A apresentação mais comum é o nódulo tireoidiano assintomático em mulheres na faixa dos 30 ou 40 anos.
Os fatores de risco para câncer de tireoide incluem história de irradiação da cabeça e do pescoço, que é um fator forte, porém incomum. O câncer de tireoide é mais comum em mulheres, mas os homens podem ter um risco maior de malignidade nos nódulos tireoidianos.[29]Gharib H, Papini E, Garber JR, et al. American Association of Clinical Endocrinologists, American College of Endocrinology, and Associazione Medici Endocrinologi medical guidelines for clinical practice for the diagnosis and management of thyroid nodules - 2016 update. Endocr Pract. 2016 May;22(5):622-39.
https://www.endocrinepractice.org/article/S1530-891X(20)42954-4/fulltext
http://www.ncbi.nlm.nih.gov/pubmed/27167915?tool=bestpractice.com
Raramente, o câncer de tireoide ocorre como parte de uma síndrome familiar, como a síndrome de neoplasia endócrina múltipla (NEM). Consulte Síndrome da neoplasia endócrina múltipla.
Exame e detecção de nódulos tireoidianos
O nódulo tireoidiano pode ser encontrado durante o exame físico ou incidentalmente no exame de imagem.
Os nódulos tireoidianos positivos na tomografia por emissão de pósitrons com 18F-FDG/tomografia computadorizada (PET-CT) encontrados incidentalmente podem apresentar um maior risco de neoplasia maligna e devem ser investigados de maneira apropriada.[12]Bertagna F, Treglia G, Piccardo A, et al. Diagnostic and clinical significance of F-18-FDG-PET/CT thyroid incidentalomas. J Clin Endocrinol Metab. 2012 Nov;97(11):3866-75.
https://academic.oup.com/jcem/article/97/11/3866/2836408
http://www.ncbi.nlm.nih.gov/pubmed/22904176?tool=bestpractice.com
O carcinoma de tireoide papilar é o tipo histológico maligno mais comum nesse cenário.[12]Bertagna F, Treglia G, Piccardo A, et al. Diagnostic and clinical significance of F-18-FDG-PET/CT thyroid incidentalomas. J Clin Endocrinol Metab. 2012 Nov;97(11):3866-75.
https://academic.oup.com/jcem/article/97/11/3866/2836408
http://www.ncbi.nlm.nih.gov/pubmed/22904176?tool=bestpractice.com
[39]de Leijer JF, Metman MJH, van der Hoorn A, et al. Focal thyroid incidentalomas on (18)F-FDG PET/CT: a systematic review and meta-analysis on prevalence, risk of malignancy and inconclusive fine needle aspiration. Front Endocrinol (Lausanne). 2021;12:723394.
https://pmc.ncbi.nlm.nih.gov/articles/PMC8564374
http://www.ncbi.nlm.nih.gov/pubmed/34744999?tool=bestpractice.com
O exame clínico talvez não mostre nada digno de nota, ou a linfadenopatia cervical pode ser palpável. O câncer localmente avançado pode se manifestar com rouquidão por causa de pregas vocais ipsilaterais paralisadas ou com dispneia ou disfagia. A traqueia pode ser desviada para o lado oposto, e o nódulo propriamente dito pode ter uma consistência firme a rígida. O rápido aumento cervical não é comum, mas sugere linfoma (geralmente nos casos de tireoidite de Hashimoto), hemorragia em um nódulo ou câncer de tireoide anaplásico.[3]Jannin A, Escande A, Al Ghuzlan A, et al. Anaplastic thyroid carcinoma: an update. Cancers (Basel). 2022 Feb 19;14(4):1061.
https://www.mdpi.com/2072-6694/14/4/1061
http://www.ncbi.nlm.nih.gov/pubmed/35205809?tool=bestpractice.com
[5]Stein SA, Wartofsky L. Primary thyroid lymphoma: a clinical review. J Clin Endocrinol Metab. 2013 Aug;98(8):3131-8.
