Abordagem
Diretriz confiável
ebpracticenet recomenda que você priorize as seguintes diretrizes locais:
Richtlijn acute rinosinusitisPublicada por: Werkgroep Ontwikkeling Richtlijnen Eerste Lijn (Worel)Última publicação: 2023Guide de pratique clinique rhinosinusite aiguëPublicada por: Groupe de travail Développement de recommandations de première ligneÚltima publicação: 2023O diagnóstico é baseado principalmente na história e no exame físico. Geralmente não há necessidade de investigações adicionais, a menos que haja complicações. Na maioria dos casos, o diagnóstico é feito de forma presumida. Complicações, embora raras, são mais comuns em crianças.
História
Os principais fatores de risco incluem rinite alérgica ou história recente de infecção viral do trato respiratório superior. A asma pode ser exacerbada pela rinossinusite aguda.
Os fatores importantes para diferenciar a rinossinusite viral da bacteriana são a duração e a trajetória gerais dos sintomas. Os sintomas da infecção viral tendem a atingir a sua intensidade máxima mais cedo e a se resolverem gradualmente.[1][4][17] Assim, sintomas presentes por menos de 10 dias indicam uma infecção viral, enquanto sintomas presentes por mais de 10 dias, sem melhora, sugerem uma infecção bacteriana.[1][3] Os sintomas que se agravam após uma melhora inicial (as chamadas "recidivas") sugerem uma infecção bacteriana secundária após rinossinusite viral.[1]
A tosse é um sintoma comum na rinossinusite viral e bacteriana aguda.[4] Pode ocorrer tosse secundária à drenagem pós-nasal ou exacerbação da asma. Outros sintomas podem incluir faringite, hiposmia, secreção nasal purulenta e febre.
Exame físico
O exame físico deve incluir uma avaliação minuciosa da cabeça e do pescoço, com atenção particular à presença de:
Sensibilidade facial à palpação gentil
Exsudato ou secreções faríngeas pós nasais
Dentição maxilar sensível à palpação
Efusão na orelha média.
A cavidade nasal deve ser examinada quanto à presença de eritema da mucosa ou secreção purulenta. O exame ideal é realizado após se aplicar um descongestionante tópico.[18] Pode ser usado um otoscópio ou um espéculo nasal e luz frontal. Entretanto, como o exame nasal pode ser difícil ou os sinais podem ser inespecíficos, recomenda-se a endoscopia nasal somente em pacientes selecionados, incluindo os pacientes refratários à antibioticoterapia empírica, ou quando houver preocupação quanto a resistência antibiótica, ou nos pacientes imunocomprometidos.
A endoscopia pode fornecer excelente visualização da cavidade nasal e das vias de drenagem dos seios nasais. Há dois tipos de endoscópio: rígido e flexível. Um endoscópio nasal rígido tem uma resolução superior e requer apenas o uso de uma mão. Isso permite obter-se facilmente culturas da cavidade nasal ou dos seios nasais, se necessário. Um endoscópio nasal flexível é mais confortável para os pacientes, mas requer o uso de ambas as mãos. Há endoscópios nasais flexíveis que contêm um canal para coletar culturas, mas esse tipo tende a ser maior e mais desconfortável e é mais difícil de reprocessar. Geralmente, o endoscópio nasal flexível é preferível nas crianças, pois é mais bem-tolerado; contudo, qualquer tipo pode ser usado em adultos e crianças. A escolha dependerá da familiaridade do profissional com o procedimento, e a maioria será realizada por um otorrinolaringologista.
Edema periorbital ou malar, proptose orbital, perturbações visuais, movimentos extraoculares anormais ou sinais neurológicos anormais podem indicar a presença de complicações, sendo necessária uma consulta urgente de otorrinolaringologia.[Figure caption and citation for the preceding image starts]: Septo e corneto inferior direito visíveis antes da aplicação do descongestionanteDo acervo de Melissa Pynnonen, MD [Citation ends].
[Figure caption and citation for the preceding image starts]: Meato médio e corneto médio direito visíveis após a aplicação do descongestionanteDo acervo de Melissa Pynnonen, MD [Citation ends].
[Figure caption and citation for the preceding image starts]: Meato médio esquerdo com edema grave e secreções purulentasDo acervo de Melissa Pynnonen, MD [Citation ends].
[Figure caption and citation for the preceding image starts]: Meato médio esquerdo com mucosa saudável e secreções não purulentasDo acervo de Melissa Pynnonen, MD [Citation ends].
[Figure caption and citation for the preceding image starts]: Endoscopia nasal da cavidade nasal esquerda mostrando um pequeno pólipo e pus no meato médioDo acervo de Joseph K. Han [Citation ends].
