Diagnósticos diferenciais
comuns
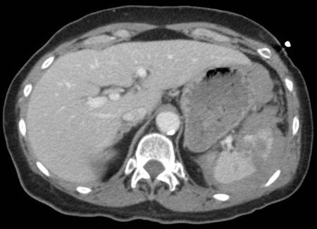
Lesão esplênica
História
história de traumatismo contuso mais comum que de traumatismo penetrante; dor no quadrante superior esquerdo ou irradiada para o ombro esquerdo (sinal de Kehr); fraturas de costelas na região inferior esquerda têm alta incidência de lesão esplênica concomitante
Exame físico
sinais de hipovolemia; pode ser identificada sensibilidade no quadrante superior esquerdo; o exame físico não é um teste sensível ou específico para o diagnóstico de lesões esplênicas
Primeira investigação
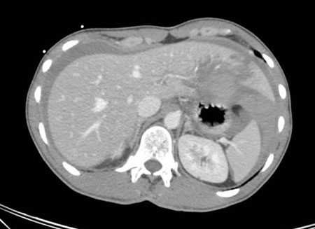
Lesão hepática
História
história de traumatismo contuso ou penetrante; dor no quadrante superior direito; fraturas de costela inferior direita estão associadas a lesão hepática
Exame físico
sinais de hipovolemia; pode revelar sensibilidade no quadrante superior direito ou plenitude abdominal; o exame físico não é confiável
Primeira investigação
Outras investigações
- avaliação focada com ultrassonografia na avaliação do traumatismo (FAST):
hemorragia intra-abdominal ou intracapsular
Mais - lavagem peritoneal diagnóstica (LPD):
hemorragia intra-abdominal
Mais - arteriografia hepática:
sangramento arterial intra-hepático
- colangiopancreatografia retrógrada endoscópica:
pode identificar complicações tardias de lesões importantes do ducto biliar
Lesão renal
História
história de lesão contusa ou penetrante no flanco; queda com rápida desaceleração ou acidente com veículo automotor; hematúria macroscópica; dor no abdome e no flanco, principalmente na inspiração
Exame físico
feridas penetrantes e/ou contusões no flanco ou costas; fraturas da 11ª ou 12ª costela; sensibilidade no flanco; hematúria macroscópica; dor no abdome/flanco pior à inspiração; sensibilidade no ângulo costovertebral; instabilidade hemodinâmica
Primeira investigação
Outras investigações
Lesões do intestino delgado
História
história de traumatismo penetrante (mais comum que trauma contuso) acarretando peritonite; geralmente não apresenta sinais de peritonite no período logo após a lesão; possivelmente despercebida no trauma abdominal contuso em que não há suspeita de lesão do intestino delgado
Exame físico
pode haver um leve sinal de peritonite no período inicial após a lesão; posteriormente, o abdome pode apresentar-se rígido e distendido com sensibilidade difusa; ferida penetrante na fáscia abdominal posterior e/ou contusões da parede abdominal decorrentes de traumatismo contuso ou cinto de segurança; a lesão é potencialmente despercebida se for decorrente de ferida por arma branca na parte anterior do abdome erroneamente diagnosticada como não tendo penetrado na fáscia abdominal posterior
Primeira investigação
- radiografia torácica ortostática:
ar livre sob o diafragma
Mais - radiografia abdominal:
ar livre sob o diafragma
Mais - tomografia computadorizada (TC) do abdome:
líquido livre na cavidade abdominal sem lesões a órgão sólido, espessamento da parede intestinal, encarceramento mesentérico e/ou ar intraperitoneal livre
Mais
Outras investigações
- lavagem peritoneal diagnóstica (LPD):
positiva se eritrócitos >1 X 10¹²/L (>100,000/mm³); >0.5 X 10⁹/L (>500 leucócitos/mm³); presença de bactérias, bile ou partículas de alimentos
Mais
Incomuns
Lesão de pâncreas
História
história de traumatismo penetrante ou traumatismo contuso localizado no abdome superior/região mesogástrica (por exemplo, lesão por guiador ou volante); sintomas tardios devidos à localização retroperitoneal do pâncreas; dor abdominal vaga irradiada para as costas, geralmente algumas horas após o evento traumático
Exame físico
ferida penetrante ou contusões abdominais, principalmente no abdome superior/região mesogástrica; os sinais aparecem tardiamente devido à posição retroperitoneal; desconforto abdominal, podendo desenvolver irritação peritoneal com defesa
Primeira investigação
Outras investigações
- colangiopancreatografia por ressonância magnética:
lesões ductais, laceração, pseudocisto ou lesões parenquimatosas
Mais