https://academic.oup.com/jcem/article/98/8/3131/2833346
http://www.ncbi.nlm.nih.gov/pubmed/23714679?tool=bestpractice.com
[29]Gharib H, Papini E, Garber JR, et al. American Association of Clinical Endocrinologists, American College of Endocrinology, and Associazione Medici Endocrinologi medical guidelines for clinical practice for the diagnosis and management of thyroid nodules - 2016 update. Endocr Pract. 2016 May;22(5):622-39.
https://www.endocrinepractice.org/article/S1530-891X(20)42954-4/fulltext
http://www.ncbi.nlm.nih.gov/pubmed/27167915?tool=bestpractice.com
Exames laboratoriais iniciais
Inicialmente, é necessário analisar o nível de hormônio estimulante da tireoide (TSH).[1]Haugen BR, Alexander EK, Bible KC, et al; American Thyroid Association Guidelines Task Force on Thyroid Nodules and Differentiated Thyroid Cancer. 2015 American Thyroid Association management guidelines for adult patients with thyroid nodules and differentiated thyroid cancer. Thyroid. 2016 Jan;26(1):1-133.
https://www.liebertpub.com/doi/10.1089/thy.2015.0020
http://www.ncbi.nlm.nih.gov/pubmed/26462967?tool=bestpractice.com
Se o TSH estiver suprimido, os níveis do hormônio tireoidianos e um exame com radioiodo serão os próximos passos. O exame pode identificar um nódulo hiperfuncionante (quente), que quase sempre é benigno.
Se o TSH estiver normal ou elevado, o próximo passo diagnóstico será a ultrassonografia e a aspiração por agulha fina (AAF) do nódulo da tireoide.[1]Haugen BR, Alexander EK, Bible KC, et al; American Thyroid Association Guidelines Task Force on Thyroid Nodules and Differentiated Thyroid Cancer. 2015 American Thyroid Association management guidelines for adult patients with thyroid nodules and differentiated thyroid cancer. Thyroid. 2016 Jan;26(1):1-133.
https://www.liebertpub.com/doi/10.1089/thy.2015.0020
http://www.ncbi.nlm.nih.gov/pubmed/26462967?tool=bestpractice.com
Exames de imagem e AAF
A ultrassonografia deve ser realizada em todos os pacientes com nódulo tireoidiano para confirmar sua presença e avaliar tamanho, localização e componente(s) cístico(s).[1]Haugen BR, Alexander EK, Bible KC, et al; American Thyroid Association Guidelines Task Force on Thyroid Nodules and Differentiated Thyroid Cancer. 2015 American Thyroid Association management guidelines for adult patients with thyroid nodules and differentiated thyroid cancer. Thyroid. 2016 Jan;26(1):1-133.
https://www.liebertpub.com/doi/10.1089/thy.2015.0020
http://www.ncbi.nlm.nih.gov/pubmed/26462967?tool=bestpractice.com
[29]Gharib H, Papini E, Garber JR, et al. American Association of Clinical Endocrinologists, American College of Endocrinology, and Associazione Medici Endocrinologi medical guidelines for clinical practice for the diagnosis and management of thyroid nodules - 2016 update. Endocr Pract. 2016 May;22(5):622-39.
https://www.endocrinepractice.org/article/S1530-891X(20)42954-4/fulltext
http://www.ncbi.nlm.nih.gov/pubmed/27167915?tool=bestpractice.com
[40]American College of Radiology. ACR-AIUM-SPR-SRU practice parameter for the performance and interpretation of diagnostic ultrasound of the extracranial head and neck. 2022 [internet publication].
https://www.acr.org/-/media/ACR/Files/Practice-Parameters/ExtracranialHeadandNeck.pdf
[41]American College of Radiology. ACR appropriateness criteria: thyroid disease. 2019 [internet publication].
https://acsearch.acr.org/docs/3102386/narrative
A avaliação por ultrassonografia dos linfonodos cervicais também deve ser realizada.[1]Haugen BR, Alexander EK, Bible KC, et al; American Thyroid Association Guidelines Task Force on Thyroid Nodules and Differentiated Thyroid Cancer. 2015 American Thyroid Association management guidelines for adult patients with thyroid nodules and differentiated thyroid cancer. Thyroid. 2016 Jan;26(1):1-133.
