Imagens e vídeos
IMAGENS

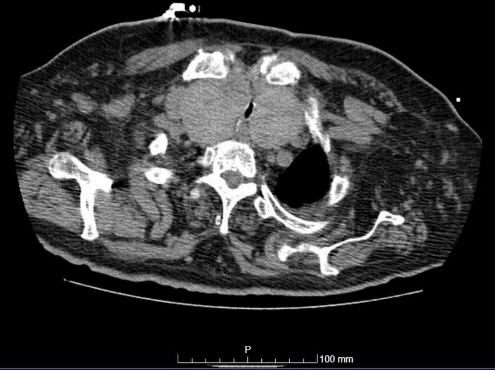
Bócio multinodular tóxico
TC de tórax mostrando aumento acentuado da glândula tireoide com um extenso componente intratorácico causando compressão da traqueia
Dias T et al. Acute airway obstruction due to benign multinodular goitre. BMJ Case Reports. 2019;12:e228095; usado com permissão
Veja esta imagem em contexto nas seguintes seções:

Bócio multinodular tóxico
Nódulo tireoidiano hiperfuncionante suprimindo a glândula contralateral na cintilografia de tireoide (SSN = incisura jugular)
Arem R. Recurrent transient thyrotoxicosis in multinodular goitre. Postgrad Med J. 1990;66:54-56
Veja esta imagem em contexto nas seguintes seções:

Bócio multinodular tóxico
Bócio devido a uma deficiência alimentar de iodo
Centros de Controle e Prevenção de Doenças; usado com permissão
Veja esta imagem em contexto nas seguintes seções:

Bócio multinodular tóxico
Cintilografia de tireoide mostrando captação variegada no bócio multinodular tóxico
Cortesia da Dra. Elizabeth Pearce; usado com permissão
Veja esta imagem em contexto nas seguintes seções:
O uso deste conteúdo está sujeito ao nosso aviso legal