As causas de infiltrados pulmonares persistentes podem ser infecciosas ou não infecciosas.[1]Menendez R, Perpina M, Torres A. Evaluation of non-resolving and progressive pneumonia. Semin Respir Infect. 2003 Jun;18(2):103-11.
http://www.ncbi.nlm.nih.gov/pubmed/12840791?tool=bestpractice.com
[2]Kuru T, Lynch JP 3rd. Non-resolving or slowly resolving pneumonia. Clin Chest Med. 1999 Sep;20(3):623-51.
http://www.ncbi.nlm.nih.gov/pubmed/10516909?tool=bestpractice.com
[3]Cunha BA. Slowly resolving and nonresolving pneumonias. Drugs Today (Barc). 2000 Dec;36(12):829-34.
http://www.ncbi.nlm.nih.gov/pubmed/12845341?tool=bestpractice.com
Pacientes com infiltrado pulmonar persistente podem apresentar ou não sintomas clínicos (por exemplo, tosse, hemoptise). A investigação abrangente da natureza do infiltrado pulmonar persistente pode ser necessária quando a melhora clínica não ocorreu com o tratamento, se os achados radiográficos do tórax permanecerem inalterados ou piorarem, ou se a taxa de resolução radiográfica for tardia.[2]Kuru T, Lynch JP 3rd. Non-resolving or slowly resolving pneumonia. Clin Chest Med. 1999 Sep;20(3):623-51.
http://www.ncbi.nlm.nih.gov/pubmed/10516909?tool=bestpractice.com
Infecciosa
Entre 10% e 25% dos pacientes com pneumonia adquirida na comunidade sem resolução e 30% a 60% dos que apresentam pneumonia hospitalar não melhoram, apesar da terapia.[13]Menendez R, Torres A. Treatment failure in community-acquired pneumonia. Chest. 2007 Oct;132(4):1348-55.
http://www.ncbi.nlm.nih.gov/pubmed/17934120?tool=bestpractice.com
[16]Arancibia F, Ewig S, Martinez JA, et al. Antimicrobial treatment failures in patients with community-acquired pneumonia: causes and prognostic implications. Am J Respir Crit Care Med. 2000 Jul;162(1):154-60.
http://www.atsjournals.org/doi/full/10.1164/ajrccm.162.1.9907023
http://www.ncbi.nlm.nih.gov/pubmed/10903235?tool=bestpractice.com
A pneumonia adquirida na comunidade pode ser subsequente a organismos atípicos (por exemplo, Mycoplasma pneumoniae, Chlamydophila pneumoniae, Legionella pneumophila ou vírus respiratórios) e é frequentemente observada em adultos jovens que vivem em proximidade com indivíduos infectados por esses micro-organismos.
Pacientes mais velhos e imunossuprimidos são mais suscetíveis a pneumonias virais, e a superinfecção por outros organismos (por exemplo, Staphylococcus aureus, Haemophilus influenzae) é comum.
Tuberculose, em áreas endêmicas, deve ser considerada sempre que o infiltrado pulmonar persistir após antibioticoterapia convencional. Pneumonia fúngica (por exemplo, por Pneumocystis jirovecii) pode ser acompanhada por granulomas fúngicos. A pneumonia viral frequentemente está associada à pneumonia em organização, causando infiltrado pulmonar persistente. Ela pode se apresentar clinicamente de maneira similar à pneumonia adquirida na comunidade (isto é, enfermidade semelhante à gripe [influenza] com febre, mal-estar, fadiga, tosse) com infiltrado alveolar bilateral difuso persistente, recorrente ou migratório.[17]Gross TJ, Chavis AD, Lynch JP 3rd. Noninfectious pulmonary diseases masquerading as community-acquired pneumonia. Clin Chest Med. 1991 Jun;12(2):363-93.
http://www.ncbi.nlm.nih.gov/pubmed/1855377?tool=bestpractice.com
[18]Lynch JP 3rd, Sitrin RG. Noninfectious mimics of community acquired pneumonia. Semin Respir Infect. 1993 Mar;8(1):14-45.
http://www.ncbi.nlm.nih.gov/pubmed/8372273?tool=bestpractice.com
[19]Andrade CR, Ibiapina CC, Champs NS, et al. Avian influenza: the threat of the 21st century. J Bras Pneumol. 2009 May;35(5):470-9.