https://www.liebertpub.com/doi/10.1089/thy.2015.0020
http://www.ncbi.nlm.nih.gov/pubmed/26462967?tool=bestpractice.com
[41]American College of Radiology. ACR appropriateness criteria: thyroid disease. 2019 [internet publication].
https://acsearch.acr.org/docs/3102386/narrative
[42]Zhao H, Li H. Meta-analysis of ultrasound for cervical lymph nodes in papillary thyroid cancer: diagnosis of central and lateral compartment nodal metastases. Eur J Radiol. 2019 Mar;112:14-21.
http://www.ncbi.nlm.nih.gov/pubmed/30777203?tool=bestpractice.com
Na realidade, a maioria dos nódulos císticos são cistos sólidos, cujo risco de malignidade é igual ao dos nódulos sólidos. No entanto, a ultrassonografia pode ajudar a orientar a aspiração de qualquer componente sólido. Nos bócios multinodulares, a AAF dos nódulos frios (hipofunção) deve ser realizada com base nas características de suspeita para neoplasia maligna, e não no tamanho.[29]Gharib H, Papini E, Garber JR, et al. American Association of Clinical Endocrinologists, American College of Endocrinology, and Associazione Medici Endocrinologi medical guidelines for clinical practice for the diagnosis and management of thyroid nodules - 2016 update. Endocr Pract. 2016 May;22(5):622-39.
https://www.endocrinepractice.org/article/S1530-891X(20)42954-4/fulltext
http://www.ncbi.nlm.nih.gov/pubmed/27167915?tool=bestpractice.com
A AAF de nódulos tireoidianos <1 cm não é recomendada, a menos que os achados ultrassonográficos suspeitem de neoplasia maligna ou o paciente tenha uma história de alto risco.[1]Haugen BR, Alexander EK, Bible KC, et al; American Thyroid Association Guidelines Task Force on Thyroid Nodules and Differentiated Thyroid Cancer. 2015 American Thyroid Association management guidelines for adult patients with thyroid nodules and differentiated thyroid cancer. Thyroid. 2016 Jan;26(1):1-133.
https://www.liebertpub.com/doi/10.1089/thy.2015.0020
http://www.ncbi.nlm.nih.gov/pubmed/26462967?tool=bestpractice.com
[29]Gharib H, Papini E, Garber JR, et al. American Association of Clinical Endocrinologists, American College of Endocrinology, and Associazione Medici Endocrinologi medical guidelines for clinical practice for the diagnosis and management of thyroid nodules - 2016 update. Endocr Pract. 2016 May;22(5):622-39.
https://www.endocrinepractice.org/article/S1530-891X(20)42954-4/fulltext
http://www.ncbi.nlm.nih.gov/pubmed/27167915?tool=bestpractice.com
Os sistemas de estratificação de risco baseados em ultrassonografia podem ser usados para informar as decisões sobre quando realizar AAF.[11]Tessler FN, Middleton WD, Grant EG, et al. ACR thyroid imaging, reporting and data system (TI-RADS): white paper of the ACR TI-RADS Committee. J Am Coll Radiol. 2017 May;14(5):587-95.
https://www.jacr.org/article/S1546-1440(17)30186-2/fulltext
http://www.ncbi.nlm.nih.gov/pubmed/28372962?tool=bestpractice.com
[43]Hoang JK, Middleton WD, Tessler FN. Update on ACR TI-RADS: successes, challenges, and future directions, from the AJR Special Series on Radiology Reporting and Data Systems. AJR Am J Roentgenol. 2021 Mar;216(3):570-8.
