Изображения и видео
Изображения

Обструкция нижних дыхательных путей
Стеноз дыхательных путей на фоне гранулематоза с полиангиитом (ранее именуемого гранулематозом Вегенера)
Из коллекций Хосе Фернандо Сантакруза, дипломированного врача, члена Американской коллегии специалистов в области торакальной медицины, DAABIP, и Эрика Фолка, дипломированного врача, магистра наук; используется с разрешения
Ознакомьтесь с этим изображением в рамках следующего раздела (разделов):

Обструкция нижних дыхательных путей
Динамическая (подвижная или изменчивая) интраторакальная обструкция верхних дыхательных путей: петля "поток-объем" показывает "сплюснутый" патрубок выхода во время принудительного выдоха
Из коллекций Хосе Фернандо Сантакруза, дипломированного врача, члена Американской коллегии специалистов в области торакальной медицины, DAABIP, и Эрика Фолка, дипломированного врача, магистра наук; используется с разрешения
Ознакомьтесь с этим изображением в рамках следующего раздела (разделов):

Обструкция нижних дыхательных путей
Бронхоскопическая терапия для обструкции нижних дыхательных путей правого главного бронха: постмеханическая циторедукция
Из коллекций Хосе Фернандо Сантакруза, дипломированного врача, члена Американской коллегии специалистов в области торакальной медицины, DAABIP, и Эрика Фолка, дипломированного врача, магистра наук; используется с разрешения
Ознакомьтесь с этим изображением в рамках следующего раздела (разделов):

Обструкция нижних дыхательных путей
Бронхоскопическая терапия для обструкции нижних дыхательных путей правого главного бронха: аргоноплазменная коагуляция
Из коллекций Хосе Фернандо Сантакруза, дипломированного врача, члена Американской коллегии специалистов в области торакальной медицины, DAABIP, и Эрика Фолка, дипломированного врача, магистра наук; используется с разрешения
Ознакомьтесь с этим изображением в рамках следующего раздела (разделов):

Обструкция нижних дыхательных путей
Бронхоскопическая терапия для обструкции нижних дыхательных путей правого главного бронха: размещение стента
Из коллекций Хосе Фернандо Сантакруза, дипломированного врача, члена Американской коллегии специалистов в области торакальной медицины, DAABIP, и Эрика Фолка, дипломированного врача, магистра наук; используется с разрешения
Ознакомьтесь с этим изображением в рамках следующего раздела (разделов):

Обструкция нижних дыхательных путей
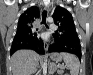
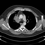
Злокачественная эндобронхиальная обструкция на мультидетекторной КТ: легочное окно, демонстрирующее злокачественную обструкцию правого главного бронха
Из коллекций Хосе Фернандо Сантакруза, дипломированного врача, члена Американской коллегии специалистов в области торакальной медицины, DAABIP, и Эрика Фолка, дипломированного врача, магистра наук; используется с разрешения
Ознакомьтесь с этим изображением в рамках следующего раздела (разделов):

Обструкция нижних дыхательных путей
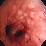
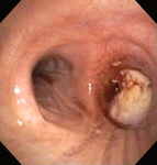
Трахеально-бронхеальный папилломатоз
Из коллекций Хосе Фернандо Сантакруза, дипломированного врача, члена Американской коллегии специалистов в области торакальной медицины, DAABIP, и Эрика Фолка, дипломированного врача, магистра наук; используется с разрешения
Ознакомьтесь с этим изображением в рамках следующего раздела (разделов):

Обструкция нижних дыхательных путей
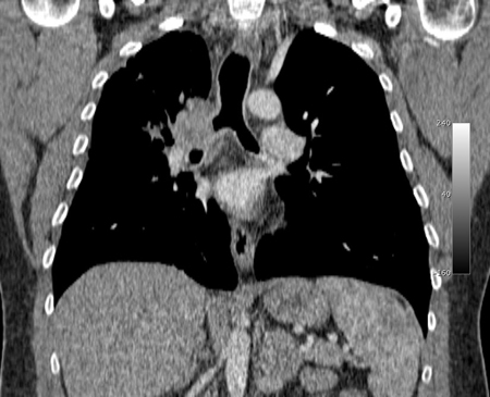
Злокачественная эндобронхиальная обструкция на мультидетекторной КТ: корональная реконструкция, демонстрирующая злокачественную обструкцию правого главного бронха
Из коллекций Хосе Фернандо Сантакруза, дипломированного врача, члена Американской коллегии специалистов в области торакальной медицины, DAABIP, и Эрика Фолка, дипломированного врача, магистра наук; используется с разрешения
Ознакомьтесь с этим изображением в рамках следующего раздела (разделов):

