Imágenes y vídeos
Imágenes

Enfermedades hereditarias frecuentes de depósito lisosomal
Lesiones cutáneas en la enfermedad de Fabry: (A) palmas de las manos, (B) labios, (C) mucosa labial
Orteu CH, Jansen T, Lidove O, et al. Fabry disease and the skin: datos de FOS, the Fabry Outcome Survey. Br J Dermatol. Agosto 2007;157(2):331-7; usado con autorización
Ver esta imagen en el contexto de la/s siguiente/s sección/es:

Enfermedades hereditarias frecuentes de depósito lisosomal
Resonancia magnética del esqueleto en la enfermedad de Gaucher tipo 1 que muestra una deposición generalizada de sustrato en el esqueleto con necrosis asociada e infarto óseo. Se ha producido necrosis en la cabeza del fémur (flecha)
De la colección personal del Profesor Atul B. Mehta
Ver esta imagen en el contexto de la/s siguiente/s sección/es:

Enfermedades hereditarias frecuentes de depósito lisosomal
Imagen de microscopio electrónico de una biopsia de células epiteliales pulmonares en la enfermedad de Fabry que muestra los depósitos de sustrato característicos en los lisosomas, que forman "cuerpos de cebra": (A) ampliación x8000, (B) ampliación x62,500
Kelly MM, Leigh R, McKenzie R, et al. Induced sputum examination: diagnosis of pulmonary involvement in Fabry's disease. Thorax. Agosto 2000; 55 (8): 720-1; usado con autorización
Ver esta imagen en el contexto de la/s siguiente/s sección/es:

Enfermedades hereditarias frecuentes de depósito lisosomal
Lesiones cutáneas en la enfermedad de Fabry: (A) fosa lumbar, (B) genitales, (C) ombligo, (D) zona lumbar, (E) dedos de los pies
Orteu CH, Jansen T, Lidove O, et al. Fabry disease and the skin: datos de FOS, the Fabry Outcome Survey. Br J Dermatol. Agosto 2007;157(2):331-7; usado con autorización
Ver esta imagen en el contexto de la/s siguiente/s sección/es:

Enfermedades hereditarias frecuentes de depósito lisosomal
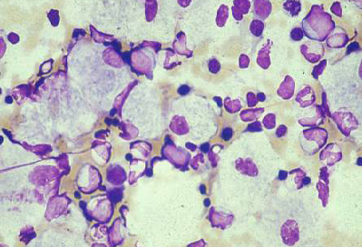
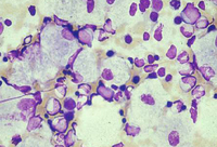
Aspirado de médula ósea que muestra una célula de Gaucher típica. Se trata de un macrófago que ha ingerido material celular; el sustrato sin degradar (glucosilceramida) se acumula en los lisosomas
De la colección personal del Profesor Atul B. Mehta
Ver esta imagen en el contexto de la/s siguiente/s sección/es:
El uso de este contenido está sujeto a nuestra cláusula de exención de responsabilidad