https://www.ajronline.org/doi/10.2214/AJR.20.24608
http://www.ncbi.nlm.nih.gov/pubmed/33112199?tool=bestpractice.com
[44]Russ G, Bonnema SJ, Erdogan MF, et al. European Thyroid Association Guidelines for ultrasound malignancy risk stratification of thyroid nodules in adults: the EU-TIRADS. Eur Thyroid J. 2017 Sep;6(5):225-37.
https://pmc.ncbi.nlm.nih.gov/articles/PMC5652895
http://www.ncbi.nlm.nih.gov/pubmed/29167761?tool=bestpractice.com
O Thyroid Imaging, Reporting, and Data System do American College of Radiology (ACR TI-RADS) classifica nódulos com base em características ultrassonográficas como benignos, não suspeitos, levemente suspeitos, moderadamente suspeitos ou altamente suspeitos para neoplasia maligna (TR1 a TR5).[11]Tessler FN, Middleton WD, Grant EG, et al. ACR thyroid imaging, reporting and data system (TI-RADS): white paper of the ACR TI-RADS Committee. J Am Coll Radiol. 2017 May;14(5):587-95.
https://www.jacr.org/article/S1546-1440(17)30186-2/fulltext
http://www.ncbi.nlm.nih.gov/pubmed/28372962?tool=bestpractice.com
Consulte a seção Classificação. Cada sistema de estratificação de risco tem sua própria orientação sobre o limite para AAF.
Registro dos achados de citologia em amostras de AAF
O Bethesda System for Reporting Thyroid Cytopathology (BSRTC) é comumente usado para relatar achados de citologia em AAF e é recomendado pela American Thyroid Association.[1]Haugen BR, Alexander EK, Bible KC, et al; American Thyroid Association Guidelines Task Force on Thyroid Nodules and Differentiated Thyroid Cancer. 2015 American Thyroid Association management guidelines for adult patients with thyroid nodules and differentiated thyroid cancer. Thyroid. 2016 Jan;26(1):1-133.
https://www.liebertpub.com/doi/10.1089/thy.2015.0020
http://www.ncbi.nlm.nih.gov/pubmed/26462967?tool=bestpractice.com
O Bethesda System inclui seis categorias diagnósticas com um risco implícito de câncer que recomenda a próxima etapa do manejo clínico.[8]Ali SZ, Baloch ZW, Cochand-Priollet B, et al. The 2023 Bethesda system for reporting thyroid cytopathology. Thyroid. 2023 Sep;33(9):1039-44.
https://www.liebertpub.com/doi/10.1089/thy.2023.0141
http://www.ncbi.nlm.nih.gov/pubmed/37427847?tool=bestpractice.com
Consulte a seção Classificação.
Aproximadamente 70% dos nódulos tireoidianos são benignos, com apenas 5% a 10% relatados como "malignos" e o restante recebendo um diagnóstico indeterminado com risco de neoplasia maligna; para este último grupo, o teste molecular é benéfico.[45]Rossi ED, Pantanowitz L, Faquin WC. The role of molecular testing for the indeterminate thyroid FNA. Genes (Basel). 2019 Sep 23;10(10):736.
https://www.mdpi.com/2073-4425/10/10/736
http://www.ncbi.nlm.nih.gov/pubmed/31547603?tool=bestpractice.com
A citologia pode identificar o tipo de câncer de tireoide.[46]Filetti S, Durante C, Hartl DM, et al. ESMO clinical practice guideline update on the use of systemic therapy in advanced thyroid cancer. Ann Oncol. 2022 Jul;33(7):674-84.
https://www.annalsofoncology.org/article/S0923-7534(22)00694-9/fulltext
http://www.ncbi.nlm.nih.gov/pubmed/35491008?tool=bestpractice.com
No entanto, para neoplasias foliculares ou oncocíticas, a citologia não diferencia entre adenoma (benigno) e carcinoma.[47]Ahn HS, Kim HS, Hong MJ. Ultrasonographic and cytologic assessments of follicular neoplasms of the thyroid: predictive features differentiating follicular carcinoma from follicular adenoma. PLoS One. 2022 Jul 21;17(7):e0271437.