Investigações
Os exames laboratoriais têm valor limitado no diagnóstico da rinossinusite aguda.[19] No entanto, a cultura pode ser um auxiliar importante na seleção do antibiótico se:
A infecção for refratária à antibioticoterapia empírica
Houver preocupação em relação à resistência a antibióticos
O paciente apresentar imunocomprometimento.
As diretrizes da Infectious Diseases Society of America (IDSA)/American Society for Microbiology (ASM) recomendam que as amostras ideais para rinossinusite aguda não complicada são aspirados obtidos por punção antral ou uma amostra de swab do meato médio obtida com orientação endoscópica.[20] A cultura endoscópica do seio nasal é muito menos dolorosa que a punção dos seios nasais. Os dois métodos de cultura correlacionam-se bem, especialmente quando há purulência dentro do meato médio (ou seja, dentro da via de drenagem do seio nasal).[21][22] Culturas obtidas da cavidade nasal ou da nasofaringe, através de swab e sem visualização endoscópica, não são incentivadas porque não se correlacionam com o patógeno causador.[20]
Para a rinossinusite complicada, o aspirado obtido por punção antral ou tecido ou aspirado obtido cirurgicamente pode ser usado para cultura bacteriana ou fúngica.[20]
Testes de alergia cutânea ou sanguínea (IgE específica) podem ser considerados para descartar rinite alérgica, principalmente se houver ausência de resposta à antibioticoterapia ou em episódios recorrentes.[1]
Exames por imagem
Os estudos radiográficos não são recomendados para avaliação de rotina de rinossinusite aguda, porque não foi demonstrado que alteram os desfechos clínicos.[23][24] Eles não conseguem diferenciar a rinossinusite viral da bacteriana.[15][24] Os exames de imagem podem expor os pacientes à radiação e ao contraste intravenoso desnecessariamente.[23]
Estudos radiográficos são recomendados para determinados pacientes, inclusive aqueles com complicações de rinossinusite, como celulite facial, suspeita de infecção intracraniana ou orbital e aqueles com doença de evolução rápida ou suspeita de rinossinusite fúngica invasiva aguda.[24] Estudos radiográficos também são recomendados na avaliação de pacientes com suspeita de rinossinusite aguda, recorrente ou crônica.[24] Nesse cenário, o estudo pode ser usado para confirmar o diagnóstico de rinossinusite ou descartar um diagnóstico alternativo.[1] Para obter detalhes adicionais, consulte Rinossinusite crônica sem pólipos nasais.
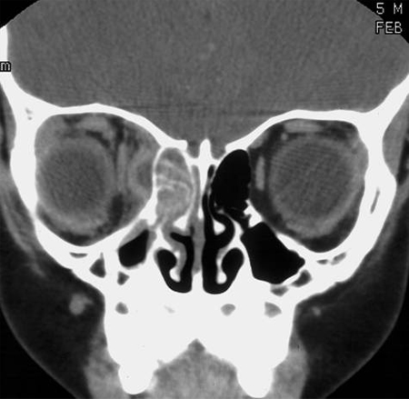
Tomografia computadorizada (TC)
TC com contraste é o exame de imagem de primeira escolha para rinossinusite aguda com suspeita de complicações.[1][24]
Achados consistentes com rinossinusite aguda, muito embora não diagnósticos, incluem opacificação, nível hidroaéreo ou espessamento da mucosa acentuado ou grave.[1][24]
A TC sem contraste pode ser apropriada se houver suspeita de rinossinusite fúngica invasiva ou para avaliação óssea e planejamento cirúrgico, mas não é tão útil quanto a TC com contraste para detectar complicações orbitais e intracranianas.[24]
[Figure caption and citation for the preceding image starts]: Tomografia computadorizada com opacificação do seio nasal etmoide direito e abscesso orbital adjacenteDo acervo de Melissa Pynnonen, MD [Citation ends].

Ressonância nuclear magnética (RNM)
RNM com e sem contraste intravenoso pode ser útil em caso de suspeita de complicações extrassinusais.[1][24]
A RNM da órbita, rosto e pescoço com e sem contraste IV pode confirmar a inflamação dos seios paranasais e identificar complicações orbitais e intracranianas adjacentes.[24]
Raio-X
Radiografias do seio nasal não são adequadas para avaliar a rinossinusite com complicações, devido a limitações nas imagens de tecidos moles. A TC é preferível se for necessário exame de imagem.[24]
A radiografia lateral do pescoço pode ser útil em crianças para avaliar hipertrofia das adenoides em pacientes com obstrução nasal.[15] Uma alternativa é a endoscopia nasal flexível, que pode confirmar adenoidite.
O uso deste conteúdo está sujeito ao nosso aviso legal