Diagnósticos diferenciais
comuns
Espondiloartropatia axial (Espondilite anquilosante [EA])
História
oligoarticular envolvendo as grandes articulações, ou envolvimento articular inflamatório poliarticular, dorsalgia inflamatória
Exame físico
sinovite, envolvimento da coluna, entesite: dactilite ou sensibilidade em inserções entésicas como inserções na fáscia plantar e no tendão de Aquiles; manifestações extra-articulares: uveíte, psoríase, ceratodermia blenorrágica, eritema nodoso
Primeira investigação
- radiografia simples da pelve:
sacroileíte
Mais
Outras investigações
- radiografias simples das articulações afetadas:
podem ser observadas erosões, periostite
- ultrassonografia:
sinovite, erosões e entesite
- HLA (antígeno leucocitário) B27:
positivos ou negativos
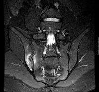
Mais - ressonância nuclear magnética (RNM) do sacro:
edema da medula óssea em uma imagem de recuperação de inversão de tau curto STIR (short-tau inversion recovery) sagital ponderada em T2
Mais
Artrite psoriática
História
problemas no couro cabeludo ou nas unhas, dor e rigidez nas articulações, dor no local da ligação do tendão, rigidez espinhal
Exame físico
artrite periférica, dactilite, redução da mobilidade da coluna cervical
Primeira investigação
- radiografias simples das mãos e dos pés:
erosão na articulação interfalangiana distal, formação de novos ossos periarticulares, osteólise, deformidade em "lápis-na-xícara" na doença avançada
- velocidade de hemossedimentação e proteína C-reativa:
normal ou elevado
- anticorpo antipeptídeo citrulinado cíclico (anti-CCP):
na maioria das vezes, negativo
Mais
Outras investigações
Artrite reativa
História
oligoarticular envolvendo as grandes articulações, ou envolvimento articular inflamatório poliarticular
Exame físico
sinovite, envolvimento da coluna, entesite: dactilite ou sensibilidade em inserções entésicas como inserções da fáscia plantar e do tendão de Aquiles; manifestações extra-articulares: uveíte, psoríase, ceratodermia blenorrágica, eritema nodoso; uretrite em homens e cervicite mucopurulenta em mulheres com artrite reativa sexualmente adquirida[89]
Primeira investigação
- radiografia simples:
sacroileíte ou entesopatia
Mais - velocidade de hemossedimentação e proteína C-reativa:
pode estar elevada
Outras investigações
- coloração de Gram do swab uretral:
≥5 LPMNs por campo microscópico de alta potência (x1000) e/ou ≥10 LPMNs por campo microscópico de alta potência (x1000)
Mais - coloração de Gram de swab de corrimento vaginal:
≥5 LPMNs por campo microscópico de alta potência (x1000) e/ou ≥10 LPMNs por campo microscópico de alta potência (x1000)
Mais - testes de amplificação nucleica:
positivos para Chlamydia trachomatis ou Neisseria gonorrhoeae
Mais
Espondiloartropatia não diferenciada
História
oligoarticular envolvendo as grandes articulações, ou envolvimento articular inflamatório poliarticular, dorsalgia inflamatória
Exame físico
sinovite, envolvimento da coluna, entesite: dactilite ou sensibilidade em inserções entésicas como inserções na fáscia plantar e no tendão de Aquiles; manifestações extra-articulares: uveíte, psoríase, ceratodermia blenorrágica, eritema nodoso
Primeira investigação
- radiografia simples da pelve:
sacroileíte
Mais
Outras investigações
- radiografias simples das articulações afetadas:
podem ser observadas erosões, periostite
- ultrassonografia:
sinovite, erosões e entesite
- ressonância nuclear magnética (RNM) do sacro:
sacroileíte
Doença de depósito de pirofosfato de cálcio (DPFC)
História
pode se apresentar em 4 padrões: artrite pseudorreumatoide, osteoartrite com sinovite, pseudogota e monoartropatia
Exame físico
sinovite, depósitos tofáceos nas superfícies extensoras e orelhas
Primeira investigação
- aspiração da articulação:
cristais desidratados de pirofosfato de cálcio
Mais
Outras investigações
- radiografias simples:
condrocalcinose
Mais - ultrassonografia musculoesquelética:
condrocalcinose
Gota
História
início agudo, <50 anos de idade, dor intensa na articulação
Exame físico
sinovite, depósitos tofáceos nas superfícies extensoras e orelhas
