Imagens e vídeos
IMAGENS

Avaliação da artrite soronegativa
Psoríase em placas: pernas
Do acervo de Dr. Tsu-Yi Chuang; usado com permissão
Veja esta imagem em contexto nas seguintes seções:

Avaliação da artrite soronegativa
Nódulo de Osler
Do acervo de Sanjay Sharma; usado com permissão
Veja esta imagem em contexto nas seguintes seções:

Avaliação da artrite soronegativa
Hiperemia ou eritrodermia difusa durante a fase aguda da infecção pelo vírus da chikungunya
Do acervo de Dr Fabrice Simon; usado com permissão
Veja esta imagem em contexto nas seguintes seções:

Avaliação da artrite soronegativa
Gota tofácea crônica mostrando nódulos nas estruturas periarticulares e artrite
Adaptado de BMJ Case Reports 2009 [doi:10.1136/bcr.03.2009.1668] Copyright © 2009 by the BMJ Publishing Group Ltd
Veja esta imagem em contexto nas seguintes seções:

Avaliação da artrite soronegativa
Características das espondiloartropatias
Adaptado de Kataria RK, Brent LH. Am Fam Physician. 2004;69:2853-2260 e Gladman DD. Am J Med Sci.1998;316:234-238
Veja esta imagem em contexto nas seguintes seções:

Avaliação da artrite soronegativa
Infartos cutâneos
Do acervo de Sanjay Sharma; usado com permissão
Veja esta imagem em contexto nas seguintes seções:

Avaliação da artrite soronegativa
Características diferenciadoras na poliartrite
Adaptado de Pinals R. N Engl J Med. 1994;330:769-774
Veja esta imagem em contexto nas seguintes seções:

Avaliação da artrite soronegativa
Eritema migratório
Do acervo de Dr. Cristian Speil; usado com permissão
Veja esta imagem em contexto nas seguintes seções:

Avaliação da artrite soronegativa
Polpas digitais sem úlceras
Do acervo de Maureen D. Mayes; usado com permissão
Veja esta imagem em contexto nas seguintes seções:

Avaliação da artrite soronegativa
Erupção cutânea morbiliforme difusa durante a fase aguda da infecção pelo vírus da chikungunya
Do acervo de Dr Fabrice Simon; usado com permissão
Veja esta imagem em contexto nas seguintes seções:

Avaliação da artrite soronegativa
Eritema nodoso na canela (região da tíbia) de um paciente
Do acervo de Dr. Om P. Sharma; usado com permissão
Veja esta imagem em contexto nas seguintes seções:

Avaliação da artrite soronegativa
Manchas eritematosas maculares (pápulas de Gottron) nos dedos dos pés com cutículas distróficas
Adaptado de BMJ Case Reports 2009 [doi:10.1136/bcr.06.2009.2027] Copyright © 2009 by the BMJ Publishing Group Ltd
Veja esta imagem em contexto nas seguintes seções:

Avaliação da artrite soronegativa
Radiografia do joelho com depósitos calcificados lineares de calcificação da cartilagem
Do acervo de Dra. Ann K. Rosenthal, MD; usado com permissão
Veja esta imagem em contexto nas seguintes seções:

Avaliação da artrite soronegativa
Mão demonstrando esclerodactilia em flexão, pele brilhante dos dedos e telangiectasias
Do acervo de Maureen D. Mayes; usado com permissão
Veja esta imagem em contexto nas seguintes seções:

Avaliação da artrite soronegativa
Imagem de cristais de pirofosfato de cálcio intracelulares sob microscopia óptica polarizante compensada
Do acervo de Dra. Ann K. Rosenthal, MD; usado com permissão
Veja esta imagem em contexto nas seguintes seções:

Avaliação da artrite soronegativa
Artrite gonocócica da mão, que provocou inchaço de mão e punho
CDC/ Susan Lindsley; VD; usada com permissão
Veja esta imagem em contexto nas seguintes seções:

Avaliação da artrite soronegativa
Radiografia simples mostrando sacroileíte em um paciente com espondilite anquilosante
BMJ 2006;333:581-585. Copyright@2009 by the BMJ Publishing Group
Veja esta imagem em contexto nas seguintes seções:

Avaliação da artrite soronegativa
Ceratodermia blenorrágica em um paciente com artrite reativa
Imagem fornecida pela CDC Public Health Image Library
Veja esta imagem em contexto nas seguintes seções:

Avaliação da artrite soronegativa
Radiografia de punho de paciente com artrite crônica por pirofosfato de cálcio, mostrando alterações degenerativas graves
Do acervo de Dra. Ann K. Rosenthal, MD; usado com permissão
Veja esta imagem em contexto nas seguintes seções:

Avaliação da artrite soronegativa
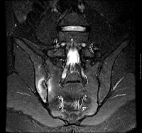
Imagem de ressonância magnética coronal de recuperação de inversão de tau curto STIR (short tau inversion recovery) mostrando sacroileíte unilateral (à direita)
BMJ 2006 Sep 16;333(7568):581-5. © BMJ Publishing Group Ltd 2009
Veja esta imagem em contexto nas seguintes seções:

Avaliação da artrite soronegativa
"Bochechas esbofeteadas" eritematosas típicas de eritema infeccioso
Do acervo de Gary A. Dyer, MD; usado com permissão
Veja esta imagem em contexto nas seguintes seções:

Avaliação da artrite soronegativa
Artrite psoriática
Do acervo de Dr. Tsu-Yi Chuang; usado com permissão
Veja esta imagem em contexto nas seguintes seções:

Avaliação da artrite soronegativa
Mãos demonstrando o fenômeno de Raynaud
Do acervo de Maureen D. Mayes; usado com permissão
Veja esta imagem em contexto nas seguintes seções:

Avaliação da artrite soronegativa
Erupção eritematosa reticular, de aspecto rendilhado, de eritema infeccioso em membro superior
Do acervo de Gary A. Dyer, MD; usado com permissão
Veja esta imagem em contexto nas seguintes seções:

Avaliação da artrite soronegativa
Lesões de Janeway
Do acervo de Sanjay Sharma; usado com permissão
Veja esta imagem em contexto nas seguintes seções:

Avaliação da artrite soronegativa
Adenopatia hilar bilateral
Do acervo de Muthiah P. Muthiah, MD, FCCP; usado com permissão
Veja esta imagem em contexto nas seguintes seções:

Avaliação da artrite soronegativa
Esclerodactilia de estágio tardio com contraturas decorrentes do enrijecimento grave da pele
Do acervo de Maureen D. Mayes; usado com permissão
Veja esta imagem em contexto nas seguintes seções:
O uso deste conteúdo está sujeito ao nosso aviso legal