https://www.doi.org/10.1371/journal.pone.0271437
http://www.ncbi.nlm.nih.gov/pubmed/35862471?tool=bestpractice.com
[48]McHenry CR, Phitayakorn R. Follicular adenoma and carcinoma of the thyroid gland. Oncologist. 2011;16(5):585-93.
https://academic.oup.com/oncolo/article/16/5/585/6400768?login=false
http://www.ncbi.nlm.nih.gov/pubmed/21482585?tool=bestpractice.com
Nesses casos, a testagem molecular ou cirurgia (por exemplo, lobectomia) para observar a presença de invasão capsular ou vascular são necessárias para confirmar o diagnóstico.[29]Gharib H, Papini E, Garber JR, et al. American Association of Clinical Endocrinologists, American College of Endocrinology, and Associazione Medici Endocrinologi medical guidelines for clinical practice for the diagnosis and management of thyroid nodules - 2016 update. Endocr Pract. 2016 May;22(5):622-39.
https://www.endocrinepractice.org/article/S1530-891X(20)42954-4/fulltext
http://www.ncbi.nlm.nih.gov/pubmed/27167915?tool=bestpractice.com
[49]Cibas ES, Ali SZ. The 2017 Bethesda system for reporting thyroid cytopathology. Thyroid. 2017 Nov;27(11):1341-6.
https://www.liebertpub.com/doi/10.1089/thy.2017.0500
http://www.ncbi.nlm.nih.gov/pubmed/29091573?tool=bestpractice.com
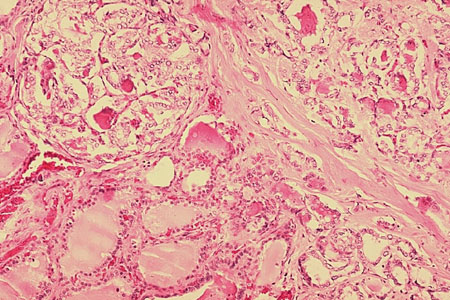
[Figure caption and citation for the preceding image starts]: Histopatologia de carcinoma folicular, tireoideCDC Image Library/Dr Edwin P. Ewing, Jr [Citation ends].
[Figure caption and citation for the preceding image starts]: Histopatologia de carcinoma papilar, tireoide: um corpo de psammoma visível (seta)CDC Image Library/Dr Edwin P. Ewing, Jr [Citation ends].
Exames adicionais a serem considerados
O teste molecular de amostra de AAF pode ser realizado para detectar mutações/alterações genômicas (por exemplo, BRAF V600, MET, RET/PTC, NTRK, RAS, PAX8::PPARG) para aprimorar a interpretação de achados de citologia indeterminados (inclusive neoplasias foliculares ou oncocíticas) e para ajudar a orientar as decisões de tratamento (por exemplo, uso de terapias direcionadas).[37]National Comprehensive Cancer Network. NCCN clinical practice guidelines in oncology: thyroid carcinoma [internet publication].
https://www.nccn.org/professionals/physician_gls/default.aspx
Se a AAF indicar suspeita de linfoma, uma punção por agulha grossa (core biopsy) poderá ser usada para confirmação.[50]Zhang L, Castellana M, Virili C, et al. Fine-needle aspiration to diagnose primary thyroid lymphomas: a systematic review and meta-analysis. Eur J Endocrinol. 2019 Mar;180(3):177-87.
https://eje.bioscientifica.com/view/journals/eje/180/3/EJE-18-0672.xml
http://www.ncbi.nlm.nih.gov/pubmed/30566902?tool=bestpractice.com
No entanto, a punção por agulha grossa (core biopsy) não é recomendada para identificar e avaliar as lesões da tireoide.[51]Novoa E, Gürtler N, Arnoux A, et al. Role of ultrasound-guided core-needle biopsy in the assessment of head and neck lesions: a meta-analysis and systematic review of the literature. Head Neck. 2012 Oct;34(10):1497-503.
