Imagens e vídeos
IMAGENS

Depósito de pirofosfato de cálcio
Radiografia de punho de paciente com artrite crônica por pirofosfato de cálcio, mostrando alterações degenerativas graves
Da coleção pessoal de Ann K. Rosenthal, MD
Veja esta imagem em contexto nas seguintes seções:

Depósito de pirofosfato de cálcio
Imagens de cristais intracelulares de pirofosfato de cálcio sob microscopia óptica polarizante compensada
Da coleção pessoal de Ann K. Rosenthal, MD
Veja esta imagem em contexto nas seguintes seções:

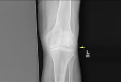
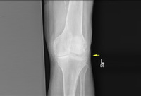
Depósito de pirofosfato de cálcio
Radiografia de joelho com depósitos calcificados lineares de calcificação de cartilagem
Da coleção pessoal de Ann K. Rosenthal, MD
Veja esta imagem em contexto nas seguintes seções:
Vídeos
- Demonstração animada de aspiração e injeção no joelho
Como aspirar líquido sinovial do joelho e administrar medicação intra-articular por abordagem medial.
O uso deste conteúdo está sujeito ao nosso aviso legal