Investigações
Primeiras investigações a serem solicitadas
teste de gravidez urinário ou sérico
Exame
Confirma a gestação.[39]
Resultado
positiva
ultrassonografia transvaginal (USTV) de alta resolução
Exame
Uma vez confirmada a gravidez, a USTV é utilizada para determinar a localização da gestação.[39]
Se for visualizada uma gestação intrauterina, a qual pode ser viável ou não viável, a probabilidade de haver uma gravidez ectópica é extremamente baixa, com a exceção da gestação heterotópica.[44]
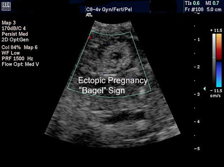
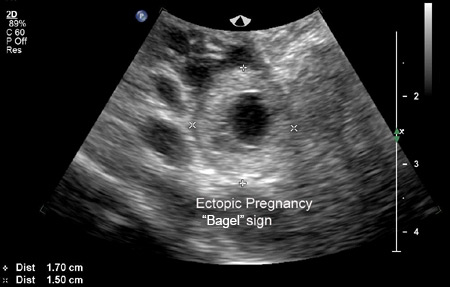
A gravidez ectópica é visualizada na USTV, e o diagnóstico é feito de maneira direta.[Figure caption and citation for the preceding image starts]: Imagem de ultrassonografia de gravidez ectópica demonstrando sinal de "rosquinha"Do acervo da Dr. Melissa Fries; usado com permissão [Citation ends].
[Figure caption and citation for the preceding image starts]: Imagem de ultrassonografia de gravidez ectópica demonstrando sinal de "rosquinha"Do acervo da Dr. Melissa Fries; usado com permissão [Citation ends].
Uma massa anexial movendo-se separadamente para o ovário, às vezes chamada de "sinal deslizante", com um saco gestacional vazio, às vezes descrito como um "anel tubário" ou "sinal em forma de anel", e uma massa anexial complexa, não homogênea, movendo-se separada para o ovário, são altamente sugestivos de uma gravidez ectópica, mas não diagnóstico.[62]
Entretanto, em um número significativo de casos, nem uma gestação intrauterina nem uma gravidez ectópica podem ser visualizadas na ultrassonografia, resultando na chamada gravidez de estado desconhecido.[47]
Utilizando uma USTV, uma gestação intrauterina deve ser observada em 5 semanas após o último período menstrual.[63]
Se uma gestação intrauterina não puder ser confirmada quando os níveis discriminatórios de gonadotrofina coriônica humana são alcançados (3000-3500 mUI/mL]), há um aumento do risco de a gravidez ser ectópica. No entanto, também pode representar uma interrupção da gestação intrauterina.
Resultado
gestação intrauterina não detectada; gravidez ectópica visualizada
ultrassonografia transabdominal
Exame
Menos sensível que a ultrassonografia transvaginal; probabilidade de detectar a gestação intrauterina por volta de 6 semanas após o último período menstrual ou quando os níveis discriminatórios de gonadotrofina coriônica humana (hCG) para ultrassonografia transabdominal tiverem alcançado 4000-6500 UI/L (4000-6500 mUI/mL).
Se o estado intrauterino não for identificado após os níveis discriminatórios de hCG terem sido alcançados, existe um aumento do risco de a gestação ser ectópica. No entanto, também pode representar uma interrupção da gestação intrauterina.
Resultado
não foi detectada uma gestação intrauterina
Investigações a serem consideradas
gonadotrofina coriônica humana (hCG) sérica serial
Exame
Solicitada para confirmar gestação ou se a ultrassonografia transvaginal (USTV) não confirmar uma gestação intrauterina.