http://www.scielo.br/scielo.php?script=sci_arttext&pid=S1806-37132009000500014&lng=en&nrm=iso&tlng=en
http://www.ncbi.nlm.nih.gov/pubmed/19547858?tool=bestpractice.com
Patógenos resistentes ou incomuns (fungos, Mycoplasma tuberculosis, Nocardia ou Actinomyces) também podem causar infiltrado pulmonar persistente.[20]Low DE, Mazzulli T, Marrie T. Progressive and nonresolving pneumonia. Curr Opin Pulm Med. 2005 May;11(3):247-52.
http://www.ncbi.nlm.nih.gov/pubmed/15818188?tool=bestpractice.com
[21]Weyers CM, Leeper KV. Nonresolving pneumonia. Clin Chest Med. 2005 Mar;26(1):143-58.
http://www.ncbi.nlm.nih.gov/pubmed/15802176?tool=bestpractice.com
As complicações da pneumonia, como empiema e abscesso, podem acarretar pneumonia sem resolução, principalmente em pacientes com comorbidades clínicas. A tomografia computadorizada (TC) é geralmente utilizada como modalidade diagnóstica, com ou sem broncograma aéreo na presença de infiltrado alveolar. A toracocentese é um procedimento definitivo em caso de empiema, não sendo necessários outros exames. A obstrução causada por câncer pulmonar (por exemplo, carcinoma broncogênico, tumores carcinoides brônquicos, papilomas ou lesões metastáticas, como as localizadas na mama, rins ou trato gastrointestinal) pode causar pneumonias pós-obstrutivas sem resolução ou abscessos recorrentes.
[Figure caption and citation for the preceding image starts]: Casos de pneumonia sem resoluçãoCriado no BMJ Knowledge Centre com base nas tabelas de Athanasia Pataka [Citation ends].
Imunossuprimida
Pacientes com AIDS e hospedeiros imunocomprometidos não infectados pelo HIV podem apresentar diversas possibilidades para infiltrado pulmonar persistente (por exemplo, pneumonia por P jirovecii, tuberculose).[22]Boyton RJ. Infectious lung complications in patients with HIV/AIDS. Curr Opin Pulm Med. 2005 May;11(3):203-7.
http://www.ncbi.nlm.nih.gov/pubmed/15818180?tool=bestpractice.com
[23]Kanmogne GD. Noninfectious pulmonary complications of HIV/AIDS. Curr Opin Pulm Med. 2005 May;11(3):208-12.
http://www.ncbi.nlm.nih.gov/pubmed/15818181?tool=bestpractice.com
[24]Shorr AF, Susla GM, O'Grady NP. Pulmonary infiltrate in the non-HIV-infected immunocompromised patient: etiologies, diagnostic strategies, and outcomes. Chest. 2004 Jan;125(1):260-71.
http://www.ncbi.nlm.nih.gov/pubmed/14718449?tool=bestpractice.com
[25]Crawford S. Noninfectious lung disease in the immunocompromised host. Respiration. 1999;66(5):385-95.
http://content.karger.com/produktedb/produkte.asp?DOI=29418&typ=pdf
http://www.ncbi.nlm.nih.gov/pubmed/10516534?tool=bestpractice.com
[26]Maschmeyer G, Carratalà J, Buchheidt D, et al. Diagnosis and antimicrobial therapy of lung infiltrates in febrile neutropenic patients (allogeneic SCT excluded): updated guidelines of the Infectious Diseases Working Party (AGIHO) of the German Society of Hematology and Medical Oncology (DGHO). Ann Oncol. 2015 Jan;26(1):21-33.
https://www.ncbi.nlm.nih.gov/pmc/articles/PMC4269340
http://www.ncbi.nlm.nih.gov/pubmed/24833776?tool=bestpractice.com
[27]Leone S, Nicastri E, Giglio S, et al. Immune reconstitution inflammatory syndrome associated with Mycobacterium tuberculosis infection: a systematic review. Int J Infect Dis. 2010 Apr;14(4):e283-91.
http://www.ncbi.nlm.nih.gov/pubmed/19656712?tool=bestpractice.com
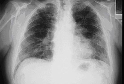
O sarcoma de Kaposi pode causar infiltrado pulmonar persistente.[Figure caption and citation for the preceding image starts]: Radiografia torácica anteroposterior em pneumonia por Pneumocystis jirovecii mostrando infiltrados pulmonares intersticiais bilaterais graves com pneumatocelesDo acervo de Matthew Gingo, UPMC [Citation ends].
