Подход
ОТН может наблюдаться во всех медицинских учреждениях, но чаще в больнице.[5] Заболевание часто протекает бессимптомно и диагностируется только с помощью лабораторных исследований. В анамнезе обычно имеются указания на гипотонию, гиповолемию или воздействие нефротоксических факторов. В анамнезе обычно имеются указания на гипотонию, гиповолемию или воздействие нефротоксических факторов. Данные анамнеза, позволяющие предположить заболевание, и результаты физического обследования, подтвержденные анализами крови, мочи и ультразвуковым исследованием почек, подтверждают диагноз.
Анамнез
ОТН чаще развивается у пациентов со сниженной почечной перфузией (например, в результате трансплантации почки, операции на почке или тромбозе почечной артерии), фоновым заболеванием почек (например, миеломной болезни), сахарным диабетом или ранее существовавшей гиповолемией. Чрезмерная дегидратация (вследствие кровотечения, ожогов, потерь через желудочно-кишечный тракт или усиленного потоотделения) может проявляться симптомами гиповолемии, в том числе жаждой. У них также могут наблюдаться ограничение способности к пероральному приему пищи и жидкости, общее недомогание и анорексия. В анамнезе есть указания на сепсис или панкреатит. ОТН может развиться вследствие кровопотери, передозировки лекарственных средств, операции, остановки сердца или других состояний, сопровождающихся гипотонией и длительной почечной ишемией. Ортопноэ и пароксизмальная ночная одышка могут наблюдаться при выраженной сердечной недостаточности, приводящей к снижению почечной перфузии.
У пациентов в анамнезе есть указания на введение рентгенконтрастных средств или нефротоксических препаратов (например, аминогликозидов, амфотерицина-B, нестероидных противовоспалительных препаратов или химиотерапевтических препаратов [например, цисплатина]). У них в анамнезе может быть мышечная травма, подагра или синдром лизиса опухоли.
Физикальное обследование
Результаты физического обследования могут быть в пределах нормы, поскольку состояние часто протекает бессимптомно и диагностируется только с помощью лабораторных исследований. Подозрение на заболевание возникает при увеличении концентрации креатинина в сыворотке выше 26,5 мкмоль/л/сут (0,3 мг/дл/сут) в течение 48 часов после случая гипотонии или воздействия нефротоксического фактора. У пациентов с дегидратацией, сепсисом или панкреатитом могут наблюдаться гипотензия, тахикардия, олигурия или анурия вместе с другими признаками сосудистой недостаточности (например, отеки). Длительное течение ОТН также может привести к кровотечению вследствие дисфункциональных тромбоцитов.
Первичные лабораторные исследования
Первоначальное клиническое обследование должно охватывать базовый биохимический анализах крови (в том числе мочевину и креатинин), биохимию мочи (фракционную экскрецию натрия и мочевины, осмоляльность), общий анализ мочи и полный анализ крови.
Биохимические показатели сыворотки
Повышенные уровни мочевины и креатинина являются индикаторами ОТН; однако они не являются чувствительными маркерами скорости клубочковой фильтрации (СКФ) и могут зависеть от уровня питания, мышечной массы, использования стероидов либо же наличия желудочно-кишечного кровотечения. Увеличение концентрации креатинина может быть обусловлено другими причинами, не связанными с почками, такими как рабдомиолиз.[5] Креатинин также является поздним маркером травмы; повышение уровня креатинина в сыворотке крови происходит через 48–72 часа после события. Уровни мочевины и креатинина становятся аномальными, когда СКФ снижается более чем на 50%. При ОТН отношение мочевина:креатинин обычно составляет 10:1. В преренальной ситуации реабсорбция мочевины в проксимальных канальцах увеличивается; следовательно, соотношение увеличивается с 10:1 до 20:1 и выше.[2]
Высокий уровень калия в сыворотке и метаболический ацидоз свидетельствует об ОТН. Гиперкалиемия наиболее выражена у пациентов при избыточном эндогенном образовании калия, например, при рабдомиолизе, гемолизе и синдроме лизиса опухоли.
Измерение уровня креатинкиназы и свободного миоглобина используют для выявления возможного рабдомиолиза. Риск острого поражения почек (ОПП), связанного с рабдомиолизом, обычно низок, когда уровень креатинкиназы составляет менее 15 000–20 000 ед./л. Однако он может проявляться при низких уровнях креатинкиназы (всего 5000 ед./л) при наличии других сопутствующих состояний, таких как сепсис, обезвоживание либо ацидоз.[26]
Исследование мочи
Анализ осадка мочи может быть полезным для дифференциации ОТН от других состояний, например, преренальных состояний. Чисто преренальная причина ОПП приводит к образованию осадка, характеризующегося гиалиновыми цилиндрами, тогда как при ОТН осадок может иметь пигментированные, грязно-коричневые зернистые цилиндры, что указывает на наличие повреждения канальцев и некроза. Чем больше количество цилиндров, тем тяжелее ОПП, выше вероятность необходимости диализной терапии и выше уровень смертности.[27]
Обнаружение пигмента гема в осадке мочи при отсутствии эритроцитов свидетельствует об ОТН вследствие гемолиза или рабдомиолиза.
Кристаллы мочевой кислоты в моче не подтверждают диагноз мочекислой нефропатии, поскольку они могут наблюдаться в образцах здоровых пациентов. Однако мочесолевой диатез может наблюдаться у пациентов с рабдомиолизом или же лимфопролиферативными расстройствами, осложненным синдромом лизиса опухоли.[27] Кристаллы сульфадиазина или метотрексата также могут выпадать в осадок в моче, если эти лекарственные препараты повреждают почки.