Обструкция нижних дыхательных путей
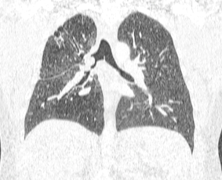
Злокачественная эндобронхиальная обструкция на мультидетекторной КТ: многопланая реконструкция в формате 2D (проекция минимальной интенсивности), демонстрирующая злокачественную обструкцию правого главного бронха
Из коллекций Хосе Фернандо Сантакруза, дипломированного врача, члена Американской коллегии специалистов в области торакальной медицины, DAABIP, и Эрика Фолка, дипломированного врача, магистра наук; используется с разрешения
Ознакомьтесь с этим изображением в рамках следующего раздела (разделов):

Обструкция нижних дыхательных путей
Стеноз анастомоза бронха после трансплантации легкого: балонная бронхопластика
Из коллекций Хосе Фернандо Сантакруза, дипломированного врача, члена Американской коллегии специалистов в области торакальной медицины, DAABIP, и Эрика Фолка, дипломированного врача, магистра наук; используется с разрешения
Ознакомьтесь с этим изображением в рамках следующего раздела (разделов):

Обструкция нижних дыхательных путей
Сужение анастомоза бронха после трансплантации легкого: лучевое рассечение электрическим током
Из коллекций Хосе Фернандо Сантакруза, дипломированного врача, члена Американской коллегии специалистов в области торакальной медицины, DAABIP, и Эрика Фолка, дипломированного врача, магистра наук; используется с разрешения
Ознакомьтесь с этим изображением в рамках следующего раздела (разделов):

Обструкция нижних дыхательных путей
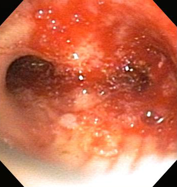
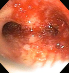
Обструкция нижних дыхательных путей: злокачественная обструкция правого бронха
Из коллекций Хосе Фернандо Сантакруза, дипломированного врача, члена Американской коллегии специалистов в области торакальной медицины, DAABIP, и Эрика Фолка, дипломированного врача, магистра наук; используется с разрешения
Ознакомьтесь с этим изображением в рамках следующего раздела (разделов):

Обструкция нижних дыхательных путей
Злокачественная эндобронхиальная обструкция на мультидетекторной КТ: 3D-корональная реконструкция, демонстрирующая злокачественную обструкцию правого главного бронха
Из коллекций Хосе Фернандо Сантакруза, дипломированного врача, члена Американской коллегии специалистов в области торакальной медицины, DAABIP, и Эрика Фолка, дипломированного врача, магистра наук; используется с разрешения
Ознакомьтесь с этим изображением в рамках следующего раздела (разделов):

Обструкция нижних дыхательных путей
Золотистый-S или обратный S-знак на КТ грудной клетки (изображение слева), отмеченный желтой линией. Гибкая бронхоскопия (изображение справа) показывает центральное обструктивное поражение в левом главном бронхе.
Из коллекций Хосе Фернандо Сантакруза, дипломированного врача, члена Американской коллегии специалистов в области торакальной медицины, DAABIP, и Эрика Фолка, дипломированного врача, магистра наук; используется с разрешения
Ознакомьтесь с этим изображением в рамках следующего раздела (разделов):

Обструкция нижних дыхательных путей
Типы обструкции нижних дыхательных путей: врожденная, приобретенная или смешанная.
Из коллекций Хосе Фернандо Сантакруза, дипломированного врача, члена Американской коллегии специалистов в области торакальной медицины, DAABIP, и Эрика Фолка, дипломированного врача, магистра наук; используется с разрешения
Ознакомьтесь с этим изображением в рамках следующего раздела (разделов):

