Imagens e vídeos
IMAGENS

Avaliação do deficit de memória
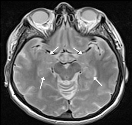
Ressonância nuclear magnética (RNM) cranioencefálica (ponderada em T2): demonstra hiperintensidade simétrica dos lobos temporais mediais bilaterais (hipocampos; destacada por setas apontando para o meio e a área anterior do hipocampo) consistente com a inflamação ativa em encefalite e encefalopatia límbicas. Hipocampos mais claros que as outras regiões de substância cinzenta, principalmente o córtex posterior
Do acervo pessoal do Dr. Geschwind, MD, PhD; usado com permissão
Veja esta imagem em contexto nas seguintes seções:

Avaliação do deficit de memória
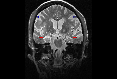
RNM cranioencefálica: mostra atrofia cortical difusa, com atrofia hipocampal predominante (setas vermelhas), em paciente com demência de Alzheimer. Atrofia parietal e envolvimento neocortical evidentes na doença mais avançada (setas azuis)
Do acervo pessoal do Dr. Geschwind, MD, PhD; usado com permissão
Veja esta imagem em contexto nas seguintes seções:

Avaliação do deficit de memória
Algoritmo de diagnóstico para início crônico de deficit de memória; vcDFT, variante comportamental da demência frontotemporal; DCB, degeneração corticobasal; FDG-PET, tomografia por emissão de pósitrons com fluordesoxiglucose; DFT, demência frontotemporal; PL, punção lombar; PIB-PET, B com composto Pittsburgh - tomografia por emissão de pósitrons; APNF, afasia progressiva não fluente; PSP, paralisia supranuclear progressiva
Criado por Mee-Ohk Kim, MD, PhD e Michael D. Geschwind, MD, PhD; usado com permissão
Veja esta imagem em contexto nas seguintes seções:

Avaliação do deficit de memória
Algoritmo de diagnóstico para início agudo de deficit de memória. 1: alterações nas intensidades dos sinais, lesões estruturais na ressonância nuclear magnética (RNM) cranioencefálica; 2: às vezes, intensidades maiores de sinal na imagem ponderada por difusão; EEG, eletroencefalograma; RM - ressonância nucelar magnética
Criado por Mee-Ohk Kim, MD, PhD e Michael D. Geschwind, MD, PhD; usado com permissão
Veja esta imagem em contexto nas seguintes seções:

Avaliação do deficit de memória
Algoritmo de diagnóstico para início subagudo de deficit de memória. 1: lterações nas intensidades dos sinais, lesões estruturais na ressonância nuclear magnética (RNM) cranioencefálica; 3: RNM na doença de Creutzfeldt-Jacob (DCJ) mostra fitas corticais (hiperintensidade nos giros corticais) e/ou difusão restrita com núcleo profundo no mapa da imagem ponderada por difusão/coeficiente de difusão aparente (IPD/CDA); os biomarcadores do líquido cefalorraquidiano (LCR) podem estar elevados; CDA, coeficiente de difusão aparente; DCJ, doença de Creutzfeldt-Jacob; LCR, líquido cefalorraquidiano; IPD, imagem ponderada por difusão; HSV, vírus do herpes simples; RNM, ressonância nuclear magnética; ENE, enolase neurônio-específica.
Criado por Mee-Ohk Kim, MD, PhD e Michael D. Geschwind, MD, PhD; usado com permissão
Veja esta imagem em contexto nas seguintes seções:
O uso deste conteúdo está sujeito ao nosso aviso legal