Lesão diafragmática
História
história de trauma abdominal contuso de alta velocidade ou traumatismo toracoabdominal penetrante; pode se queixar de dor torácica, dor abdominal inespecífica ou dispneia; dor abdominal exacerbada pela posição de decúbito dorsal
Exame físico
contusões abdominais e/ou ferida penetrante, principalmente se próximo à margem costal; dor abdominal exacerbada pela posição de decúbito dorsal; murmúrios vesiculares diminuídos no lado afetado (o lado esquerdo é nove vezes mais afetado que o direito, após traumatismo contuso); ausculta de ruídos hidroaéreos nos campos pulmonares; instabilidade hemodinâmica, particularmente na posição de decúbito dorsal (devido à herniação das vísceras abdominais para o tórax, impedindo o retorno venoso e reduzindo o débito cardíaco); taquipneia, taquicardia, dor no ombro, distensão abdominal e/ou defesa; lesões diafragmáticas despercebidas associadas a hérnia e estrangulamento de víscera abdominal
Primeira investigação
- radiografia torácica:
hemopneumotórax, diafragma elevado e/ou estômago e intestino no hemitórax
Mais - tomografia computadorizada (TC) do abdome:
hemopneumotórax, diafragma elevado e/ou estômago e intestino no hemitórax
Mais - TC do tórax:
hemopneumotórax, diafragma elevado e/ou estômago e intestino no hemitórax
Mais
Outras investigações
- laparoscopia:
visualização direta de lesão diafragmática
Mais
Lesão de estômago
História
história de trauma abdominal penetrante ou contuso, principalmente no epigástrio; desaceleração significativa por queda ou acidente de trânsito com o estômago cheio; dor abdominal inespecífica
Exame físico
ferida traumática penetrante e/ou contusões consistentes com traumatismo contuso; início rápido de queimação epigástrica, rapidamente seguida de rigidez e sensibilidade de rebote; acarreta, em última instância, abdome rígido e distendido com sensibilidade difusa; a lesão é potencialmente despercebida se for decorrente de ferimento por arma branca na parte anterior do abdome erroneamente diagnosticado como não tendo penetrado na fáscia abdominal posterior
Primeira investigação
Outras investigações
- sonda nasogástrica:
sangue no aspirado nasogástrico
Lesão colorretal
História
história de traumatismo penetrante (mais comum que de trauma contuso) acarretando peritonite; cogite lesão colorretal em traumatismo contuso associada a fraturas pélvicas
Exame físico
abdome rígido e distendido com sensibilidade difusa; sangue macroscópico no exame retal
Primeira investigação
Outras investigações
- tomografia computadorizada (TC) de abdome/pelve:
pneumoperitônio ou hematoma mesentérico (lesões contusas); extravasamento de contraste
Mais
Lesão mesentérica
História
história de traumatismo contuso ou penetrante (particularmente, desaceleração rápida ou lesões por força significativa); pode ser inicialmente assintomática ou com dor abdominal vaga
Exame físico
equimose da parede abdominal; desconforto abdominal com ou sem sinais peritoneais
Primeira investigação
- tomografia computadorizada (TC) do abdome:
líquido intraperitoneal livre, hematoma mesentérico
Mais
Outras investigações
- lavagem peritoneal diagnóstica (LPD):
positiva se eritrócitos >1 X 10¹²/L (>100,000/mm³); >0.5 X 10⁹/L (>500 leucócitos/mm³); presença de bactérias, bile ou partículas de alimentos
Mais
Lesão de bexiga
História
história de traumatismo contuso ou penetrante; associado a fraturas pélvicas; dificuldade de micção e hematúria macroscópica
Exame físico
desconforto na parte inferior do abdome
Primeira investigação
Outras investigações
- tomografia computadorizada (TC) do abdome e da pelve com contraste intravenoso e imagem tardia da pelve:
líquido livre na pelve
Mais
Lesão vascular abdominal
História
história de traumatismo penetrante no abdome ou pelve mais comum que de traumatismo contuso
Exame físico
abdome distendido, taquicardia; sinais de instabilidade hemodinâmica, hipotensão; possível perda de pulsação nos membros inferiores
Primeira investigação
Outras investigações
O uso deste conteúdo está sujeito ao nosso aviso legal




