.gov/pubmed/37678671?tool=bestpractice.com
A RNM ponderada por difusão demonstrou especificidade elevada (91%) na diferenciação de lesões pancreáticas, podendo ser considerada um exame útil na diferenciação das lesões pancreáticas malignas e benignas, especialmente em combinação com a tomografia por emissão de pósitrons (PET) com fluordesoxiglucose-fluorina 18/CT, cuja sensibilidade é de 87% a 90%. Contudo, é necessária a realização de estudos adicionais para estabelecer o papel preciso da RNM ponderada por difusão e da PET-CT no diagnóstico do câncer de pâncreas.[48]Wu LM, Hu JN, Hua J, et al. Diagnostic value of diffusion-weighted magnetic resonance imaging compared with fluorodeoxyglucose positron emission tomography/computed tomography for pancreatic malignancy: a meta-analysis using a hierarchical regression model. J Gastroenterol Hepatol. 2012 Jun;27(6):1027-35.
https://onlinelibrary.wiley.com/doi/full/10.1111/j.1440-1746.2012.07112.x
http://www.ncbi.nlm.nih.gov/pubmed/22414092?tool=bestpractice.com
[49]Wu LM, Xu JR, Hua J, et al. Value of diffusion-weighted imaging for the discrimination of pancreatic lesions: a meta-analysis. Eur J Gastroenterol Hepatol. 2012 Feb;24(2):134-42.
http://www.ncbi.nlm.nih.gov/pubmed/22241215?tool=bestpractice.com
[50]Tang S, Huang G, Liu J, et al. Usefulness of 18F-FDG PET, combined FDG-PET/CT and EUS in diagnosing primary pancreatic carcinoma: a meta-analysis. Eur J Radiol. 2011 Apr;78(1):142-50.
http://www.ncbi.nlm.nih.gov/pubmed/19854016?tool=bestpractice.com
PET/TC
A TC combinada com uma PET pode ser usada como adjuvante à TC com base em protocolo pancreático para auxiliar na detecção de metástases extrapancreáticas em pacientes de alto risco. Os indicadores de alto risco podem incluir achados de imagem ambíguos ou indeterminados, tumor primário grande, linfonodos regionais grandes ou CA 19-9 acentuadamente elevado.[1]National Comprehensive Cancer Network. NCCN clinical practice guidelines in oncology: pancreatic adenocarcinoma [internet publication].
https://www.nccn.org/guidelines/category_1
Sensibilidade de PET-CT de 61% foi relatada para a detecção de doença metastática.[51]Farma JM, Santillan AA, Melis M, et al. PET/CT fusion scan enhances CT staging in patients with pancreatic neoplasms. Ann Surg Oncol. 2008 Sep;15(9):2465-71.
http://www.ncbi.nlm.nih.gov/pubmed/18551347?tool=bestpractice.com
A PET-CT ou a PET-MRI podem ser consideradas antes e depois da terapia neoadjuvante para avaliar a resposta à terapia sistêmica e para reestadiamento.[1]National Comprehensive Cancer Network. NCCN clinical practice guidelines in oncology: pancreatic adenocarcinoma [internet publication].
https://www.nccn.org/guidelines/category_1
A PET-CT ou a PET-RNM também podem ser consideradas para detectar metástases extrapancreáticas em pacientes com doença de alto risco, mas não devem ser usadas como substitutas da TC com contraste.[1]National Comprehensive Cancer Network. NCCN clinical practice guidelines in oncology: pancreatic adenocarcinoma [internet publication].
https://www.nccn.org/guidelines/category_1
Colangiopancreatografia por ressonância magnética/angiografia
Um método não invasivo para avaliação do trato biliar, a colangiopancreatografia por ressonância magnética (CPRM) fornece informações detalhadas dos ductos sem os riscos da colangiopancreatografia retrógrada endoscópica (CPRE) invasiva.[52]Tummala P, Junaidi O, Agarwal B. Imaging of pancreatic cancer: an overview. J Gastrointest Oncol. 2011 Sep;2(3):168-74.
https://jgo.amegroups.org/article/view/213/html
http://www.ncbi.nlm.nih.gov/pubmed/22811847?tool=bestpractice.com
[53]Adamek HE, Albert J, Breer H, et al. Pancreatic cancer detection with magnetic resonance cholangiopancreatography and endoscopic retrograde cholangiopancreatography: a prospective controlled study. Lancet. 2000 Jul 15;356(9225):190-3.
