Imagens e vídeos
IMAGENS

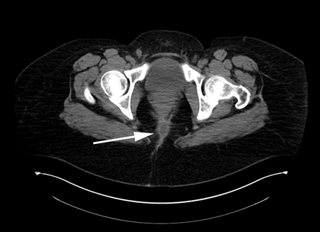
Abscesso anorretal
Tomografia computadorizada (TC) demonstrando um abscesso perirretal
Do acervo do Dr. C. Neal Ellis; usado com permissão
Veja esta imagem em contexto nas seguintes seções:
O uso deste conteúdo está sujeito ao nosso aviso legal