[Figure caption and citation for the preceding image starts]: Causas de infiltrado pulmonar persistente em pacientes imunocomprometidosCriado no BMJ Knowledge Centre com base nas tabelas de Athanasia Pataka [Citation ends].
Neoplásica
Fumantes com >45 anos com pneumonia recorrente, hemoptise e perda de peso devem ser avaliados quanto a uma possível neoplasia maligna.[2]Kuru T, Lynch JP 3rd. Non-resolving or slowly resolving pneumonia. Clin Chest Med. 1999 Sep;20(3):623-51.
http://www.ncbi.nlm.nih.gov/pubmed/10516909?tool=bestpractice.com
O carcinoma bronquíolo-alveolar pode se apresentar como um infiltrado alveolar com broncograma aéreo, semelhante à pneumonia sem resolução. Os linfomas também podem se apresentar como um infiltrado alveolar, frequentemente com broncograma aéreo. O sarcoma de Kaposi pode causar infiltrado pulmonar persistente, particularmente em pacientes com AIDS.
Pulmonar parenquimatosa
Um corpo estranho nas vias aéreas pode causar pneumonia pós-obstrutiva recorrente sem resolução, distal ao objeto causador da obstrução.[2]Kuru T, Lynch JP 3rd. Non-resolving or slowly resolving pneumonia. Clin Chest Med. 1999 Sep;20(3):623-51.
http://www.ncbi.nlm.nih.gov/pubmed/10516909?tool=bestpractice.com
[28]Teramoto S, Matsuse T, Ouchi Y. Foreign body aspiration into the lower airways may not be unusual in older adults. Chest. 1998 Jun;113(6):1733-4.
http://www.ncbi.nlm.nih.gov/pubmed/9631831?tool=bestpractice.com
A pneumonia por aspiração é caracterizada por uma história de posição de decúbito, halitose e disfagia em um paciente debilitado ou paralisado. O achado radiológico clássico é um infiltrado nos campos pulmonares dependentes, com cultura de escarro de flora oral ou mista.
A pneumonia lipoide se desenvolve quando lipídios penetram na árvore brônquica.[29]Spickard A 3rd, Hirschmann JV. Exogenous lipoid pneumonia. Arch Intern Med. 1994 Mar 28;154(6):686-92.
http://www.ncbi.nlm.nih.gov/pubmed/8129503?tool=bestpractice.com
Os lipídios podem ser inalados (por exemplo, gotas nasais à base de óleo, inalação acidental de óleos cosméticos) ou pode preencher o lúmen dos brônquios e microvias aéreas distais à obstrução. Os achados típicos na biópsia incluem macrófagos espumosos lipídicos e células gigantes. A amiloidose infiltrante é uma causa incomum de infiltrado pulmonar persistente.[30]Utz JP, Swensen SJ, Gertz MA. Pulmonary amyloidosis: the Mayo Clinic experience from 1980 to 1993. Ann Intern Med. 1996 Feb 15;124(4):407-13.
http://www.ncbi.nlm.nih.gov/pubmed/8554249?tool=bestpractice.com
Cardiovascular
O edema pulmonar cardiogênico pode se manifestar com padrões assimétricos infiltrantes em pacientes com DPOC.[31]Gluecker T, Capasso P, Schnyder P, et al. Clinical and radiologic features of pulmonary edema: a pictorial essay. Radiographics. 1999 Nov-Dec;19(6):1507-31.
http://radiographics.rsnajnls.org/cgi/content/full/19/6/1507
http://www.ncbi.nlm.nih.gov/pubmed/10555672?tool=bestpractice.com
[32]Rudiger A, Gasser S, Fischler M, et al. Comparable increase of B-type natriuretic peptide and amino-terminal pro-B-type natriuretic peptide levels in patients with severe sepsis, septic shock, and acute heart failure. Crit Care Med. 2006 Aug;34(8):2140-4.
