Images and videos
Images

Retinitis pigmentosa
Bone spicules
From the Oregon Retinal Degeneration Center collection
See this image in context in the following section/s:

Retinitis pigmentosa
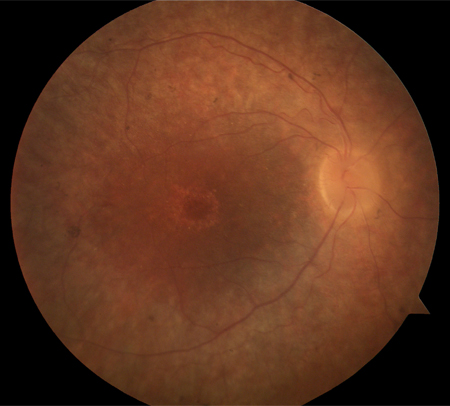
Waxy pallor and vascular attenuation
From the Oregon Retinal Degeneration Center collection
See this image in context in the following section/s:

Retinitis pigmentosa
Retinitis pigmentosa
From the Oregon Retinal Degeneration Center collection
See this image in context in the following section/s:

Retinitis pigmentosa
Sector RP
From the Oregon Retinal Degeneration Center collection
See this image in context in the following section/s:

Retinitis pigmentosa
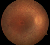
Bull's-eye appearance in RP
From the Oregon Retinal Degeneration Center collection
See this image in context in the following section/s:
Use of this content is subject to our disclaimer