Imágenes y vídeos
Imágenes

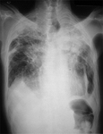
Neumoconiosis
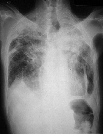
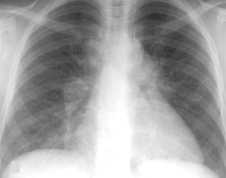
RT de fibrosis masiva progresiva debido a exposición a la sílice o al carbón
De la colección personal de Kenneth D. Rosenman, Michigan State University
Ver esta imagen en el contexto de la/s siguiente/s sección/es:

Neumoconiosis
Manos que demuestran el fenómeno de Raynaud
De la colección de Maureen D. Mayes, University of Texas
Ver esta imagen en el contexto de la/s siguiente/s sección/es:

Neumoconiosis
RT de enfermedad crónica por berilio
De la colección personal de Kenneth D. Rosenman, Michigan State University
Ver esta imagen en el contexto de la/s siguiente/s sección/es:

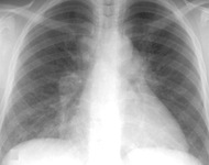
Neumoconiosis
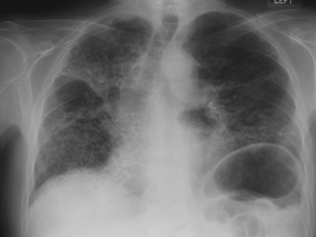
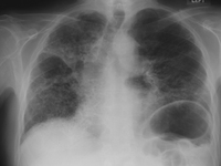
RT de asbestosis
De la colección personal de Kenneth D. Rosenman, Michigan State University
Ver esta imagen en el contexto de la/s siguiente/s sección/es:

Neumoconiosis
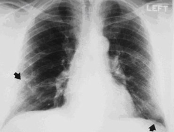
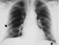
RT que demuestra engrosamiento pleural (se indica con las flechas)
De la colección personal de Kenneth D. Rosenman, Michigan State University
Ver esta imagen en el contexto de la/s siguiente/s sección/es:

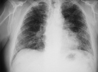
Neumoconiosis
Sarcoidosis: RT que demuestra linfadenopatía hiliar bilateral más infiltrados pulmonares
Adaptado de BMJ (2009); utilizado con autorización
Ver esta imagen en el contexto de la/s siguiente/s sección/es:

Neumoconiosis
Dedos que demuestran esclerodactilia con dedos doblados, piel brillante en los dedos y telangiectasias
De la colección de Maureen D. Mayes, University of Texas
Ver esta imagen en el contexto de la/s siguiente/s sección/es:

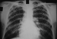
Neumoconiosis
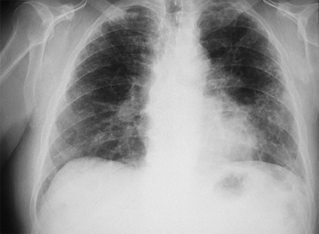
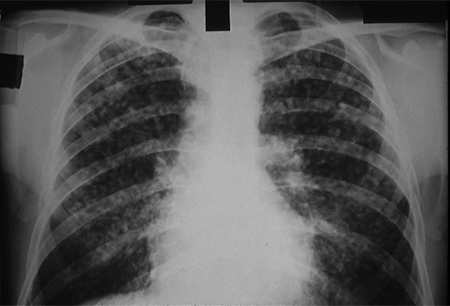
RT que muestra los cambios congruentes con silicosis simple o neumoconiosis de los trabajadores del carbón
De la colección personal de Kenneth D. Rosenman, Michigan State University
Ver esta imagen en el contexto de la/s siguiente/s sección/es:
El uso de este contenido está sujeto a nuestra cláusula de exención de responsabilidad