http://www.ncbi.nlm.nih.gov/pubmed/10963196?tool=bestpractice.com
A CPRM não avalia a ampola tão claramente quanto a CPRE.[54]Barish MA, Yucel EK, Ferrucci JT. Magnetic resonance cholangiopancreatography. N Engl J Med. 1999 Jul 22;341(4):258-64.
http://www.ncbi.nlm.nih.gov/pubmed/10413739?tool=bestpractice.com
A angiografia por ressonância magnética (ARM) demonstra a anatomia vascular.[55]Lopez Hänninen E, Amthauer H, Hosten N, et al. Prospective evaluation of pancreatic tumors: accuracy of MR imaging with MR cholangiopancreatography and MR angiography. Radiology. 2002 Jul;224(1):34-41.
http://www.ncbi.nlm.nih.gov/pubmed/12091659?tool=bestpractice.com
A European Society for Medical Oncology recomenda avaliação por imagem 4 semanas antes do início do tratamento.[41]Conroy T, Pfeiffer P, Vilgrain V, et al. Pancreatic cancer: ESMO clinical practice guideline for diagnosis, treatment and follow-up. Ann Oncol. 2023 Nov;34(11):987-1002.
https://www.annalsofoncology.org/article/S0923-7534(23)00824-4/fulltext
http://www.ncbi.nlm.nih.gov/pubmed/37678671?tool=bestpractice.com
Em pacientes com icterícia devido a câncer de pâncreas obstrutivo na cabeça, exames de imagem devem ser realizados antes da drenagem biliar ou da colocação de stent.[41]Conroy T, Pfeiffer P, Vilgrain V, et al. Pancreatic cancer: ESMO clinical practice guideline for diagnosis, treatment and follow-up. Ann Oncol. 2023 Nov;34(11):987-1002.
https://www.annalsofoncology.org/article/S0923-7534(23)00824-4/fulltext
http://www.ncbi.nlm.nih.gov/pubmed/37678671?tool=bestpractice.com
Exames imagiológicos invasivos
A ultrassonografia endoscópica (USE) é altamente sensível na detecção de pequenos tumores (até 2-3 mm) e da invasão de estruturas vasculares importantes (embora seja menos precisa na exibição da artéria mesentérica superior), bem como na caracterização das lesões císticas pancreáticas.[56]Dewitt J, Devereaux BM, Lehman GA, et al. Comparison of endoscopic ultrasound and computed tomography for the preoperative evaluation of pancreatic cancer: a systematic review. Clin Gastroenterol Hepatol. 2006 Jun;4(6):717-25.
http://www.ncbi.nlm.nih.gov/pubmed/16675307?tool=bestpractice.com
A aspiração com agulha fina guiada por USE (AAF-USE) para citologia tem uma sensibilidade de 85% a 91% e uma especificidade de 94% a 98% para o diagnóstico de câncer de pâncreas.[57]Hewitt MJ, McPhail MJ, Possamai L, et al. EUS-guided FNA for diagnosis of solid pancreatic neoplasms: a meta-analysis. Gastrointest Endosc. 2012 Feb;75(2):319-31.
http://www.ncbi.nlm.nih.gov/pubmed/22248600?tool=bestpractice.com
[58]Ngamruengphong S, Swanson KM, Shah ND, et al. Preoperative endoscopic ultrasound-guided fine needle aspiration does not impair survival of patients with resected pancreatic cancer. Gut. 2015 Jul;64(7):1105-10.
http://www.ncbi.nlm.nih.gov/pubmed/25575893?tool=bestpractice.com
A aspiração com agulha fina de manguitos de tecidos moles perivasculares pode detectar metástases migratórias extravasculares que não são visíveis na TC ou RNM.[59]Rustagi T, Gleeson FC, Chari ST, et al. Safety, diagnostic accuracy, and effects of endoscopic ultrasound fine-needle aspiration on detection of extravascular migratory metastases. Clin Gastroenterol Hepatol. 2019 Nov;17(12):2533-40.e1.
