Investigações
Primeiras investigações a serem solicitadas
exame de fezes
Exame
A liberação de ovos nas fezes pode variar devido às taxas irregulares de descolamento e degeneração das proglotes.
O exame de amostras fecais por vários dias aumenta o rendimento.
A identificação de espécies é importante e, geralmente, baseia-se na morfologia das proglotes.
A identificação da Taenia solium é importante e requer a consideração de uma possível cisticercose em pacientes índice ou entre os contactantes domiciliares.
É possível diagnosticar as espécies Diphyllobothrium latum e Hymenolepis nana encontrando ovos característicos nas fezes.
Resultado
ovos e proglótides (grávidas/não grávidas) nas fezes
hemograma completo
Exame
Ela deve ser solicitada a todos os pacientes para detectar a eosinofilia causada pela migração parasitária pelo tecido hospedeiro. Muitos pacientes com a Hymenolepis nana têm uma eosinofilia moderada.
As infecções por Diphyllobothrium latum podem manifestar-se com uma anemia perniciosa megaloblástica devido à absorção de vitamina B12 pela tênia.
Cerca de 40% das pessoas que hospedam o verme apresentam uma redução da vitamina B12 sérica, mas menos de 2% desenvolvem anemia.[37]
Resultado
eosinofilia moderada, anemia perniciosa megaloblástica
ensaio EITB (Enzime-Linked Immunoelectrotransfer Blot Assay)
Exame
Recomendado como um exame confirmatório em pacientes com neurocisticercose.[33]
O EITB é um imunoblot que usa sete antígenos de glicoproteína purificados. Ele tem 98% de sensibilidade e 100% de especificidade em pacientes com mais de uma lesão.
A sensibilidade em casos de apenas um cisto pode cair para 70%.[35]
Resultado
Taenia solium com antígenos com glicoproteína purificada (Western Blot)
Ensaio de imunoadsorção enzimática (ELISA) e sorologia Western Blot para equinococose
Exame
O Western blot é o teste de confirmação para Echinococcus. A sorologia tem sensibilidade de 80% a 100% e especificidade de 88% a 96% para infecções císticas no fígado.
Ela é menos sensível no envolvimento dos pulmões (50%-56%) e 25% a 26% no envolvimento de outros órgãos.[1]
Nos EUA, o método ELISA está disponível nos Centros de Controle e Prevenção de Doenças.
Resultado
Espécies de Equinococos com antígenos com glicoproteína purificada (Western Blot)
ultrassonografia
Exame
A ultrassonografia abdominal pode detectar cistos hidáticos (por exemplo, equinococose do fígado).
A Organização Mundial da Saúde (OMS) classifica os estádios do Echinococcus granulosus como ativo versus inativo, e essa classificação guia a terapia. CE1 é uma lesão cística anecoica unilocular com um sinal duplo. CE2 é um cisto multiloculado no formato de "colmeia semelhante a roseta" (esse é um cisto-mãe preenchido com cistos filhos). O CE1 e o CE2 são considerados cistos ativos, geralmente férteis, que contêm protoscólices vivos. CE3a é um cisto com membranas soltas (sinal do nenúfar), enquanto o CE3b tem cistos filhos em uma matriz sólida. Eles são considerados cistos no estádio transicional, em que a integridade do cisto foi comprometida pelo hospedeiro ou pela quimioterapia. Um cisto com conteúdo hipoecoico/hiperecoico heterogêneo e sem cistos filhos é o estádio CE4, enquanto os cistos calcificados são considerados CE5. Os CEs dos tipos 4 e 5, que são inativos, normalmente, perderam a fertilidade e são degenerativos.[38]
[Figure caption and citation for the preceding image starts]: Equinococos do fígado com cisto filho na ultrassonografia: cistos multivesiculares, multiloculados, nos quais o cisto filho preenche completamente o cisto-mãe unilocular; o cisto produz uma estrutura semelhante a uma rodaDo acervo da Dra. Christina Coyle e do Dr. Maheen Saeed; usado com permissão [Citation ends].
