Images and videos
Images

Patent foramen ovale
Transesophageal echo with color flow Doppler showing presence of PFO
From the collection of Kul Aggarwal, MD
See this image in context in the following section/s:

Patent foramen ovale
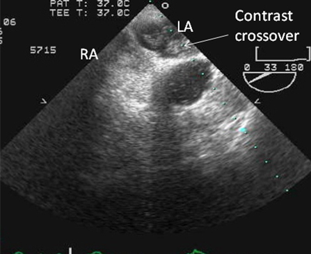
Transesophageal echo with intravenous injection of agitated saline showing contrast crossing through PFO into left atrium
From the collection of Kul Aggarwal, MD
See this image in context in the following section/s:

Patent foramen ovale
Intracardiac echo showing a catheter placed across the PFO into the left atrium
From the collection of Kul Aggarwal, MD
See this image in context in the following section/s:

Patent foramen ovale
Transesophageal echo showing a 2D image of the interatrial septum with location of the PFO
From the collection of Kul Aggarwal, MD
See this image in context in the following section/s:
Use of this content is subject to our disclaimer