Imagens e vídeos
IMAGENS

Avaliação do abdome agudo
Intussuscepção: local de intussuscepção conforme revelado pela radiografia abdominal, que mostra o menisco
Do acervo de Dr. David J. Hackam
Veja esta imagem em contexto nas seguintes seções:

Avaliação do abdome agudo
Locais comuns de dor visceral
Criação do BMJ Evidence Centre
Veja esta imagem em contexto nas seguintes seções:

Avaliação do abdome agudo
Círculos sólidos representam os locais primários de dor, e os círculos pontilhados, as áreas de dor referida
Criado pelo BMJ Knowledge Centre
Veja esta imagem em contexto nas seguintes seções:

Avaliação do abdome agudo
Colecistite: foto operatória mostrando colecistite aguda
Do acervo de Dr. Charles Bellows
Veja esta imagem em contexto nas seguintes seções:

Avaliação do abdome agudo
Áreas de dor cuja natureza é de cólica abdominal e intermitente
Criação do BMJ Evidence Centre
Veja esta imagem em contexto nas seguintes seções:

Avaliação do abdome agudo
Gravidez ectópica: sangue no fundo de saco
Do acervo pessoal de Dra. Melissa Fries, Washington Hospital Center; usado com permissão
Veja esta imagem em contexto nas seguintes seções:

Avaliação do abdome agudo
Abscesso hepático: patologia macroscópica de abscesso amebiano do fígado; tubo de pus "chocolate" do abscesso
CDC; Dr. Mae Melvin; Dr E. West of Mobile, AL
Veja esta imagem em contexto nas seguintes seções:

Avaliação do abdome agudo
Gravidez ectópica: imagem de ultrassonografia de gravidez ectópica mostrando o sinal de "donut"
Do acervo pessoal de Dra. Melissa Fries, Washington Hospital Center; usado com permissão
Veja esta imagem em contexto nas seguintes seções:

Avaliação do abdome agudo
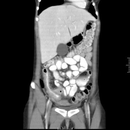
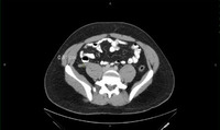
Doença de Crohn: Tomografia computadorizada (TC) mostrando espessamento do íleo terminal em um paciente com exacerbação da doença de Crohn
Fornecido pelo Dr. Wissam Bleibel, Dr. Bishal Mainali, Dr. Chandrashekhar Thukral e Dr. Mark A. Peppercorn
Veja esta imagem em contexto nas seguintes seções:

Avaliação do abdome agudo
Gravidez ectópica: imagem de ultrassonografia de gravidez ectópica
Do acervo pessoal de Dra. Melissa Fries, Washington Hospital Center; usado com permissão
Veja esta imagem em contexto nas seguintes seções:

Avaliação do abdome agudo
Áreas de dor de apresentação súbita e intensa no início
Criação do BMJ Evidence Centre
Veja esta imagem em contexto nas seguintes seções:

Avaliação do abdome agudo
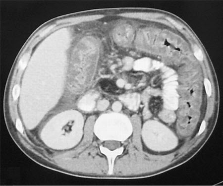
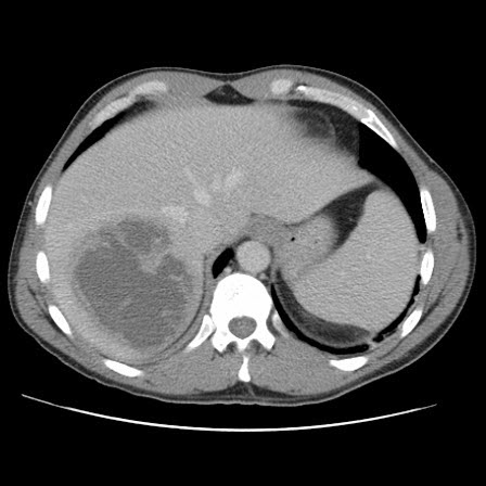
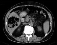
Abscesso hepático: tomografia computadorizada (TC) mostrando um abscesso hepático (7 cm x 5 cm) em um homem de 46 anos de idade que apresentou febre, fadiga e tosse
Do acervo de imagens radiológicas do Massachusetts General Hospital
Veja esta imagem em contexto nas seguintes seções:

Avaliação do abdome agudo
Áreas de dor de apresentação gradual ou mais progressiva
Criação do BMJ Evidence Centre
Veja esta imagem em contexto nas seguintes seções:

Avaliação do abdome agudo
Bolsas de ar livre abdominal, radiografia
Science Photo Library; usado com permissão
Veja esta imagem em contexto nas seguintes seções:

Avaliação do abdome agudo
Doença de Crohn: visão endoscópica de íleo terminal normal
Do acervo pessoal de Dr. Charlotte Ford, North Middlesex Hospital Trust, Londres, Reino Unido
Veja esta imagem em contexto nas seguintes seções:

Avaliação do abdome agudo
Torção testicular: imagens bilaterais transversais com Doppler colorido em um menino de 12 anos com dor escrotal do lado direito, de início súbito, sem sinais de fluxo colorido no testículo direito, que está aumentado e tem ecogenicidade heterogênea; hidrocele reativa (h) e espessamento da parede escrotal (*) também são observados; torção testicular e deformidade em badalo de sino foram confirmados no momento da cirurgia
Aso C, et al. Radiographics. 2005 Set-Out;25(5):1197-214; usado com permissão
Veja esta imagem em contexto nas seguintes seções:

Avaliação do abdome agudo
Intussuscepção: sonograma transversal do abdome mostrando sinal de "donut" (anéis concêntricos dentro do lúmen de uma alça distendida do intestino)
Adaptado do Student BMJ. 2008;16:76
Veja esta imagem em contexto nas seguintes seções:

Avaliação do abdome agudo
Colecistite: ultrassonografia de colecistite aguda e presença de cálculos biliares
Do acervo de Dr. Charles Bellows
Veja esta imagem em contexto nas seguintes seções:

Avaliação do abdome agudo
Gravidez ectópica: sangue no abdome
Do acervo pessoal de Dra. Melissa Fries, Washington Hospital Center; usado com permissão
Veja esta imagem em contexto nas seguintes seções:

Avaliação do abdome agudo
Endometriose: imagem laparoscópica de endometrioma ovariano
Do acervo de Dr. Jonathon Solnik; usado com permissão
Veja esta imagem em contexto nas seguintes seções:

Avaliação do abdome agudo
Doença associada ao Clostridium difficile: tomografia computadorizada (TC) do abdome mostrando espessamento macroscópico da parede do intestino grosso e obliteração do lúmen
Yates B, Murphy CM, et al. Pseudomembranous colitis in four patients with cystic fibrosis following lung transplantation. BMJ Case Reports. 2009; doi: 10.1136/bcr.11.2008.1218
Veja esta imagem em contexto nas seguintes seções:

Avaliação do abdome agudo
Gravidez ectópica: extração cirúrgica de gravidez ectópica
Do acervo pessoal de Dra. Melissa Fries, Washington Hospital Center; usado com permissão
Veja esta imagem em contexto nas seguintes seções:

Avaliação do abdome agudo
Ultrassonografia de vesícula biliar demonstrando colelitíase com sombreamento característico
Cortesia de Kuojen Tsao; usado com permissão
Veja esta imagem em contexto nas seguintes seções:

Avaliação do abdome agudo
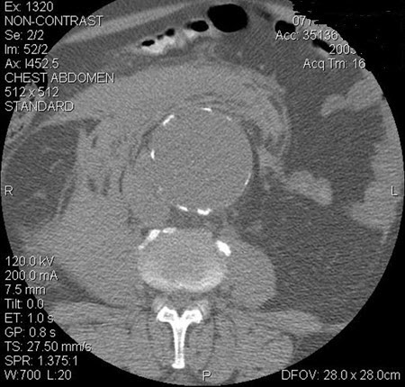
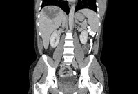
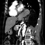
Aneurisma da aorta abdominal: tomografia computadorizada (TC) de um aneurisma da aorta abdominal roto
University of Michigan, mais especificamente os casos do Dr. Upchurch, representando os Departamentos de Cirurgia vascular e Radiologia
Veja esta imagem em contexto nas seguintes seções:

Avaliação do abdome agudo
Sinal de Cullen (descoloração periumbilical) em um homem de 36 anos de idade que se apresentou com uma história de 4 dias de dor epigástrica grave após consumo exagerado de álcool
Cortesia de Herbert L. Fred MD e Hendrik A van Dijk
Veja esta imagem em contexto nas seguintes seções:

Avaliação do abdome agudo
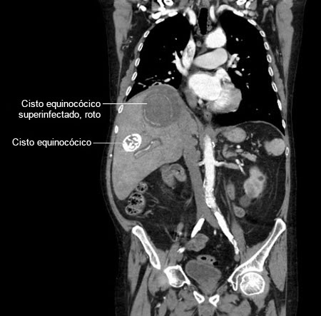
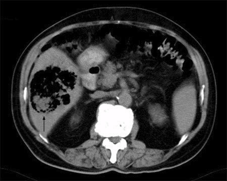
Abscesso hepático: tomografia computadorizada (TC) mostrando um cisto equinocócico rompido e infectado de 8 cm por 8 cm e um cisto equinocócico de 4 cm por 4 cm em um homem de 69 anos de idade, que apresentou hipotensão e dor torácica com irradiação para a região epigástrica
Do acervo de imagens radiológicas do Massachusetts General Hospital (MGH)
Veja esta imagem em contexto nas seguintes seções:

Avaliação do abdome agudo
Abscesso hepático: tomografia computadorizada (TC) (vista coronal) mostrando abscesso hepático em um homem de 46 anos de idade que apresentava febre, fadiga e tosse
Do acervo de imagens radiológicas do Massachusetts General Hospital
Veja esta imagem em contexto nas seguintes seções:

Avaliação do abdome agudo
Doença intestinal isquêmica: tomografia computadorizada (TC) mostrando espessamento do cólon com pneumatose intestinal
Do acervo de Dra. Jennifer Holder-Murray e Dr. Alessandro Fichera
Veja esta imagem em contexto nas seguintes seções:

Avaliação do abdome agudo
Abscesso hepático: tomografia computadorizada (TC) do abdome sem contraste mostrando um enorme abscesso hepático com gás (seta)
Adaptado de BMJ Case Reports 2009 (doi:10.1136/bcr.08.2008.0638)
Veja esta imagem em contexto nas seguintes seções:

Avaliação do abdome agudo
Ultrassonografia de colecistite aguda e presença de cálculos biliares: a seta aponta para um cálculo no fundo da vesícula biliar, com sua sombra ecogênica abaixo
Cortesia de Charles Bellows e W. Scott Helton; usado com permissão
Veja esta imagem em contexto nas seguintes seções:

Avaliação do abdome agudo
Intussuscepção: radiografia abdominal que mostra a passagem insuficiente de bário no local da obstrução decorrente da intussuscepção
Do acervo de Dr. David J. Hackam
Veja esta imagem em contexto nas seguintes seções:

Avaliação do abdome agudo
Gravidez ectópica: extração cirúrgica de gravidez ectópica
Do acervo pessoal de Dra. Melissa Fries, Washington Hospital Center; usado com permissão
Veja esta imagem em contexto nas seguintes seções:

Avaliação do abdome agudo
Doença intestinal isquêmica: Angiotomografia: trombo agudo na artéria mesentérica superior
Do acervo de Dra. Jennifer Holder-Murray e Dr. Alessandro Fichera
Veja esta imagem em contexto nas seguintes seções:

Avaliação do abdome agudo
Gravidez ectópica: imagem de ultrassonografia de gravidez ectópica
Do acervo pessoal de Dra. Melissa Fries, Washington Hospital Center; usado com permissão
Veja esta imagem em contexto nas seguintes seções:

Avaliação do abdome agudo
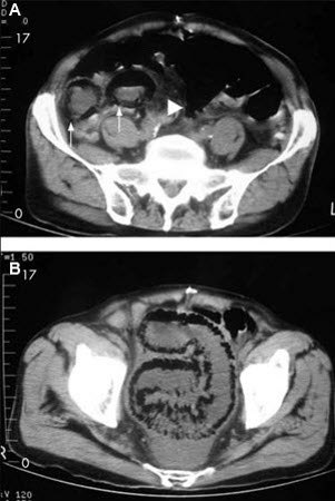
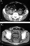
Doença intestinal isquêmica: homem de 84 anos que apresenta sintomas sugestivos de doença intestinal isquêmica: (A) tomografia computadorizada (TC) abdominal que revela uma formação de ar circunferencial maciça e em forma de bastonetes como pneumatose intestinal (setas) e edema pronunciado da gordura mesentérica (ponta de seta) ao redor das alças intestinais necrosadas; (B) outro corte da TC abdominal mostra pneumatose segmentar longa do intestino delgado
Lin I, Chang W, Shih S, et al. Bedside echogram in ischaemic bowel. BMJ Case Reports. 2009:bcr.2007.053462
Veja esta imagem em contexto nas seguintes seções:

Avaliação do abdome agudo
Laceração de Mallory-Weiss: a laceração com sangramento ativo aparece como um defeito longitudinal vermelho com mucosa circundante normal
Do acervo de Juan Carlos Munoz, MD, University of Florida
Veja esta imagem em contexto nas seguintes seções:

Avaliação do abdome agudo
Intussuscepção: local de intussuscepção conforme revelado pela radiografia abdominal, que mostra o menisco
Do acervo de Dr. David J. Hackam
Veja esta imagem em contexto nas seguintes seções:

Avaliação do abdome agudo
Círculos sólidos representam os locais primários de dor e os círculos pontilhados, as áreas de dor referida
Criação do BMJ Evidence Centre
Veja esta imagem em contexto nas seguintes seções:

Avaliação do abdome agudo
Sinal de Grey-Turner (contusão dos flancos) em uma mulher de 40 anos de idade com dor epigástrica de agravamento progressivo com duração de 5 dias
Cortesia de Herbert L. Fred MD e Hendrik A. van Dijk
Veja esta imagem em contexto nas seguintes seções:

Avaliação do abdome agudo
Síndrome de Budd-Chiari: venografia hepática mostrando "teia de aranha" e trombo na veia cava inferior
Liver Transplantation Journal. 2006 Nov;12 (11 supl 2): S21-2; reimpresso com permissão de John Wiley & Sons, Inc
Veja esta imagem em contexto nas seguintes seções:

Avaliação do abdome agudo
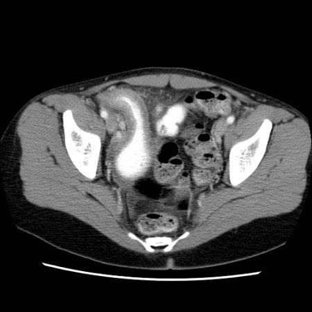
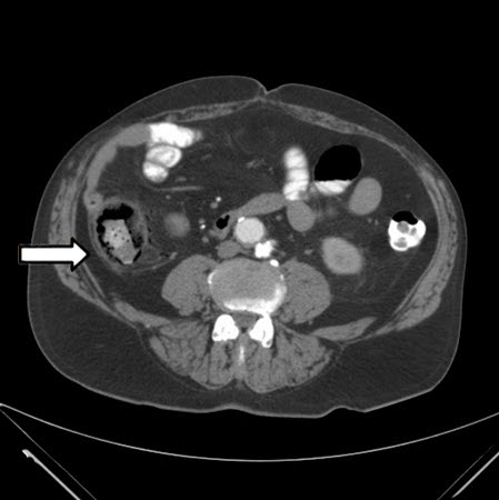
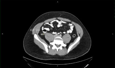
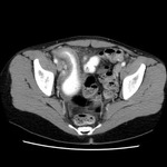
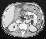
Apendicite: tomografia computadorizada (TC) abdominal mostrando apêndice com espessamento
Cortesia de Nasim Ahmed, MBBS, FACS
Veja esta imagem em contexto nas seguintes seções:

Avaliação do abdome agudo
Laceração de Mallory-Weiss: coágulo aderente sem sangramento
Do acervo de Juan Carlos Munoz, University of Florida
Veja esta imagem em contexto nas seguintes seções:

Avaliação do abdome agudo
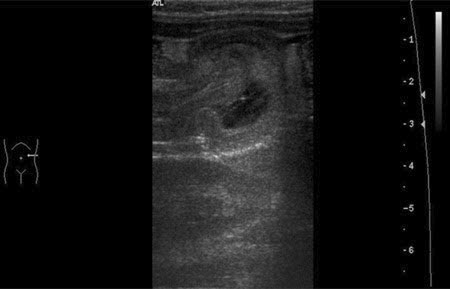
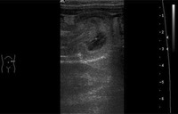
Intussuscepção: imagem de ultrassonografia que mostra a invaginação de um segmento do intestino no segmento adjacente
BMJ Case Reports 2009; doi:10.1136/bcr.04.2009.1730
Veja esta imagem em contexto nas seguintes seções:

Avaliação do abdome agudo
Endometriose: imagem laparoscópica de nódulo endometriótico
Do acervo de Dr. Jonathon Solnik; usado com permissão
Veja esta imagem em contexto nas seguintes seções:

Avaliação do abdome agudo
Doença de Crohn: Tomografia computadorizada (TC) mostrando espessamento do íleo terminal em um paciente com exacerbação da doença de Crohn
Fornecido pelo Dr. Wissam Bleibel, Dr. Bishal Mainali, Dr. Chandrashekhar Thukral e Dr. Mark A. Peppercorn
Veja esta imagem em contexto nas seguintes seções:

Avaliação do abdome agudo
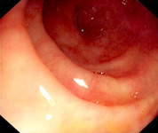
Doença de Crohn: vista endoscópica da ileíte de Crohn
Fornecido pelo Dr. Wissam Bleibel, Dr. Bishal Mainali, Dr. Chandrashekhar Thukral e Dr. Mark A. Peppercorn
Veja esta imagem em contexto nas seguintes seções:
O uso deste conteúdo está sujeito ao nosso aviso legal