http://www.ncbi.nlm.nih.gov/pubmed/16763507?tool=bestpractice.com
[33]Maisel A. B-type natriuretic peptide levels: diagnostic and prognostic in congestive heart failure: what's next? Circulation. 2002 May 21;105(20):2328-31.
http://www.ncbi.nlm.nih.gov/pubmed/12021215?tool=bestpractice.com
Persiste se for tratado somente com antibióticos. Uma infiltração transitória e migratória é tipicamente encontrada nas radiografias torácicas em série. A comparação entre as incidências em posição supina e prona pode ser muito útil, pois o infiltrado basilar do edema pulmonar geralmente melhora com a posição prona. Esses pacientes normalmente apresentam sinais clínicos amplos (por exemplo, sopros cardíacos, B3, edema periférico, pressão venosa jugular elevada) que facilitam o diagnóstico correto.
A embolia pulmonar com infarto pode mimetizar pneumonia de resolução lenta. A tríade clássica de dispneia aguda, dor torácica e hemoptise raramente é observada clinicamente. Os achados na radiografia torácica de doença tromboembólica podem ser inespecíficos, com condensação cavitada e aumento cardíaco direito. Estudos em série do tórax por radiografia convencional ou TC demonstram a eliminação gradual do infiltrado da periferia em direção de seu centro (sinal da fusão do gelo). A angiotomografia ou a TC espiral (helicoidal) com contraste intravenoso permitem a visualização do êmbolo, que pode estar acompanhado por condensação cuneiforme.[34]van Belle A, Buller HR, Huisman MV, et al; Writing Group for the Christopher Study Investigators. Effectiveness of managing suspected pulmonary embolism using an algorithm combining clinical probability, D-dimer testing, and computed tomography. JAMA. 2006 Jan 11;295(2):172-9.
http://jama.jamanetwork.com/article.aspx?articleid=202176
http://www.ncbi.nlm.nih.gov/pubmed/16403929?tool=bestpractice.com
[35]Stein PD, Woodard PK, Weg JG, et al. Diagnostic pathways in acute pulmonary embolism: recommendations of the PIOPED II investigators. Am J Med. 2006 Dec;119(12):1048-55.
http://www.ncbi.nlm.nih.gov/pubmed/17145249?tool=bestpractice.com
Inflamatória/imunológica
Pacientes com doenças do tecido conjuntivo podem apresentar infiltrado pulmonar. O lúpus eritematoso sistêmico pode afetar o pulmão, sua vasculatura, a pleura e até mesmo o diafragma. A manifestação mais comum de doença pulmonar em pacientes com artrite reumatoide é a doença pulmonar intersticial. A doença pulmonar em pacientes com dermatomiosite ou polimiosite pode refletir uma complicação da miopatia inflamatória subjacente ou um efeito adverso dos medicamentos usados no tratamento. A esclerodermia pode causar pneumonite por aspiração recorrente em virtude de distúrbios esofágicos.
Doenças pulmonares intersticiais podem causar diferentes tipos de anormalidades radiológicas, incluindo infiltrado pulmonar persistente. Essas doenças podem ser idiopáticas ou estar associadas a exposições ocupacionais ou ambientais, medicamentos e doenças relacionadas ao colágeno ou vasculares.[36]Travis WD, Costabel U, Hansell DM, et al; on behalf of the ATS/ERS Committee on Idiopathic Interstitial Pneumonias. An Official American Thoracic Society/European Respiratory Society Statement: Update of the International Multidisciplinary Classification of the Idiopathic Interstitial . Am J Respir Crit Care Med 2013 Sep 15;188(6):733-48.
https://www.thoracic.org/statements/resources/interstitial-lung-disease/classification-of-IIPs.pdf
http://www.ncbi.nlm.nih.gov/pubmed/24032382?tool=bestpractice.com
[Figure caption and citation for the preceding image starts]: Etiologias e possível diagnóstico diferencial da doença pulmonar intersticialCriado no BMJ Knowledge Centre com base nas tabelas de Athanasia Pataka [Citation ends].
A pneumonia em organização também pode estar associada a doenças do tecido conjuntivo, outras pneumonias intersticiais, infecções, medicamentos ou neoplasias malignas. Pode ter um quadro clínico semelhante à da pneumonia adquirida na comunidade (ou seja, doença semelhante à gripe com febre, mal-estar, fadiga, tosse) e achados de imagem torácica semelhantes aos de infiltrados alveolares difusos bilaterais persistentes, recorrentes ou migratórios.
