Etiologia
A formação de cistos poplíteos foi atribuída à patologia subjacente do joelho, incluindo trauma, artrite e infecção (artrite séptica). Essas etiologias resultam no desenvolvimento de derrame articular no joelho, causando a formação do cisto poplíteo.
A lesão do menisco medial, as lesões condrais e as rupturas do ligamento cruzado anterior são as causas traumáticas mais comumente relatadas.[5][10] Noventa e quatro por cento dos cistos poplíteos estudados foram associados a lesões intra-articulares.[5] A ruptura de menisco pode ser a lesão intra-articular mais comum: em um estudo, foi identificada em 170 de 238 joelhos (71%) com um cisto poplíteo.[10] Um relatório subsequente observou uma correlação mais forte com lesões condrais.[11]
As causas artríticas associadas aos cistos poplíteos incluem artrite reumatoide e osteoartrite.[6][7] Em 99 pacientes consecutivos não selecionados com artrite reumatoide que foram submetidos à avaliação clínica e laboratorial com radiografias do joelho e ultrassonografia de ambos os joelhos, um cisto poplíteo foi detectado em 47 pacientes (47.5%).[6] Foi encontrada uma correlação estatisticamente significativa entre a presença de um cisto poplíteo e o envolvimento clínico e radiológico do joelho pela artrite reumatoide.
A infecção da articulação com tuberculose, coccidioidomicose, candidíase ou brucelose pode se apresentar com um cisto poplíteo.[12][13][14][15] Essas infecções articulares resultam em sinovite e aumento das pressões intra-articulares.
Outra causa de cisto poplíteo é a sinovite vilonodular pigmentada.[16]
Fisiopatologia
A membrana sinovial reveste as articulações intra-articulares. Ela é constituída de uma matriz intersticial fibrilar contendo células sinoviais. Uma rica malha de microvasos fenestrados na cápsula sinovial produz o líquido sinovial. O líquido sinovial é formado continuamente a partir de um gradiente osmótico fisiológico entre a microvasculatura sinovial e o espaço intra-articular.[17]
Patologias do joelho, como trauma, artrite ou infecção, podem resultar no aumento de volume e da pressão do líquido sinovial.[17][18] Derrames se desenvolvem quando a absorção do líquido sinovial sofre um atraso em relação à filtração microvascular. A pressão intra-articular aumenta significativamente durante a extensão do joelho e isso pode explicar por que a dor frequentemente ocorre nessa posição. Embora muitos relatos tenham sugerido uma fraqueza inerente na cápsula posterior, nenhum dado apoia essa hipótese.[Figure caption and citation for the preceding image starts]: Sinovite dentro do cistoDo acervo do Dr John D. Kelly IV; usado com permissão [Citation ends].
Um estudo demonstrou que os cistos poplíteos se desenvolvem por falta de um suporte anatômico externo.[1] Essa área é encontrada entre as duas expansões do músculo semimembranoso e do gastrocnêmio medial.[Figure caption and citation for the preceding image starts]: RNM mostrando cisto no intervalo do gastrocnêmio medial e semimembranosoDo acervo do Dr John D. Kelly IV; usado com permissão [Citation ends].
[Figure caption and citation for the preceding image starts]: Intervalo do gastrocnêmio medial e semimembranoso visto com artroscópioDo acervo do Dr John D. Kelly IV; usado com permissão [Citation ends].
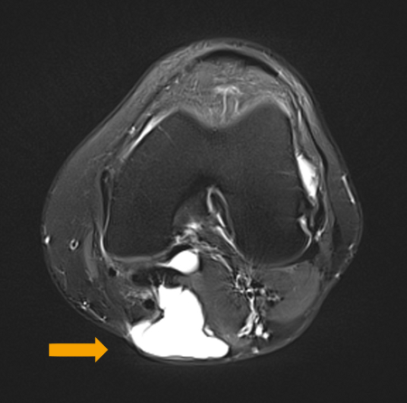
O corno posterior do menisco medial é a única estrutura de reforço nesse local. A degeneração do menisco medial, junto com as condições em que a pressão intra-articular aumenta, faz a cápsula fraca formar uma protuberância, dando origem a um cisto poplíteo na fossa poplítea póstero-medial.[1][Figure caption and citation for the preceding image starts]: Ressonância nuclear magnética (RNM) pré-operatória ponderada em T2 mostrando coleção de fluidos posterior em comunicação com a articulação medial posterior em um paciente com um cisto poplíteo secundário à sinovite vilonodular pigmentadaAdaptado de Tosti R, Kelly JD 4th. A sinovite vilonodular pigmentada apresentando-se como um cisto de Baker. Am J Orthop (Belle Mead NJ). 2011;40:528-531; usado com permissão [Citation ends].
[Figure caption and citation for the preceding image starts]: Músculos ao redor da fossa poplítea (vista do aspecto posterior do joelho direito)Adaptado do BMJ Evidence Centre from Gray's Anatomy [Citation ends].
O uso deste conteúdo está sujeito ao nosso aviso legal