Primeira investigação
- aspiração da articulação:
contagem de leucócitos >2 x 10^9/L (2000/mm^3) (média: 20 x 10^9/L [20,000/mm^3]); cristais birrefringentes na forma de agulha fortemente negativos sob a luz polarizada
Mais
Polimialgia reumática
História
febre, sudorese noturna; dor e rigidez dos ombros e da cintura pélvica que ficam mais intensas de manhã e duram por muitas horas
Exame físico
sinovite palpável nos joelhos, punhos, articulações metacarpofalângicas; edema, diminuição na amplitude de movimento ativo dos ombros, do pescoço, quadris
Primeira investigação
Osteoartrite (OA)
História
dor, dificuldades funcionais, rigidez
Exame físico
envolvimento das mãos, do quadril e dos joelhos; deformidades ósseas principalmente nas mãos; sensibilidade; amplitude de movimento limitada; o desalinhamento ósseo é comum, principalmente no joelho
Primeira investigação
- diagnóstico clínico:
dor articular relacionada a atividade, rigidez matinal que dura, no máximo, 30 minutos, >45 anos de idade
Mais
Artrite reumatoide (AR)
História
queixa de dor em várias articulações e inchaço acompanhado por rigidez cedo pela manhã que dura por mais de 1 hora
Exame físico
poliartrite simétrica com envolvimento do punho e das pequenas articulações
Primeira investigação
Outras investigações
Lúpus eritematoso sistêmico (LES)
História
mulheres jovens com artralgia, erupção cutânea fotossensível, alopécia, úlceras orais, pleurisia
Exame físico
poliartrite das pequenas a médias articulações, erupção cutânea malar, úlceras do palato duro, alopécia
Primeira investigação
- Hemograma completo com diferencial:
plaquetopenia
- esfregaço de sangue periférico:
microangiopatia (na forma grave)
- fatores antinuclear, anti-dsDNA e anticorpos anti-Smith séricos:
positiva
Mais - velocidade de hemossedimentação:
elevado
Outras investigações
Artrite séptica
História
geralmente com envolvimento monoarticular agudo de articulações, febre; fatores de risco: idade >80 anos, diabetes mellitus, história de artrite reumatoide, cirurgia de articulação, prótese de quadril ou joelho, infecção cutânea e imunodeficiência
Exame físico
articulação sensível à palpação e edemaciada; raramente poliarticular
Primeira investigação
- aspirado da articulação para celularidade, coloração de Gram e cultura:
contagem de leucócitos do líquido sinovial >50 x 10^9/L (>50,000/mm^3), identificação e crescimento do organismo causador
Mais
Outras investigações
Endocardite bacteriana
História
geralmente com início insidioso; calafrios, mal-estar, perda de peso, sudorese noturna, dispneia, edema de membros inferiores, deficit hemissensitivo/motor, artralgia; história de febre reumática, tratamento dentário recente, valva protética, uso de substâncias intravenosas ou endocardite bacteriana subaguda prévia
Exame físico
novo sopro, sinais de insuficiência cardíaca congestiva ou êmbolos periféricos (hemorragias em estilhas, em lascas, nódulos de Osler, lesões de Janeway), manchas de Roth ou hemorragias retinais, déficit neurológico focal
Primeira investigação
- velocidade de hemossedimentação:
elevado
Mais - ecocardiografia transtorácica:
vegetação, insuficiência da valva cardíaca
Outras investigações
Artrite viral
História
poliartrite aguda, pode estar presente febre; infecção por parvovírus B19 presente agudamente com artralgia simétrica poliarticular sem inchaço significativo; podem haver fatores de risco para infecções específicas, história de viagem para o sudeste asiático, Caribe, América do Sul e picada de mosquito com infecção por vírus chikungunya; uma minoria das pessoas com infecção por chikungunya continua a desenvolver sintomas crônicos
Exame físico
várias articulações sensíveis à palpação sem derrame sinovial significativo; pode ser erupção cutânea: por exemplo, uma erupção cutânea morbiliforme, hiperpigmentação e lesões intertriginosas com infecção por vírus chikungunya
Primeira investigação
- sorologia para parvovírus B19:
pode ser positiva
Mais - sorologia para hepatite A, B, C:
pode ser positiva
- anticorpos antivírus da imunodeficiência humana (anti-HIV):
pode ser positiva
- sorologia para chikungunya:
pode ser positiva
Outras investigações
- reação em cadeia da polimerase para hepatite B ou C:
pode ser positiva
- Reação em cadeia da polimerase para HIV:
pode ser positiva
- reação em cadeia da polimerase para chikungunya:
pode ser positiva
Incomuns
Artrite enteropática
História
dor abdominal, diarreia, febre, fadiga, hemorragia digestiva baixa, hábito intestinal alterado, perda de apetite, perda de peso
Exame físico
inflamação das articulações, uveíte, massa ou sensibilidade abdominal, fístula retal, exame de sangue oculto nas fezes positivo
Primeira investigação
- colonoscopia:
colite ulcerativa: eritema, granularidade da mucosa, friabilidade, edema, perda de vascularidade; doença de Crohn: ulcerações com aspecto pavimentoso, reto normal
Outras investigações
- enema de bário:
colite ulcerativa: padrão reticulado difuso, microulcerações, perda de haustros, estenose luminal, pólipos; doença de Crohn: ulcerações extensas, nodularidade, estenose ileocecal, fístula
- séries gastrointestinais altas:
inflamação, anormalidades no enchimento, fístula
Sinovite simétrica remitente soronegativa com síndrome de edema depressível
História
homens >50 anos de idade, poliartrite de início agudo
Exame físico
edema depressível bilateral da mão, sinovite
Primeira investigação
- velocidade de hemossedimentação:
elevado
Outras investigações
- proteína C-reativa:
elevado
- teste de provocação com corticosteroide:
melhora dos sintomas
Mais
Sarcoidose
História
frequente em mulheres negras jovens, dispneia, tosse, uveíte, febre, fadiga, perda de peso
Exame físico
raramente com linfadenopatia cervical; caso contrário, pode ser normal
Primeira investigação
- Hemograma completo com diferencial:
plaquetopenia; a contagem de leucócitos pode estar normal ou elevada
- esfregaço de sangue periférico:
plaquetopenia; caso contrário, é normal
- radiografia torácica:
adenopatia hilar bilateral e paratraqueal direita, embora adenopatia hilar bilateral isolada seja mais frequente; infiltrados pulmonares bilaterais, predominantemente nos lobos superiores; derrames pleurais (raros) e calcificações em casca de ovo (muito raras) podem ser observados
Mais
Outras investigações
- nível sérico de enzima conversora da angiotensina (ECA):
elevado
Mais
Artrite idiopática com início na juventude ou em idade adulta
História
febres periódicas, transitórias com início rápido de rash; rash desaparece com a remissão da febre; artrite e mialgia comumente presentes
Exame físico
febre, rash macular rosa-salmão, favorece o tronco e locais de pressão; dor na articulação, inflamação comumente afetando os joelhos, tornozelos (jovens) e ossos do carpo (adultos)
Primeira investigação
Síndrome de sobreposição
História
artralgias, mialgias, erupção cutânea fotossensível, alopecia, úlceras orais, pleurisia, fadiga, olhos secos, xerostomia, perda indolor da função das mãos, pirose, refluxo e disfagia, perda de peso, inchaço de mãos e pés, dispneia, dificuldade com tarefas motoras, fadiga e mal-estar generalizado, fraqueza muscular proximal, prurido, febre
Exame físico
artrite, crepitações basais, esclerodactilia, alterações de pele esclerodermatosa, linfadenopatia[12]
Primeira investigação
- fator antinuclear (FAN) sérico:
positiva
Mais - anticorpos antirribonucleoproteína:
positiva
- Hemograma completo:
pode ser normal; anemia microcítica com sangramento gastrointestinal crônico; anemia hemolítica microangiopática com crise renal esclerodérmica
- ureia e creatinina sérica:
geralmente normais
Mais - velocidade de hemossedimentação:
geralmente normal, ocasionalmente elevada
- proteína C-reativa:
geralmente normais
- microscopia da urina:
geralmente normais
Mais - eletrocardiograma (ECG):
normal; pode mostrar envolvimento cardíaco (arritmias)
- radiografia torácica:
normal; infiltrados intersticiais bibasilares; cardiomegalia ou sinais de insuficiência cardíaca direita podem estar presentes
Síndrome de Sjögren
História
fadiga, olhos secos, xerostomia, artralgia, mialgia
Exame físico
artrite, cáries dentárias, ulceração corneana, ausência de reservas de saliva, glândulas salivares aumentadas