O aumento esperado na hCG sérica na gravidez normal pode depender dos valores iniciais. Se o nível inicial de hCG for <1500 UI/L (<1500 mUI/mL), seria esperado um aumento de 49% ou mais no período de 2 dias, ao passo que, com um nível inicial >3000 UI/L (>3000 mUI/mL), o aumento esperado seria ≥33% em 2 dias.[52] Em 99% das gestações intrauterinas viáveis, haverá, num período de 48 horas, um aumento nos níveis de hCG maior que estes limiares mínimos; uma menor taxa de aumento deve suscitar a suspeita de gravidez ectópica ou perda gestacional precoce, mas não é diagnóstico de inviabilidade.[52][53][64] É importante também lembrar que nem o aumento esperado nem a queda dos níveis de hCG sérica descartam a possibilidade de gravidez ectópica.[54] Aconselha-se cuidado na interpretação do resultado da hCG, pois um estudo revelou que até 27% das mulheres diagnosticadas com gravidez ectópica apresentaram curvas de hCG semelhantes às de gestações normais.[55]
Quando o nível de hCG estiver bem acima do nível discriminatório de 3000-3500 UI/L (3000-3500 mUI/mL) e não houver sinal de gestação intrauterina na USTV, uma gestação intrauterina viável será relativamente improvável, e sucessivas hCG quantitativas séricas poderão ser usadas para diferenciar entre uma gravidez ectópica e uma gestação intrauterina (não viável) interrompida (aborto espontâneo).
A diminuição estável dos valores de hCG (ou seja, uma diminuição de 50% em 48 horas) sugere interrupção da gestação (aborto espontâneo). Esta pode ser intrauterina, mas também pode representar uma gravidez ectópica de resolução espontânea.[46][57]
Por outro lado, um aumento abaixo do ideal (ou seja, aumento <49% em 48 horas se o nível inicial de hCG for <1500 UI/L [<1500 mUI/mL], aumento <40% em 48 horas se o nível inicial de hCG estiver entre 1500 e 3000 UI/mL (1500 e 3000 mUI/mL) ou aumento <33% em 48 horas se o hCG inicial for >3000 UI/L [>3000 mUI/mL]) ou uma estabilização dos valores de hCG sugerem uma gravidez inviável, incluindo uma potencial gravidez ectópica.[46][58]
Um terceiro teste de hCG, em uma mulher estável, e uma ultrassonografia precoce podem diminuir os erros na classificação da gestação intrauterina.[65] Recomenda-se que, se os níveis discriminatórios forem usados para diagnosticar a gravidez ectópica, deve-se usar um valor conservadoramente elevado (por exemplo, 3500 UI/L [3500 MUI/mL]), para evitar erro de diagnóstico.[46]
Resultado
aumento de <49% em 48 horas se o nível inicial de hCG for <1500 UI/L (<1500 mUI/mL), aumento <40% em 48 horas se o nível inicial de hCG estiver entre 1500 e 3000 UI/mL (1500 e 3000 mUI/mL) ou aumento de <33% em 48 horas se o nível inicial de hCG for >3000 UI/L (>3000 mUI/mL), ou estabilização do nível
aspiração uterina
Exame
Pode ser realizada se a possibilidade de uma gravidez viável tiver sido razoavelmente excluída.
Utilizada para distinguir a perda gestacional intrauterina precoce da gravidez ectópica por meio da identificação da presença ou ausência de vilosidades coriônicas intrauterinas. A presença de vilosidades coriônicas confirma uma gestação intrauterina interrompida. Se não forem encontradas vilosidades coriônicas, os níveis de gonadotrofina coriônica humana (hCG) deverão ser monitorados, sendo a primeira medida tomada 12 a 24 horas após a aspiração. Um platô (declínio inferior a 10% ou 15%) ou aumento da hCG após o procedimento sugere evacuação incompleta ou gravidez ectópica não visualizada, sendo justificada a continuação do tratamento.[46]
A realização de um esvaziamento uterino em uma mulher com gravidez de localização desconhecida persistente reduzirá o tempo de resolução em até 6 dias.[64]
Resultado
vilosidades coriônicas intrauterinas ausentes
O uso deste conteúdo está sujeito ao nosso aviso legal