Imagens e vídeos
IMAGENS

Doença coronariana crônica
Eletrocardiograma (ECG) normal
Do acervo do Dr. S.D. Fihn; usado com permissão
Veja esta imagem em contexto nas seguintes seções:

Doença coronariana crônica
Eletrocardiograma de esforço máximo em homem de 55 anos com história de 1 mês de angina ao esforço físico com infradesnivelamentos do segmento ST em II, III, aVF diagnósticos de isquemia e alterações normais de ST em V4-6 (ascendente rápido)
Do acervo do Dr. S.D. Fihn; usado com permissão
Veja esta imagem em contexto nas seguintes seções:

Doença coronariana crônica
Probabilidades pré-teste de doença arterial coronariana obstrutiva em pacientes sintomáticos de acordo com a idade, sexo e natureza dos sintomas em uma análise combinada
Juarez-Orozco et al. Eur Heart J Cardiovasc Imaging. 2019 Nov 1;20(11):1198-207; usado com permissão
Veja esta imagem em contexto nas seguintes seções:

Doença coronariana crônica
Sensibilidade e especificidade dos testes para doença arterial coronariana anatomicamente significativa
Adaptado de Knuuti et al. The performance of non-invasive tests to rule-in and rule-out significant coronary artery stenosis in patients with stable angina: a meta-analysis focused on post-test disease probability. Eur Heart J. 2018 Sep 14;39(35):3322-30; usado com permissão. (ATC, angiotomografia coronária; IC, intervalo de confiança; RNMC, ressonância nuclear magnética cardíaca; PET, tomografia por emissão de pósitrons; SPECT, tomografia computadorizada por emissão de fóton único [SPECT sob esforço de exercício com ou sem dipiridamol ou adenosina]; ecocardiografia de estresse, ecocardiografia de esforço por exercício)
Veja esta imagem em contexto nas seguintes seções:

Doença coronariana crônica
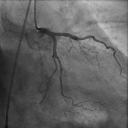
Angiograma (projeção caudal oblíqua anterior direita) em homem de 55 anos com história de 1 mês de angina ao esforço físico. Há uma estenose proximal de 90% da marginal obtusa 1, o que explica a isquemia lateral do paciente
Do acervo do Dr. S.D. Fihn; usado com permissão
Veja esta imagem em contexto nas seguintes seções:

Doença coronariana crônica
Resumo computadorizado do eletrocardiograma de esforço em homem de 55 anos com história de 1 mês de angina ao esforço físico
Do acervo do Dr. S.D. Fihn; usado com permissão
Veja esta imagem em contexto nas seguintes seções:

Doença coronariana crônica
Eletrocardiograma (ECG) mostrando infradesnivelamento do segmento ST inespecífico em V5 e V6, que pode indicar isquemia. Existem alterações inespecíficas no segmento ST em III e aVF
Do acervo do Dr. S.D. Fihn; usado com permissão
Veja esta imagem em contexto nas seguintes seções:

Doença coronariana crônica
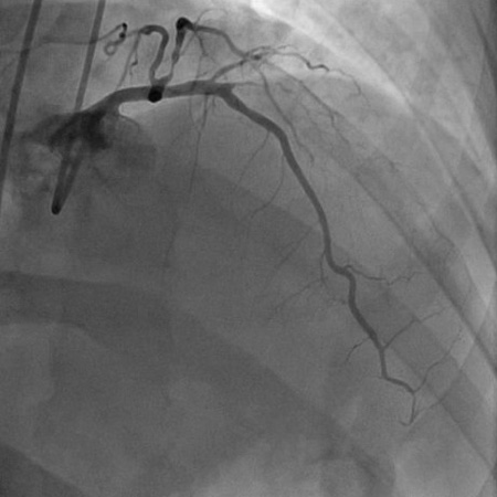
Angiograma (projeção craniana oblíqua anterior direita) em homem de 55 anos com história de 1 mês de angina ao esforço físico. A imagem mostra uma estenose proximal de 90% da artéria marginal obtusa 1 (o que explica a isquemia lateral do paciente), estenose proximal de 90% da primeira diagonal e oclusão subtotal de 99% da segunda diagonal (explicando a isquemia anterior e anterolateral do paciente)
Do acervo do Dr. S.D. Fihn; usado com permissão
Veja esta imagem em contexto nas seguintes seções:

Doença coronariana crônica
Eletrocardiograma de esforço basal em homem de 55 anos com história de 1 mês de angina ao esforço físico
Do acervo do Dr. S.D. Fihn; usado com permissão
Veja esta imagem em contexto nas seguintes seções:
Vídeos
- Como realizar uma demonstração animada do ECG
Como registrar um ECG. Demonstra a colocação de eletrodos no tórax e nos membros.
O uso deste conteúdo está sujeito ao nosso aviso legal