A hemorragia alveolar difusa pode ser causada por uma variedade de doenças (por exemplo, doenças vasculares do tecido conjuntivo, medicamentos, doença da valva mitral, infecção) e pode mimetizar uma pneumonia que persiste com opacidades difusas nos exames de imagem do tórax.[5]Orens JB, Sitrin RG, Lynch JP 3rd. The approach to nonresolving pneumonia. Med Clin North Am. 2004 Feb;52(2):224-9.
http://www.ncbi.nlm.nih.gov/pubmed/8078373?tool=bestpractice.com
[17]Gross TJ, Chavis AD, Lynch JP 3rd. Noninfectious pulmonary diseases masquerading as community-acquired pneumonia. Clin Chest Med. 1991 Jun;12(2):363-93.
http://www.ncbi.nlm.nih.gov/pubmed/1855377?tool=bestpractice.com
[18]Lynch JP 3rd, Sitrin RG. Noninfectious mimics of community acquired pneumonia. Semin Respir Infect. 1993 Mar;8(1):14-45.
http://www.ncbi.nlm.nih.gov/pubmed/8372273?tool=bestpractice.com
[37]Hochberg MC. Updating the American College of Rheumatology revised criteria for the classification of systemic lupus erythematosus. Arthritis Rheum. 1997 Sep;40(9):1725.
http://www.ncbi.nlm.nih.gov/pubmed/9324032?tool=bestpractice.com
[38]Arnett FC, Edworthy SM, Bloch DA, et al. The American Rheumatism Association 1987 revised criteria for the classification of rheumatoid arthritis. Arthritis Rheum. 1988 Mar;31(3):315-24.
http://www.ncbi.nlm.nih.gov/pubmed/3358796?tool=bestpractice.com
[39]LeRoy EC, Black C, Fleischmajer R, et al. Scleroderma (systemic sclerosis): classification, subsets, and pathogenesis. J Rheumatol. 1988 Feb;15(2):202-5.
http://www.ncbi.nlm.nih.gov/pubmed/3361530?tool=bestpractice.com
A vasculite sistêmica pode afetar o trato respiratório inferior e se apresentar com tosse, dispneia, hemoptise, opacidades alveolares persistentes, opacidades turvas difusas (que podem refletir hemorragia alveolar), nódulos cavitários e derrame pleural.[17]Gross TJ, Chavis AD, Lynch JP 3rd. Noninfectious pulmonary diseases masquerading as community-acquired pneumonia. Clin Chest Med. 1991 Jun;12(2):363-93.
http://www.ncbi.nlm.nih.gov/pubmed/1855377?tool=bestpractice.com
A granulomatose com poliangiite (conhecida anteriormente como granulomatose de Wegener) é uma vasculite sistêmica que envolve principalmente os tratos respiratórios inferior e superior e os rins. A granulomatose com poliangiite pulmonar pode se apresentar com comprometimento pulmonar multifocal ou como lesões pulmonares solitárias sem evidências de doença extrapulmonar.
A sarcoidose pode envolver qualquer órgão, mas sintomas respiratórios combinados com radiografias torácicas mostrando infiltrados pulmonares isoladamente, sem a linfadenopatia hilar bilateral característica, podem mimetizar pneumonia persistente apesar de tratamento com antibiótico.[40]Costabel U. Sarcoidosis: clinical update. Eur Respir J Suppl. 2001 Sep;32:56s-68s.
http://erj.ersjournals.com/cgi/content/full/18/32_suppl/56S
http://www.ncbi.nlm.nih.gov/pubmed/11816825?tool=bestpractice.com
Exposições ocupacionais e ambientais são importantes.[41]Infante PF, Newman LS. Beryllium exposure and chronic beryllium disease. Lancet. 2004 Feb 7;363(9407):415-6.
http://www.ncbi.nlm.nih.gov/pubmed/14962519?tool=bestpractice.com
[42]Begin R, Cantin A, Masse S. Recent advances in the pathogenesis and clinical assessment of mineral dust pneumoconioses: asbestosis, silicosis and coal pneumoconiosis. Eur Respir J. 1989 Nov;2(10):988-1001.
