Imágenes y vídeos
Imágenes

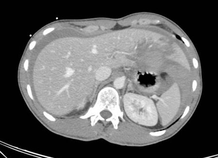
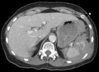
Evaluación de traumatismo abdominal en adultos
Exploración por TC que muestra laceración hepática
Colección del MetroHealth Medical Center
Ver esta imagen en el contexto de la/s siguiente/s sección/es:

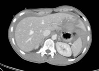
Evaluación de traumatismo abdominal en adultos
Exploración por TC que muestra líquido intraperitoneal
Colección del MetroHealth Medical Center
Ver esta imagen en el contexto de la/s siguiente/s sección/es:

Evaluación de traumatismo abdominal en adultos
Vista laparoscópica de lesión diafragmática
Colección del MetroHealth Medical Center
Ver esta imagen en el contexto de la/s siguiente/s sección/es:

Evaluación de traumatismo abdominal en adultos
Reparación laparoscópica del diafragma
Colección del MetroHealth Medical Center
Ver esta imagen en el contexto de la/s siguiente/s sección/es:

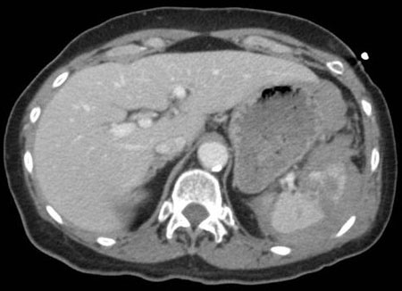
Evaluación de traumatismo abdominal en adultos
Exploración por TC que muestra laceración esplénica
Colección del MetroHealth Medical Center
Ver esta imagen en el contexto de la/s siguiente/s sección/es:
El uso de este contenido está sujeto a nuestra cláusula de exención de responsabilidad