Images and videos
Images

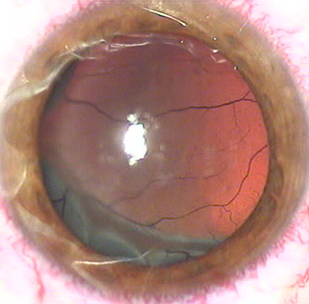
Retinal detachment
Tractional retinal detachment in a patient with diabetes
From the collection of Dr F. Kuhn and Dr R. Morris, with permission
See this image in context in the following section/s:

Retinal detachment
Retinal detachment approaching the macula, showing typical, full-thickness folds
From the collection of Dr F. Kuhn and Dr R. Morris, with permission
See this image in context in the following section/s:

Retinal detachment
Uveitis-related serous retinal detachment
From the collection of Dr F. Kuhn and Dr R. Morris, with permission
See this image in context in the following section/s:
Use of this content is subject to our disclaimer