http://www.ncbi.nlm.nih.gov/pubmed/2691279?tool=bestpractice.com
[43]American Thoracic Society. Diagnosis and initial management of nonmalignant diseases related to asbestos. Am J Respir Crit Care Med. 2004 Sep 15;170(6):691-715.
http://www.atsjournals.org/doi/full/10.1164/rccm.200310-1436ST#.U7_nqvldVlw
http://www.ncbi.nlm.nih.gov/pubmed/15355871?tool=bestpractice.com
[44]American Thoracic Society Committee of the Scientific Assembly on Environmental and Occupational Health. Adverse effects of crystalline silica exposure. Am J Respir Crit Care Med. 1997 Feb;155(2):761-8.
http://www.ncbi.nlm.nih.gov/pubmed/9032226?tool=bestpractice.com
Os aerossóis inalados provenientes de cigarros eletrônicos podem conter substâncias nocivas ou potencialmente nocivas (por exemplo, metais pesados, partículas ultrafinas, compostos orgânicos voláteis e outros produtos químicos). Os achados radiológicos em pessoas com doença pulmonar grave associada ao uso de cigarro eletrônico incluem infiltrados pulmonares na radiografia torácica e infiltrados bilaterais com opacidade em vidro fosco na TC de tórax.[45]Schier JG, Meiman JG, Layden J, et al. Severe pulmonary disease associated with electronic-cigarette-product use - interim guidance. MMWR Morb Mortal Wkly Rep. 2019 Sep 13;68(36):787-90.
https://www.cdc.gov/mmwr/volumes/68/wr/mm6836e2.htm?s_cid=mm6836e2_w
http://www.ncbi.nlm.nih.gov/pubmed/31513561?tool=bestpractice.com
Silicose pode ser responsável por opacidades persistentes ocultas na radiografia torácica.[44]American Thoracic Society Committee of the Scientific Assembly on Environmental and Occupational Health. Adverse effects of crystalline silica exposure. Am J Respir Crit Care Med. 1997 Feb;155(2):761-8.
http://www.ncbi.nlm.nih.gov/pubmed/9032226?tool=bestpractice.com
A fibrose maciça progressiva geralmente está associada à pneumoconiose dos trabalhadores de carvão e silicose.
A asbestose pode ser responsável por infiltrado intersticial e pleural persistente ou com atelectasia redonda (aderências e fibrose pleural que causam deformação do pulmão e curvatura de alguns pequenos brônquios).[42]Begin R, Cantin A, Masse S. Recent advances in the pathogenesis and clinical assessment of mineral dust pneumoconioses: asbestosis, silicosis and coal pneumoconiosis. Eur Respir J. 1989 Nov;2(10):988-1001.
http://www.ncbi.nlm.nih.gov/pubmed/2691279?tool=bestpractice.com
[43]American Thoracic Society. Diagnosis and initial management of nonmalignant diseases related to asbestos. Am J Respir Crit Care Med. 2004 Sep 15;170(6):691-715.
http://www.atsjournals.org/doi/full/10.1164/rccm.200310-1436ST#.U7_nqvldVlw
http://www.ncbi.nlm.nih.gov/pubmed/15355871?tool=bestpractice.com
[Figure caption and citation for the preceding image starts]: Radiografia torácica anteroposterior com alterações intersticiais lineares bibasilares consistentes com asbestoseDo acervo pessoal de Kenneth D. Rosenman, MD [Citation ends].
Pneumonias eosinofílicas são um grupo heterogêneo de distúrbios caracterizados por um número anormalmente elevado de eosinófilos no interior do parênquima pulmonar (com ou sem eosinofilia sérica). Podem causar infiltrado pulmonar persistente, mas a maioria dos pacientes melhora com glicocorticoides.[46]Alberts WM. Eosinophilic interstitial lung disease. Curr Opin Pulm Med. 2004 Sep;10(5):419-24.
http://www.ncbi.nlm.nih.gov/pubmed/15316442?tool=bestpractice.com
[47]Allen JN, Magro CM, King MA. The eosinophilic pneumonias. Semin Respir Crit Care Med. 2002 Apr;23(2):127-34.
