Investigations
1st investigations to order
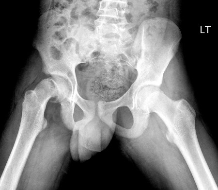
bilateral antero-posterior x-rays
Test
Plain x-rays should be ordered for all patients with suspected SCFE. On the antero-posterior view, Klein's line, which is drawn along the superior aspect of the femoral neck, normally intersects some part of the femoral head in a healthy hip.[Figure caption and citation for the preceding image starts]: Klein lines are drawn along the superior cortex of the femoral neck. A normal Klein line will intersect the epiphysis. An abnormal Klein line does not intersect the epiphysis, as the femoral neck has moved proximally and anteriorly relative to the epiphysisImage courtesy of John M. Flynn, MD [Citation ends].
Other radiographical findings may include widening of the physis on the affected side, loss of the overlap of the metaphysis of the proximal femur (Capener’s sign), or increased sclerosis of the proximal metaphysis on the AP view, where the slipped epiphysis overlies the metaphysis as a double shadow (blanch sign of Steel).[33][34]
Result
Klein's line does not intersect the femoral head; may show widening of physis, loss of Capener’s sign, or positive blanch sign of Steel
frog-leg lateral x-rays
Test
The frog-leg lateral view is more sensitive than antero-posterior x-rays for detection of an early slip.[36] Klein's line in this view may be similar to that in anteroposterior radiographs. The physis will also be blurred or widened (Bloomberg's sign).[Figure caption and citation for the preceding image starts]: Unstable SCFE of the right hip. Frog-leg lateral preoperative x-rayImage courtesy of John M. Flynn, MD [Citation ends].
Result
Klein's line does not intersect the femoral head; Bloomberg's sign positive
Investigations to consider
metabolic panel
Test
Results may reflect a pattern of renal osteodystrophy
Result
creatinine may be elevated
serum thyroid function tests
Test
Hypothyroidism is an endocrine disorder associated with SCFE.
Result
TSH may be elevated
serum growth hormone
Test
May indicate growth hormone deficiency.
Result
may be low
Use of this content is subject to our disclaimer