Обструкция нижних дыхательных путей
Фиксированная обструкция верхних дыхательных путей: петля "поток-объем" показывает "сплюснутые" инспираторные и экспираторные петли
Из коллекций Хосе Фернандо Сантакруза, дипломированного врача, члена Американской коллегии специалистов в области торакальной медицины, DAABIP, и Эрика Фолка, дипломированного врача, магистра наук; используется с разрешения
Ознакомьтесь с этим изображением в рамках следующего раздела (разделов):

Обструкция нижних дыхательных путей
Анастомозный стеноз бронха после трансплантации легкого: анастомоз правого главного бронха после комбинированной эндоскопической терапии
Из коллекций Хосе Фернандо Сантакруза, дипломированного врача, члена Американской коллегии специалистов в области торакальной медицины, DAABIP, и Эрика Фолка, дипломированного врача, магистра наук; используется с разрешения
Ознакомьтесь с этим изображением в рамках следующего раздела (разделов):

Обструкция нижних дыхательных путей
Бронхоскопическая терапия для обструкции нижних дыхательных путей правого главного бронха: лазерное фоторазделение
Из коллекций Хосе Фернандо Сантакруза, дипломированного врача, члена Американской коллегии специалистов в области торакальной медицины, DAABIP, и Эрика Фолка, дипломированного врача, магистра наук; используется с разрешения
Ознакомьтесь с этим изображением в рамках следующего раздела (разделов):

Обструкция нижних дыхательных путей
Динамический коллапс дыхательных путей: A. бронхоскопическая проекция на вдохе; B. бронхоскопическая проекция на выдохе, которая показывает динамический коллапс дыхательных путей; C. КТ грудной клетки, которая показывает нормальные дыхательные пути на вдохе; D. КТ грудной клетки, которая показывает значительный коллапс дыхательных путей на выдохе
Из коллекций Хосе Фернандо Сантакруза, дипломированного врача, члена Американской коллегии специалистов в области торакальной медицины, DAABIP, и Эрика Фолка, дипломированного врача, магистра наук; используется с разрешения
Ознакомьтесь с этим изображением в рамках следующего раздела (разделов):

Обструкция нижних дыхательных путей
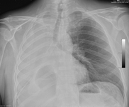
Рентгенография грудной клетки, показывающая окклюзию эндобронхиального стента правого главного бронха из-за слизи
Из коллекций Хосе Фернандо Сантакруза, дипломированного врача, члена Американской коллегии специалистов в области торакальной медицины, DAABIP, и Эрика Фолка, дипломированного врача, магистра наук; используется с разрешения
Ознакомьтесь с этим изображением в рамках следующего раздела (разделов):

Обструкция нижних дыхательных путей
Сужение анастомоза бронха после трансплантации легкого
Из коллекций Хосе Фернандо Сантакруза, дипломированного врача, члена Американской коллегии специалистов в области торакальной медицины, DAABIP, и Эрика Фолка, дипломированного врача, магистра наук; используется с разрешения
Ознакомьтесь с этим изображением в рамках следующего раздела (разделов):

Обструкция нижних дыхательных путей
Динамическая (подвижная или изменчивая) экстраторакальная обструкция верхних дыхательных путей: петля "поток-объем" показывает "плоский" патрубок выхода во время принудительного вдоха
Из коллекций Хосе Фернандо Сантакруза, дипломированного врача, члена Американской коллегии специалистов в области торакальной медицины, DAABIP, и Эрика Фолка, дипломированного врача, магистра наук; используется с разрешения
Ознакомьтесь с этим изображением в рамках следующего раздела (разделов):

Обструкция нижних дыхательных путей
Злокачественная эндобронхиальная обструкция на мультидетекторной КТ: окно средостения, демонстрирующее злокачественную обструкцию правого главного бронха
Из коллекций Хосе Фернандо Сантакруза, дипломированного врача, члена Американской коллегии специалистов в области торакальной медицины, DAABIP, и Эрика Фолка, дипломированного врача, магистра наук; используется с разрешения
Ознакомьтесь с этим изображением в рамках следующего раздела (разделов):
Использование этого контента попадает под действие нашего заявления об отказе от ответственности