http://www.ncbi.nlm.nih.gov/pubmed/16088605?tool=bestpractice.com
[48]Loffler W. Transient lung infiltrations with blood eosinophilia. Int Arch Allergy Appl Immunol. 1956;8(1-2):54-9.
http://www.ncbi.nlm.nih.gov/pubmed/13331628?tool=bestpractice.com
[49]Solomon J, Schwarz M. Drug-, toxin-, and radiation therapy-induced eosinophilic pneumonia. Semin Respir Crit Care Med. 2006 Apr;27(2):192-7.
http://www.ncbi.nlm.nih.gov/pubmed/16612770?tool=bestpractice.com
[50]Zander DS. Allergic bronchopulmonary aspergillosis: an overview. Arch Pathol Lab Med. 2005 Jul;129(7):924-8.
http://www.archivesofpathology.org/doi/full/10.1043/1543-2165%282005%29129%5B924%3AABAAO%5D2.0.CO%3B2
http://www.ncbi.nlm.nih.gov/pubmed/15974818?tool=bestpractice.com
A pneumonia eosinofílica idiopática aguda pode se manifestar com febre aguda, tosse, dispneia e opacidades pulmonares que podem causar insuficiência respiratória. A eosinofilia periférica é rara no momento da apresentação de pneumonia eosinofílica idiopática aguda.
A síndrome de Loeffler foi primeiramente descrita em 1932 no contexto de infecção parasitária, eosinofilia sistêmica e infiltrados torácicos. Geralmente, esses pacientes apresentam clinicamente uma doença respiratória leve, com tosse não produtiva, dor torácica pleurítica, febre e (raramente) hemoptise.
Aspergilose broncopulmonar alérgica é a reação de hipersensibilidade ao fungo Aspergillus fumigatus que colonizou os brônquios.[50]Zander DS. Allergic bronchopulmonary aspergillosis: an overview. Arch Pathol Lab Med. 2005 Jul;129(7):924-8.
http://www.archivesofpathology.org/doi/full/10.1043/1543-2165%282005%29129%5B924%3AABAAO%5D2.0.CO%3B2
http://www.ncbi.nlm.nih.gov/pubmed/15974818?tool=bestpractice.com
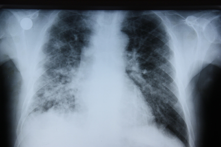
A doença afeta tipicamente pacientes com asma ou fibrose cística, mas também está associada à baixa imunidade. Sorologia para Aspergillus pode ajudar a dar suporte ao diagnóstico. A sensibilidade ao organismo no teste cutâneo de puntura também é um útil adjuvante ao diagnóstico.[Figure caption and citation for the preceding image starts]: Radiografia torácica de um paciente com pneumonia eosinofílicaDo acervo de Athanasia Pataka, MD [Citation ends].
A pneumonia por hipersensibilidade (alveolite alérgica extrínseca) pode causar infiltrado pulmonar persistente com predominância na zona média e superior se a exposição ao antígeno desencadeante continuar.[51]Lacasse Y, Selman M, Costabel U, et al. Clinical diagnosis of hypersensitivity pneumonitis. Am J Respir Crit Care Med. 2003 Oct 15;168(8):952-8.
http://www.atsjournals.org/doi/full/10.1164/rccm.200301-137OC
http://www.ncbi.nlm.nih.gov/pubmed/12842854?tool=bestpractice.com
[52]Selman M. Hypersensitivity pneumonitis: a multifaceted deceiving disorder. Clin Chest Med. 2004 Sep;25(3):531-47.
http://www.ncbi.nlm.nih.gov/pubmed/15331190?tool=bestpractice.com
[53]Silva CI, Churg A, Muller NL. Hypersensitivity pneumonitis: spectrum of high-resolution CT and pathologic findings. AJR Am J Roentgenol. 2007 Feb;188(2):334-44.
http://www.ajronline.org/doi/full/10.2214/AJR.05.1826
http://www.ncbi.nlm.nih.gov/pubmed/17242239?tool=bestpractice.com
A proteinose alveolar pulmonar é uma rara doença pulmonar resultante da diminuição da depuração do surfactante, e que se apresenta com infiltrado pulmonar persistente e dispneia.[17]Gross TJ, Chavis AD, Lynch JP 3rd. Noninfectious pulmonary diseases masquerading as community-acquired pneumonia. Clin Chest Med. 1991 Jun;12(2):363-93.
