Imagens e vídeos
IMAGENS

Síndrome de Behçet
Úlceras na boca e nos genitais
Do acervo de Yusuf Yazici, MD
Veja esta imagem em contexto nas seguintes seções:

Síndrome de Behçet
Úlcera oral
Do acervo de Yusuf Yazici, MD
Veja esta imagem em contexto nas seguintes seções:

Síndrome de Behçet
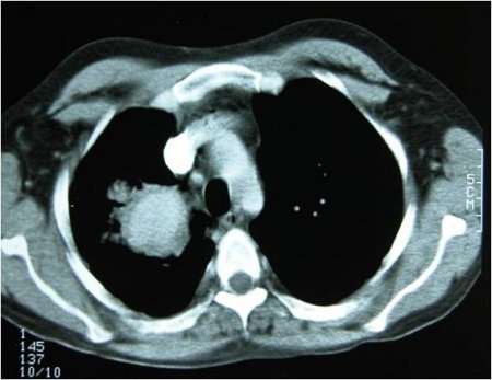
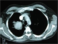
Aneurisma pulmonar
Do acervo de Yusuf Yazici, MD
Veja esta imagem em contexto nas seguintes seções:

Síndrome de Behçet
Patergia
Do acervo de Yusuf Yazici, MD
Veja esta imagem em contexto nas seguintes seções:

Síndrome de Behçet
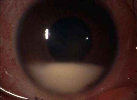
Hipópio
Do acervo de Yusuf Yazici, MD
Veja esta imagem em contexto nas seguintes seções:
O uso deste conteúdo está sujeito ao nosso aviso legal