Primeira investigação
- teste de Schirmer:
positiva
- anti-60 kDa (síndrome de Sjögren A) Ro e anti-La (síndrome de Sjögren B):
positiva
Outras investigações
Esclerodermia
História
perda indolor da função das mãos, pirose, refluxo e disfagia, perda de peso, artralgias e mialgias, fadiga, inchaço das mãos e dos pés, dispneia
Exame físico
esclerodactilia, espessamento da pele, depressões ou úlceras digitais, fenômeno de Raynaud, capilaroscopia anormal da dobra ungueal, calcinose subcutânea
Primeira investigação
- autoanticorpos séricos:
fator antinuclear positivo em >90% dos pacientes
- Hemograma completo:
pode ser normal; anemia microcítica com sangramento gastrointestinal crônico; anemia hemolítica microangiopática com crise renal esclerodérmica
- ureia e creatinina sérica:
geralmente normal; ureia e creatinina séricas elevadas na crise renal esclerodérmica
- velocidade de hemossedimentação:
geralmente normal, ocasionalmente elevada
- proteína C-reativa:
geralmente normais
- microscopia da urina:
normal; proteinúria leve com algumas células ou cilindros ocorrem na crise renal esclerodérmica
- eletrocardiograma (ECG):
normal; pode demonstrar envolvimento cardíaco como arritmias
- radiografia torácica:
normal; evidência de doença pulmonar intersticial demonstrada por infiltrados intersticiais bibasilares; cardiomegalia ou sinais de insuficiência cardíaca direita, podem estar presentes
Outras investigações
- testes de função pulmonar (espirometria, volumes pulmonares e medição da capacidade de difusão):
doença pulmonar intersticial: diminuição da capacidade vital forçada e capacidade de difusão do monóxido de carbono (CDCO) associada a um padrão restritivo geral; hipertensão pulmonar: queda desproporcional da CDCO em comparação com a CVF
- ecocardiografia:
hipertensão pulmonar: um aumento na pressão sistólica no ventrículo direito; podem estar presentes derrame pericárdico, disfunção diastólica do ventrículo direito ou do ventrículo esquerdo
Polimiosite
História
dificuldade com tarefas motoras, fadiga e mal-estar generalizado, dispneia, perda de peso, disfagia, artralgia, mialgia
Exame físico
fraqueza muscular, atrofia muscular
Primeira investigação
- creatina quinase sérica:
elevado
- eletromiografia:
unidades polifásicas de curta duração e baixa amplitude com recrutamento precoce na atividade voluntária; atividade espontânea difusa com fibrilação e ondas tortuosas positivas em repouso
- aldolase:
elevado
- lactato desidrogenase (LDH):
elevado
- transaminases alaninas:
elevado
- mioglobina:
elevado
Outras investigações
- biópsia muscular:
infiltrados inflamatórios no endomísio, necrose muscular, atrofia, regeneração da fibra muscular
Dermatomiosite
História
fraqueza muscular proximal, prurido, fadiga e mal-estar, febre, artralgia, mialgia, dispneia, perda de peso
Exame físico
pápulas de Gottron, rash heliotrópico com ou sem edema periorbital, eritema violáceo macular; eritema periungueal, dilatação capilar da dobra ungueal, supercrescimento cuticular, mãos 'mecânicas', fotossensibilidade, poiquilodermia vascular atrófica
Primeira investigação
- creatina quinase sérica:
altos níveis
- aldolase sérica:
altos níveis
- eletromiografia:
atividade espontânea anormal (fibrilação e ondas agudas positivas) e atividade voluntária anormal (potenciais motores polifásicos de curta duração e baixa amplitude)
- fatores antinucleares:
positiva
Outras investigações
- biópsia muscular:
inflamação perivascular ou interfascicular; hiperplasia endotelial nos vasos sanguíneos intramusculares; atrofia perifascicular
- anticorpos específicos da miosite e anticorpos associados à miosite:
positiva
- biópsia de pele:
alteração vacuolar da camada basal da epiderme; ceratinócitos necróticos; dilatação vascular; infiltrado linfocítico perivascular
Vasculite sistêmica
História
artralgia, sintomas constitucionais, púrpura, púrpura, dor abdominal, úlceras cutâneas, hemoptise, cefaleia e sensibilidade no couro cabeludo
Exame físico
pulsos braquiais assimétricos, sopro, alterações visuais, hematúria, pé caído, punho caído
Primeira investigação
- velocidade de hemossedimentação:
>100 mm/hora
- proteína C-reativa:
elevado
- anticorpo anticitoplasma de neutrófilo (ANCA):
positiva
Mais - ureia e creatinina:
normal ou elevado
- urinálise:
hematúria, proteinúria, deposição de eritrócitos
- radiografia torácica:
pode ser observada condensação
Mais - eletrocardiograma (ECG):
pode ser observada a isquemia
Outras investigações
- teste da função hepática:
pode estar elevada
Mais - Hemograma completo:
podem ser observados anemia e esquistócito
- biópsia do tecido afetado:
necrose da parede vascular, necrose fibrinoide, cariorréxis e extravasamento de eritrócitos
Artrite gonocócica
História
na infecção gonocócica disseminada: joelhos, punhos, tornozelos e cotovelos são mais afetados; tenossinovite nas mãos, nos tornozelos, joelhos e pés
Exame físico
articulação sensível à palpação e edemaciada; raramente poliarticular, a dermatite pode se apresentar como uma erupção cutânea maculopapular ou vesicular
Primeira investigação
- teste de amplificação de ácido nucleico (NAAT):
positiva para Neisseria gonorrhoeae
- cultura:
cultura positiva em ágar chocolate
Mais
Outras investigações
Febre reumática
História
febre, artrite migratória, coreia de Sydenham, epistaxe, dor abdominal; o envolvimento cardíaco pode ser assintomático ou causar dor torácica, dispneia
Exame físico
inchaço nas articulações, erupções cutâneas em forma de anel ou cobra no tronco e na parte superior dos braços e pernas, nódulos na pele, atrito pericárdico, sopro
Primeira investigação
- títulos de antiestreptolisina O (ASO) ou anti-desoxirribonuclease B (anti-DNase B):
aumento ou elevação dos títulos de ASO ou anti-DNase B obtidos com pelo menos 2 semanas de intervalo. Aumento ou diminuição de quatro vezes nos títulos pode sugerir infecção recente.
- cultura faríngea:
crescimento de estreptococos do grupo A hemolíticos beta
Mais - teste molecular rápido:
positiva
Mais - teste rápido de antígeno para estreptococos do grupo A:
positiva
- eletrocardiograma (ECG):
normal ou anormalidades de condutâncias
Mais
Outras investigações
- ecocardiografia:
cardite, vegetações da valva aórtica ou mitral, ou regurgitação
Doença de Lyme
História
febre, letargia, cefaleia, mialgias, rigidez de nuca, inflamação de grandes articulações[30]
Exame físico
eritema migratório: lesão em olho de boi
Primeira investigação
- ensaio de imunofluorescência:
anticorpos contra Borrelia burgdorferi
- ensaio de imunoadsorção enzimática (ELISA):
positiva
Outras investigações
- Western blot:
positiva
Mais
Doença de Whipple
História
artralgia, febre, diarreia
Exame físico
hiperpigmentação da pele, linfadenopatia, oligo ou poliartrite
Primeira investigação
- reação em cadeia da polimerase para sangue e líquido cefalorraquidiano:
pode mostrar Tropheryma whipplei
Outras investigações
- biópsia duodenal:
presença de organismos positivos com ácido periódico de Schiff na lâmina própria do intestino delgado
Artrite tuberculosa
História
tuberculose (TB) osteoarticular: dorsalgia; dor no quadril, no joelho ou na mão; ou dor devida à osteomielite subjacente
Exame físico
diminuição dolorosa da amplitude de movimento da coluna e do quadril; inchaço sensível à palpação do joelho; dor e inchaço da mão
Primeira investigação
- esfregaço sinovial e cultura:
positivos para TB
Outras investigações
- biópsia sinovial e cultura:
positivos para TB
- radiografia simples das articulações:
lesões líticas perto das articulações com reação periosteal escassa
Mais
Artrite paraneoplásica
História
Exame físico
hepatoesplenomegalia, linfadenopatia, sinovite
Primeira investigação
- rastreamento da malignidade:
neoplasia
Outras investigações
Carcinomatose neoplásica
História
sintomas constitucionais, dor extrema, envolvimento monoarticular ou poliarticular concomitante com linfoma não Hodgkin ou leucemia aguda e crônica; sem resposta à terapia convencional
Exame físico
distribuição assimétrica, predominante afecção dos membros inferiores, sinovite, hepatoesplenomegalia, linfadenopatia
Primeira investigação
- rastreamento da malignidade:
neoplasia
Outras investigações
O uso deste conteúdo está sujeito ao nosso aviso legal