Показатели анализа мочи
Дисфункция канальцев приводит к увеличению концентрации натрия в моче, поскольку поврежденные канальцы не могут увеличить реабсорбцию воды, натрия и мочевины.[5]
Нарушение концентрационной способности мочи характеризуется снижением осмоляльности мочи.[5] Это позволяет отдифференцировать преренальную азотемию (при которой реабсорбционная и концентрационная способности почки сохраняются или усиливаются) и ОТН (при котором эти функции нарушены).
Фракционная экскреция натрия (FENa) более 2% подтверждает диагноз ОТН.[5] Дисфункция канальцев приводит к увеличению фракционной экскреции натрия. Тем не менее, фракционная экскреция натрия (ФЭН) более 2% также ожидаема в случае применения диуретиков, хронической болезни почек (ХБП), после внутривенной инфузионной терапии, а также при глюкозурии либо же бикарбонатурии. Напротив, в некоторых случаях ОТН, таких как гемолиз, рабдомиолиз или контраст-индуцированный ОТН, FENa может быть <1%.[28] ФЭН рассчитывают следующим образом: (натрий мочи × креатинин плазмы)/(натрий плазмы × креатинин мочи) × 100%.
Фракционная экскреция мочевины (ФЭМ) может быть более надежным показателем в случаях применения диуретиков или ХБП. При ОТН ожидают ФЭМ более 35%.[29] Рассчитывается следующим образом: (мочевина мочи × креатинин плазмы)/(мочевина плазмы × креатинин мочи) × 100%.
Повышенные уровни миоглобина в моче являются признаком ОТН в результате рабдомиолиза.
Анализы крови
Не следует ожидать анемии в каждом случае ОТН, если это не оправдано предрасполагающей причиной. Анемия ожидается при множественной миеломе, кровопотере, гемолизе или перенесенной ХБП.
Затяжное течение ОТН также может привести к кровотечению вследствие дисфункциональных тромбоцитов. Имеются доказательные данные хорошего качества, подтверждающие теорию, что нарушение функции тромбоцитов является одним из главных определяющих факторов уремического кровотечения. Это нарушение является многофакторным и включает дефекты собственно тромбоцитов, а также нарушение взаимодействия тромбоцитов с эндотелием. Уремические токсины и анемия также играют определенную роль.
Последующие исследования
Газы артериальной крови (ГАК) измеряются для подтверждения метаболического ацидоза.
При подозреваемой или подтвержденной лабораторными исследованиями гиперкалиемии выполняют ЭКГ. Могут наблюдаться аритмии при наличии гиперкалиемии. При тяжелой гиперкалиемии может наблюдаться атриовентрикулярная блокада.
Ультразвуковое исследование почек оценивает пост-обструктивные причины, а также архитектуру и размер почек. Это исследование также целесообразно для диагностики фоновой ХБП.
Измерение диаметра нижней полой вены (НПВ) также можно использовать для оценивания степени обезвоживания или дегидратации. В случае измерения на расстоянии 3 см от правого предсердия нормальный диаметр НПВ составляет 1,5–2,5 см. Обезвоживание определяется при диаметре НПВ <1,5 см, тогда как диаметр НПВ >2,5 см предполагает перегрузку объема.[30]
Ультразвуковое исследование почек назначают с целью обследования пост-обструктивных причин, а также архитектуры и размеров почек. Данное исследование также целесообразно для диагностики фоновой хронической болезни почек.
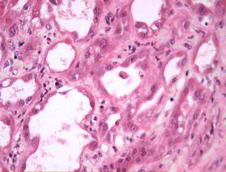
Биопсию проводят только при наличии данных анамнеза, клинических признаков и результатов лабораторных и рентгенологических исследований, указывающих на первичную болезнь почек, не связанную с ишемическим или токсическим ОТН.[5] После установления диагноза ОТН биопсию также могут использовать для определения прогноза почек (степени тубулоинтерстициального фиброза и/или гломерулосклероза). При гистологическом исследовании ОТН выявляют обнаженные базальные мембраны и клетки в просвете канальцев, очаги вакуолизации, а также уплощения проксимальных канальцев, дилатацию канальцев и фрагменты щеточной каемки, присутствующие в просвете канальцев. [Figure caption and citation for the preceding image starts]: Обнаженные базальные мембраны и клетки в просвете канальцевФото из личного архива Puigvert Foundation, Барселона, Испания [Citation ends].
[Figure caption and citation for the preceding image starts]: Очаги вакуолизации и уплощения проксимальных канальцев. Дилатация канальцев. Фрагменты щеточной каёмки в просвете некоторых канальцевФото из личного архива Puigvert Foundation, Барселона, Испания [Citation ends].
Различные новые биомаркеры в сыворотке и моче эффективны в качестве индикаторов для диагностики, классификации и прогноза ОПП. Они потенциально могут различать преренальную азотемию и острое поражение канальцев.[31][32] Доказано, что молекула повреждения почек-1 (KIM-1) является хорошим ранним биомаркером ишемического ОТН.[33][34] К другим биомаркерам относят липокалин, ассоциированный с желатиназой нейтрофилов (NGAL) и интерлейкин-18 (IL-18).[35][36] Тканевый ингибитор металлопротеиназы-2 (TIMP-2) и белок 7, связывающий инсулиноподобный фактор роста (IGFBP7), являются биомаркерами остановки клеточного цикла в фазе G1. Было обнаружено, что они эффективны в прогнозировании необходимости заместительной почечной терапии и смертности у пациентов с высоким риском ОПП.[37] К сожалению, эти биомаркеры все еще проходят исследования и еще не получили широкого внедрения в клиническую практику.[38]
Использование этого контента попадает под действие нашего заявления об отказе от ответственности