https://www.doi.org/10.1016/j.cgh.2019.03.043
http://www.ncbi.nlm.nih.gov/pubmed/30953754?tool=bestpractice.com
Os riscos da AAF-USE incluem perfuração, infecção, pancreatite iatrogênica, sangramento, peritonite biliar e semeadura maligna.[60]ASGE Standards of Practice Committee, Forbes N, Coelho-Prabhu N, et al. Adverse events associated with EUS and EUS-guided procedures. Gastrointest Endosc. 2022 Jan;95(1):16-26.
http://www.ncbi.nlm.nih.gov/pubmed/34711402?tool=bestpractice.com
A CPRE facilita a coleta de amostras para citologia ou histologia e colocação de endoprótese para paliar a obstrução biliar quando a cirurgia não é uma opção ou deve ser protelada.[17]Ghaneh P, Costello E, Neoptolemos JP. Biology and management of pancreatic cancer. Gut. 2007 Aug;56(8):1134-52.
https://academic.oup.com/pmj/article/84/995/478/7026385
http://www.ncbi.nlm.nih.gov/pubmed/17625148?tool=bestpractice.com
A CPRE não deve ser usada apenas para exames de imagem.[17]Ghaneh P, Costello E, Neoptolemos JP. Biology and management of pancreatic cancer. Gut. 2007 Aug;56(8):1134-52.
https://academic.oup.com/pmj/article/84/995/478/7026385
http://www.ncbi.nlm.nih.gov/pubmed/17625148?tool=bestpractice.com
A laparoscopia, incluindo a ultrassonografia laparoscópica e as lavagens peritoneais, consegue detectar lesões metastáticas ocultas no fígado e na cavidade peritoneal não identificadas pelas modalidades imagiológicas (especialmente lesões no corpo ou na cauda do pâncreas ou em pacientes com maior risco de doença disseminada: casos no limite de ressecção, grande tumor primário ou alto CA19-9).[61]Maithel SK, Maloney S, Winston C, et al. Preoperative CA 19-9 and the yield of staging laparoscopy in patients with radiographically resectable pancreatic adenocarcinoma. Ann Surg Oncol. 2008 Dec;15(12):3512-20.
http://www.ncbi.nlm.nih.gov/pubmed/18781364?tool=bestpractice.com
[62]Hori Y; SAGES Guidelines Committee. Diagnostic laparoscopy guidelines. Surg Endosc. 2008 May;22(5):1353-83.
http://www.ncbi.nlm.nih.gov/pubmed/18389320?tool=bestpractice.com
[63]Hariharan D, Constantinides VA, Froeling FE, et al. The role of laparoscopy and laparoscopic ultrasound in the preoperative staging of pancreatico-biliary cancers: a meta-analysis. Eur J Surg Oncol. 2010 Oct;36(10):941-8.
http://www.ncbi.nlm.nih.gov/pubmed/20547445?tool=bestpractice.com
Contudo, os critérios de seleção para identificação dos pacientes nos quais a laparoscopia de estadiamento apresentaria alta precisão diagnóstica precisam ser verificados em novos estudos prospectivos.[62]Hori Y; SAGES Guidelines Committee. Diagnostic laparoscopy guidelines. Surg Endosc. 2008 May;22(5):1353-83.
http://www.ncbi.nlm.nih.gov/pubmed/18389320?tool=bestpractice.com
[63]Hariharan D, Constantinides VA, Froeling FE, et al. The role of laparoscopy and laparoscopic ultrasound in the preoperative staging of pancreatico-biliary cancers: a meta-analysis. Eur J Surg Oncol. 2010 Oct;36(10):941-8.
http://www.ncbi.nlm.nih.gov/pubmed/20547445?tool=bestpractice.com
Não há consenso quanto ao uso de outras tecnologias de estadiamento. O uso seletivo de CPRE e/ou CPRM (e ocasionalmente ARM) define com precisão o tamanho e a infiltração do tumor, bem como a presença de doença metastática. A USE é indicada especialmente em pacientes cuja TC não mostre lesões ou apresente comprometimento vascular ou de linfonodos questionável. Dependendo da experiência do serviço, o estadiamento com laparoscopia pode ser apropriado para alguns pacientes.[1]National Comprehensive Cancer Network. NCCN clinical practice guidelines in oncology: pancreatic adenocarcinoma [internet publication].
