გართულებები
დაწყლულება, ჰემორაგია ან იშვიათად, პერფორაცია შეიძლება განვითარდეს GORD-ის მქონე პაციენტებში.[124]
GORD-ის დროს, საყლაპავის დაზიანების მორჩენა (შეხორცება) გულისხმობს კოლაგენის დეპოზიციას. იკუმშება დისტალური საყლაპავი, რაც იწვევს სტრიქტურის ჩამოყალიბებას.
ხშირად დაკავშირებულია მყარი საკვების მიღებისას დისფაგიასთან.[37]
ყველაზე მაღალი რისკი აღინიშნება თეთრკანიან მამაკაცებში, >50 წელზე ზემოთ; რისკი იზრდება მოწევის ანამნეზის ან დიაფრაგმის თიაქრის არსებობის შემთხვევაში.
თუმცა, ლოს ანჯელესის C ან D ხარისხის ეზოფაგიტის მქონე პაციენტთა დაახლოებით 6%-ს ეზოფაგიტის მორჩენის შემდეგ აღენიშნება ბარეტის საყლაპავის განვითარება (ან ვლინდება მანამდე არსებული დაავადება).
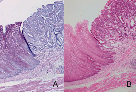
სიმპტომების სიხშირისა და სიმძიმის ბარეტის საყლაპავის განვითარებასთან, ეზოფაგიტის მძიმე ფორმასთან და სხვა გართულებების განვითარების ალბათობასთან კორელაციის შესახებ მტკიცებულება არაერთგვაროვანია.[Figure caption and citation for the preceding image starts]: ბარეტის სეგმენტი, ამოფენილია კუჭის ტიპის ეპითელით, ნაწლავური ეპითელიუმის უჯრედების ფორმით მეტაპლაზიის გარეშე (გადიდება X 100). (A) მუცინის შეღებვა ალსიან-ლურჯის - პერიოდული შიფის მჟავას გამოყენებით, ვლინდება ნეიტრალური, მეწამული ფერი (მჟავას ეპითელის ტიპის მუცინი); (B) H&E შეღებვით ვლინდება ბარეტის საყლაპავის სეგმენტი, რომელიც ამოფენილია კუჭის ტიპის ეპითელით, ნაწლავური მეტაპლაზიის გარეშე, თუმცა მაღალი ხარისხის დისპლაზიითLieberman ELB, Lao-Sirieix P, Saeed I, et al. ბარეტის საყლაპავის განმარტება და მართვა: მოხსენება შემთხვევის შესახებ, ლიტერატურის მიმოხილვა და სამომავლო რეკომენდაციები. BMJ Case Reports. 2009; doi:10.1136/bcr.07.2008.0450 [Citation ends].
იშვიათი გართულებაა, მაგრამ პროგნოზი ცუდია.
ადენოკარცინომის განვითარების რისკი იმატებს წელიწადში 0.5%-ით, ბარეტის საყლაპავის ფონზე.[Figure caption and citation for the preceding image starts]: კუჭ-ნაწლავის ტრაქტის ზედა ნაწილის ენდოსკოპია; ვლინდება საყლაპავის კარცინომასთან დაკავშირებული ფისტულა (ისარი)Wang S-C, Tseng J-C, Lee R-M, et al. ფისტულა საყლაპავსა და ტრაქეას შორის, საყლაპავის ბრტყელუჯრედოვანი კარცინომის მქონე პაციენტში. BMJ Case Reports. 2009; doi:10.1136/bcr.09.2008.0865 [Citation ends].
ამ მასალის გამოყენება ექვემდებარება ჩვენს განცხადებას