Imagens e vídeos
IMAGENS

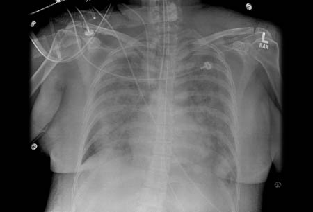
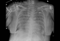
Síndrome do desconforto respiratório agudo (SDRA)
Imagem de radiografia torácica de infiltrados bilaterais em um paciente com síndrome do desconforto respiratório agudo (SDRA)
Do acervo pessoal da Dra. Lorraine Ware; usado com permissão
Veja esta imagem em contexto nas seguintes seções:
Vídeos
- Punção de artéria radial - Vídeo de demonstração
Como obter uma amostra de sangue arterial da artéria radial.
- Punção de artéria femoral - Vídeo de demonstração
Como realizar uma punção da artéria femoral para coletar uma amostra de sangue arterial.
- Emergências ventilatórias: hipóxia e pressão nas vias aéreas elevada
Como lidar com a hipóxia e o aumento da pressão nas vias aéreas em pacientes ventilados
- Intubação traqueal - Vídeo de demonstração
Como inserir um tubo traqueal em um adulto usando um laringoscópio.
- Ventilação com ressuscitador manual ("bolsa-válvula-máscara") - Vídeo de demonstração
Como usar um aparato reanimador manual autoinflável para fornecer suporte ventilatório a adultos. Vídeo de demonstração da técnica em duas pessoas.
- Posição pronada nos cuidados intensivos
Este vídeo descreve o papel da posição pronada no manejo da insuficiência respiratória grave, as indicações e contraindicações para colocar um paciente nesta posição e as checklists para realizar o procedimento da posição pronada com segurança.
- Inserção de cateter venoso central – Vídeo de demonstração
Inserção guiada por ultrassom de um cateter venoso central (CVC) não tunelizado na veia jugular interna direita, usando a técnica de inserção de Seldinger.
O uso deste conteúdo está sujeito ao nosso aviso legal