Resultado
cistos hidáticos
TC cranioencefálica
Exame
A neuroimagem é a base do diagnóstico para a neurocisticercose.[33][40] A RNM é superior à TC na identificação de cistos extraparenquimatosos e lesões da fossa posterior, mas a TC é melhor na visualização dos cistos calcificados.[39] Idealmente, ambos os testes devem ser considerados.
Achados específicos dependem da localização dos cistos:[33]
Parenquimatosa (calcificada não viável): calcificações nodulares <20 mm de diâmetro (geralmente 1-5 mm) com ou sem edema circundante e/ou captação de contraste.
Parenquimatosa (viável): lesão vesicular com evidência de captação de contraste e/ou edema circundante; o escólex costuma ser visível.
Parenquimatosa - realce único e pequeno: lesão com realce cístico ou nodular <2 cm.
Extraparenquimatosa (intraventricular): cisticercos nos ventrículos; hidrocefalia obstrutiva ou loculada com dilatação desproporcional dos ventrículos.
Extraparenquimatosa (subaracnoide): cisticercos em fissura silviana, cisternas basilares ou espaços inter-hemisféricos.
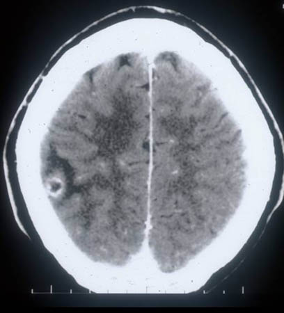
Extraparenquimatosa (espinhal): cisticercos no espaço subaracnoide espinhal com ou sem inflamação/aracnoidite espinhal difusa; cisticercos intramedulares na medula espinhal.[Figure caption and citation for the preceding image starts]: Estádio coloidal - neurocisticercose: tomografia computadorizada (TC) mostrando lesão cística com realce em anel no lobo temporal e edema perilesionalDo acervo da Dra. Christina Coyle e do Dr. Maheen Saeed; usado com permissão [Citation ends].
Resultado
calcificações do cérebro são comuns; achados específicos dependem da localização dos cistos
RNM cranioencefálica/da coluna
Exame
A neuroimagem é a base do diagnóstico para a neurocisticercose. A RNM é superior à TC na identificação de cistos extraparenquimatosos e lesões da fossa posterior, mas a TC é melhor na visualização de cistos calcificados.[39] A RNM também pode revelar o escólex que, geralmente, não é visível em TCs. Idealmente, ambos os testes devem ser considerados.
Achados específicos dependem da localização dos cistos (consulte tomografia computadorizada do cérebro, acima).[33][40]
Todos os pacientes com doença subaracnoide devem fazer uma RNM da coluna.[33][Figure caption and citation for the preceding image starts]: Estádio cístico - neurocisticercose: ressonância nuclear magnética (RNM) mostrando lesão cística no lobo frontal; é possível observar um escólex no interior do cistoDo acervo da Dra. Christina Coyle e do Dr. Maheen Saeed; usado com permissão [Citation ends].
[Figure caption and citation for the preceding image starts]: Estádio granular - neurocisticercose: RNM mostrando lesão com realce sem edema perilesionalDo acervo da Dra. Christina Coyle e do Dr. Maheen Saeed; usado com permissão [Citation ends].
[Figure caption and citation for the preceding image starts]: Estádio calcificado - neurocisticercose: RNM de várias lesões calcificadas em um paciente com neurocisticercoseDo acervo da Dra. Christina Coyle e do Dr. Maheen Saeed; usado com permissão [Citation ends].
Resultado
escólex de tênia de cisticercos extraparenquimatosos; achados específicos dependem da localização dos cistos
Investigações a serem consideradas
rastreamento de tuberculose e estrongiloidíase
Exame
O rastreamento de estrongiloidíase e tuberculose latente é recomendado em pacientes que, provavelmente, precisarão de corticoterapia em longo prazo (isto é, 1 mês ou mais) para neurocisticercose, devido ao risco de imunossupressão e infecções oportunistas com esse tipo de tratamento.[33]
Resultado
Larvas de Strongyloides observadas no exame de fezes (estrongiloidíase); testes de liberação de gamainterferona positivos ou teste tuberculínico positivo (tuberculose)
O uso deste conteúdo está sujeito ao nosso aviso legal