Imagens e vídeos
IMAGENS

Reações cutâneas comuns a medicamento
Um paciente do sexo masculino de 17 anos diagnosticado com síndrome de Stevens-Johnson induzida por azitromicina. Erosões e crostas nos lábios com úlceras difusas na língua
Ferrandiz-Pulido C, Garcia-Patos V. A review of causes of Stevens-Johnson syndrome and toxic epidermal necrolysis in children. Arch Dis Child. 2013;98:998-1003. Usado com permissão
Veja esta imagem em contexto nas seguintes seções:

Reações cutâneas comuns a medicamento
Lesões palmares em alvo em eritema multiforme
Do acervo pessoal de Nanette Silverberg, MD, FAAD, FAAP
Veja esta imagem em contexto nas seguintes seções:

Reações cutâneas comuns a medicamento
Lesões típicas vistas em urticária aguda ou crônica
Do acervo pessoal de Stephen Dreskin, MD, PhD
Veja esta imagem em contexto nas seguintes seções:

Reações cutâneas comuns a medicamento
Exantema medicamentoso induzido por fenitoína
Fotografia cortesia de Brian L. Swick
Veja esta imagem em contexto nas seguintes seções:

Reações cutâneas comuns a medicamento
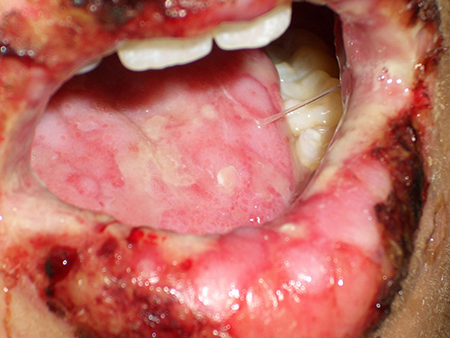
Ulcerações mucosas e orais, síndrome de Stevens-Johnson induzida por carbamazepina
Khoo AB, Ali FR, Yiu ZZ, et al. Carbamazepine induced Stevens-Johnson syndrome. BMJ Case Rep. 2016;2016. pii: bcr2016214926. Usado com permissão
Veja esta imagem em contexto nas seguintes seções:

Reações cutâneas comuns a medicamento
Fase inicial da necrólise epidérmica tóxica com eritema difuso e vesículas que evoluirão para necrose epidérmica total
Ferrandiz-Pulido C, Garcia-Patos V. A review of causes of Stevens-Johnson syndrome and toxic epidermal necrolysis in children. Arch Dis Child. 2013;98:998-1003. Usado com permissão
Veja esta imagem em contexto nas seguintes seções:

Reações cutâneas comuns a medicamento
Angioedema dos lábios em paciente que também apresenta urticária
Do acervo pessoal de Stephen Dreskin, MD, PhD
Veja esta imagem em contexto nas seguintes seções:

Reações cutâneas comuns a medicamento
Uma paciente de 5 anos com necrólise epidérmica tóxica por três medicamentos suspeitos (penicilina, ibuprofeno e paracetamol)
Ferrandiz-Pulido C, Garcia-Patos V. A review of causes of Stevens-Johnson syndrome and toxic epidermal necrolysis in children. Arch Dis Child. 2013;98:998-1003. Usado com permissão
Veja esta imagem em contexto nas seguintes seções:

Reações cutâneas comuns a medicamento
Lesões bolhosas de tipo em alvo no tronco, síndrome de Stevens-Johnson induzida por carbamazepina
Khoo AB, Ali FR, Yiu ZZ, et al. Carbamazepine induced Stevens-Johnson syndrome. BMJ Case Rep. 2016;2016. pii: bcr2016214926. Usado com permissão
Veja esta imagem em contexto nas seguintes seções:

Reações cutâneas comuns a medicamento
Escores de Naranjo
Naranjo CA, Busto U, Sellers EM, et al. A method for estimating the probability of adverse drug reactions. Clin Pharmacol Ther. 1981;30:239-245
Veja esta imagem em contexto nas seguintes seções:

Reações cutâneas comuns a medicamento
Síndrome de Stevens-Johnson: perda epidérmica nas solas dos pés
Do acervo pessoal de Areta Kowal-Vern, MD
Veja esta imagem em contexto nas seguintes seções:
O uso deste conteúdo está sujeito ao nosso aviso legal