https://www.nccn.org/guidelines/category_1
[64]Ta R, O'Connor DB, Sulistijo A, et al. The role of staging laparoscopy in resectable and borderline resectable pancreatic cancer: a systematic review and meta-analysis. Dig Surg. 2019;36(3):251-60.
http://www.ncbi.nlm.nih.gov/pubmed/29649825?tool=bestpractice.com
Diagnóstico tecidual
Não é necessário diagnóstico mediante exame histológico antes da ressecção cirúrgica; biópsias não diagnósticas não devem retardar o tratamento cirúrgico em caso de grau elevado de suspeita clínica de câncer de pâncreas.[1]National Comprehensive Cancer Network. NCCN clinical practice guidelines in oncology: pancreatic adenocarcinoma [internet publication].
https://www.nccn.org/guidelines/category_1
Por outro lado, biópsia confirmatória é necessária em pacientes com doença avançada e irressecável selecionados para tratamento paliativo.[65]Hartwig W, Schneider L, Diener MK, et al. Preoperative tissue diagnosis for tumours of the pancreas. Br J Surg. 2009 Jan;96(1):5-20.
https://academic.oup.com/bjs/article/96/1/5/6141918
http://www.ncbi.nlm.nih.gov/pubmed/19016272?tool=bestpractice.com
Todos os pacientes devem ser encaminhados a um centro especializado no tratamento de doenças pancreáticas independente de biópsia.
A biópsia guiada ou a aspiração com agulha fina por USE, a citologia por escova do ducto pancreático ou a biópsia por CPRE são preferíveis à abordagem transperitoneal transcutânea guiada por ultrassonografia ou TC em pacientes com doença não metastática.[1]National Comprehensive Cancer Network. NCCN clinical practice guidelines in oncology: pancreatic adenocarcinoma [internet publication].
https://www.nccn.org/guidelines/category_1
As duas principais preocupações quanto às técnicas transperitoneais são o risco de falsos-negativos e de disseminação de células tumorais ao longo do percurso da agulha ou no peritônio.[66]Micames C, Jowell PS, White R, et al. Lower frequency of peritoneal carcinomatosis in patients with pancreatic cancer diagnosed by EUS-guided FNA vs. percutaneous FNA. Gastrointest Endosc. 2003 Nov;58(5):690-5.
http://www.ncbi.nlm.nih.gov/pubmed/14595302?tool=bestpractice.com
A prova de neoplasia maligna por biópsia não é necessária antes da ressecção cirúrgica, e uma biópsia não diagnóstica não deve atrasar a ressecção se a suspeita clínica de câncer de pâncreas for alta.[1]National Comprehensive Cancer Network. NCCN clinical practice guidelines in oncology: pancreatic adenocarcinoma [internet publication].
https://www.nccn.org/guidelines/category_1
Idealmente, a doença metastática deve ser confirmada por punção por agulha grossa (core biopsy) de um local metastático.[1]National Comprehensive Cancer Network. NCCN clinical practice guidelines in oncology: pancreatic adenocarcinoma [internet publication].
https://www.nccn.org/guidelines/category_1
Teste genômico
O teste para mutações genômicas acionáveis é recomendado, se disponível, em pacientes selecionados com câncer de pâncreas metastático.
Os resultados são usados para selecionar o tratamento de segunda linha mais adequado. Testes de linha germinativa e tumoral são recomendados. As alterações genômicas de interesse incluem instabilidade de microssatélite/reparo de erro de pareamento, mutações (BRAF, BRCA1/2, KRAS e PALB2), amplificações (HER2), carga mutacional tumoral e fusões genéticas (ALK, NRG1, NTRK, ROS1, FGFR2 e RET).[1]National Comprehensive Cancer Network. NCCN clinical practice guidelines in oncology: pancreatic adenocarcinoma [internet publication].
https://www.nccn.org/guidelines/category_1
[43]Sohal DPS, Kennedy EB, Cinar P, et al. Metastatic pancreatic cancer: ASCO guideline update. J Clin Oncol. 2020 Aug 5:JCO2001364.
https://ascopubs.org/doi/10.1200/JCO.20.01364?url_ver=Z39.88-2003&rfr_id=ori:rid:crossref.org&rfr_dat=cr_pub%20%200pubmed
http://www.ncbi.nlm.nih.gov/pubmed/32755482?tool=bestpractice.com