http://www.ncbi.nlm.nih.gov/pubmed/1855377?tool=bestpractice.com
[54]Shah PL, Hansell D, Lawson PR, et al. Pulmonary alveolar proteinosis: clinical aspects and current concepts on pathogenesis. Thorax. 2000 Jan;55(1):67-77.
http://www.pubmedcentral.nih.gov/picrender.fcgi?artid=1745595&blobtype=pdf
http://www.ncbi.nlm.nih.gov/pubmed/10607805?tool=bestpractice.com
[55]Seymour JF, Presneill JJ. Pulmonary alveolar proteinosis: progress in the first 44 years. Am J Respir Crit Care Med. 2002 Jul 15;166(2):215-35.
http://www.atsjournals.org/doi/full/10.1164/rccm.2109105
http://www.ncbi.nlm.nih.gov/pubmed/12119235?tool=bestpractice.com
A amiloidose infiltrante é uma causa incomum de infiltrado pulmonar persistente.
Farmacológica/iatrogênica
Alguns medicamentos (por exemplo, amiodarona, bleomicina, ciclofosfamida, vincristina, taxanos) e cocaína ou outras drogas ilícitas podem causar anormalidades pulmonares persistentes.[18]Lynch JP 3rd, Sitrin RG. Noninfectious mimics of community acquired pneumonia. Semin Respir Infect. 1993 Mar;8(1):14-45.
http://www.ncbi.nlm.nih.gov/pubmed/8372273?tool=bestpractice.com
[56]Camus P, Bonniaud P, Fanton A, et al. Drug-induced and iatrogenic infiltrative lung disease. Clin Chest Med. 2004 Sep;25(3):479-519.
http://www.ncbi.nlm.nih.gov/pubmed/15331188?tool=bestpractice.com
[57]Erasmus JJ, McAdams HP, Rossi SE. Drug-induced lung injury. Semin Roentgenol. 2002 Jan;37(1):72-81.
http://www.ncbi.nlm.nih.gov/pubmed/11987768?tool=bestpractice.com
[58]Camus P. Pneumotox online: the drug-induced respiratory disease website. Vol. 2, 2012 [internet publication].
http://www.pneumotox.com
Pacientes com neoplasias malignas submetidos a quimioterapia ou radioterapia podem apresentar infiltrado pulmonar persistente devido não apenas à neoplasia maligna, mas também a complicações do tratamento.[26]Maschmeyer G, Carratalà J, Buchheidt D, et al. Diagnosis and antimicrobial therapy of lung infiltrates in febrile neutropenic patients (allogeneic SCT excluded): updated guidelines of the Infectious Diseases Working Party (AGIHO) of the German Society of Hematology and Medical Oncology (DGHO). Ann Oncol. 2015 Jan;26(1):21-33.
https://www.ncbi.nlm.nih.gov/pmc/articles/PMC4269340
http://www.ncbi.nlm.nih.gov/pubmed/24833776?tool=bestpractice.com
[59]Carver JR, Shapiro CL, Ng A, et al. ASCO Cancer Survivorship Expert Panel. American Society of Clinical Oncology clinical evidence review on the ongoing care of adult cancer survivors: cardiac and pulmonary late effects. J Clin Oncol. 2007 Sep 1;25(25):3991-4008.
http://jco.ascopubs.org/cgi/content/full/25/25/3991
http://www.ncbi.nlm.nih.gov/pubmed/17577017?tool=bestpractice.com
[Figure caption and citation for the preceding image starts]: Tomografia computadorizada (TC) do tórax de paciente com toxicidade pulmonar por amiodarona, mostrando opacidades assimétricas com distribuição periféricaDo acervo de Athanasia Pataka, MD [Citation ends].
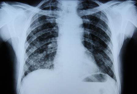
[Figure caption and citation for the preceding image starts]: Radiografia torácica de um paciente com toxicidade pulmonar por amiodaronaDo acervo de Athanasia Pataka, MD [Citation ends].
[Figure caption and citation for the preceding image starts]: Possíveis agentes causadores de doença pulmonar parenquimatosa induzida por medicamentosCriado no BMJ Knowledge Centre com base nas tabelas de Athanasia Pataka [Citation ends].