Imagens e vídeos
IMAGENS

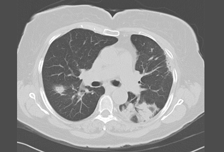
Pneumonia em organização
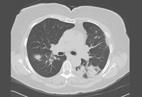
Tomografia computadorizada de alta resolução (TCAR) do tórax mostrando opacidades bilaterais em vidro fosco e um infiltrado com base triangular posterior com broncograma aéreo
Do acervo de Gary R. Epler, MD
Veja esta imagem em contexto nas seguintes seções:

Pneumonia em organização
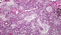
Lâmina de histopatologia com aumento médio mostrando bronquíolos ramificados e circulares cheios de oclusões polipoides de tecido de granulação e alvéolos preenchidos com pneumonia em organização
Do acervo de Gary R. Epler, MD
Veja esta imagem em contexto nas seguintes seções:

Pneumonia em organização
Abordagem algorítmica para pneumonia em organização. ∗ Um discussão multidisciplinar formal pode não ser necessária em todos os casos, especialmente se a combinação do contexto clínico e do padrão radiográfico for suficientemente convincente para o diagnóstico de PO. Nesses casos, é fortemente encorajada uma discussão entre o médico e o radiologista. PCR = proteína C-reativa; HAD = hemorragia alveolar difusa; Dx = diagnóstico; VHS = velocidade de hemossedimentação; GGO = opacificação em vidro fosco; TCAR = TC de alta resolução; MDD = discussão multidisciplinar; nl Pro-Cal C = procalcitonina normal; nl leucócitos = leucócitos normais; PO = pneumonia em organização
Cherian SV, et al. Chest. 2022 Jul;162(1):156-78. doi: 10.1016/j.chest.2021.12.659. Epub 2022 Jan 14; usado com permissão
Veja esta imagem em contexto nas seguintes seções:

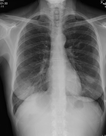
Pneumonia em organização
Radiografia torácica mostrando infiltrados irregulares bilaterais
Do acervo de Gary R. Epler, MD
Veja esta imagem em contexto nas seguintes seções:
Vídeos
- Estertores inspiratórios tardios
Sons de ausculta: estertores inspiratórios tardios
O uso deste conteúdo está sujeito ao nosso aviso legal