http://www.ncbi.nlm.nih.gov/pubmed/22127851?tool=bestpractice.com
[52]Durante C, Hegedüs L, Czarniecka A, et al. 2023 European Thyroid Association clinical practice guidelines for thyroid nodule management. Eur Thyroid J. 2023 Oct 1;12(5):e230067.
https://pmc.ncbi.nlm.nih.gov/articles/PMC10448590
http://www.ncbi.nlm.nih.gov/pubmed/37358008?tool=bestpractice.com
O nível de calcitonina sérica deverá ser verificado se houver suspeita de carcinoma medular de tireoide (por exemplo, na citologia ou quando há história familiar sugestiva de câncer medular familiar ou síndrome de neoplasia endócrina múltipla [NEM]).[4]Wells SA Jr, Asa SL, Dralle H, et al. Revised American Thyroid Association guidelines for the management of medullary thyroid carcinoma. Thyroid. 2015 Jun;25(6):567-610.
https://www.liebertpub.com/doi/10.1089/thy.2014.0335
http://www.ncbi.nlm.nih.gov/pubmed/25810047?tool=bestpractice.com
[37]National Comprehensive Cancer Network. NCCN clinical practice guidelines in oncology: thyroid carcinoma [internet publication].
https://www.nccn.org/professionals/physician_gls/default.aspx
A testagem genética é necessária para pacientes com história familiar de síndromes de NEM ou um diagnóstico citológico de câncer medular da tireoide.[4]Wells SA Jr, Asa SL, Dralle H, et al. Revised American Thyroid Association guidelines for the management of medullary thyroid carcinoma. Thyroid. 2015 Jun;25(6):567-610.
https://www.liebertpub.com/doi/10.1089/thy.2014.0335
http://www.ncbi.nlm.nih.gov/pubmed/25810047?tool=bestpractice.com
[37]National Comprehensive Cancer Network. NCCN clinical practice guidelines in oncology: thyroid carcinoma [internet publication].
https://www.nccn.org/professionals/physician_gls/default.aspx
Quase todos os pacientes com NEM tipo 2A (NEM2A), NEM2B ou câncer medular de tireoide familiar isolado apresentam mutações na linha germinativa do RET (rearranjadas durante a transfecção), e cerca de 50% dos cânceres medulares de tireoide esporádicos apresentam mutações somáticas em RET.[4]Wells SA Jr, Asa SL, Dralle H, et al. Revised American Thyroid Association guidelines for the management of medullary thyroid carcinoma. Thyroid. 2015 Jun;25(6):567-610.
https://www.liebertpub.com/doi/10.1089/thy.2014.0335
http://www.ncbi.nlm.nih.gov/pubmed/25810047?tool=bestpractice.com
Diferentes tipos de mutações RET são responsáveis por diferentes comportamentos biológicos e podem orientar o manejo futuro (como rastreamento e tratamento de feocromocitoma e hiperparatireoidismo).[53]Viola D, Elisei R. Management of medullary thyroid cancer. Endocrinol Metab Clin North Am. 2019 Mar;48(1):285-301.
http://www.ncbi.nlm.nih.gov/pubmed/30717909?tool=bestpractice.com
Mutações em RAS estão presentes em até 23% dos casos esporádicos de câncer medular de tireoide.[28]Prete A, Borges de Souza P, Censi S, et al. Update on fundamental mechanisms of thyroid cancer. Front Endocrinol (Lausanne). 2020 Mar 13;11:102.
https://www.frontiersin.org/articles/10.3389/fendo.2020.00102/full
http://www.ncbi.nlm.nih.gov/pubmed/32231639?tool=bestpractice.com
Os pacientes com câncer medular devem ser submetidos a exames de imagem (ultrassonografia, TC) pré-operatórios do pescoço para avaliar os linfonodos cervicais.[4]Wells SA Jr, Asa SL, Dralle H, et al. Revised American Thyroid Association guidelines for the management of medullary thyroid carcinoma. Thyroid. 2015 Jun;25(6):567-610.
https://www.liebertpub.com/doi/10.1089/thy.2014.0335
http://www.ncbi.nlm.nih.gov/pubmed/25810047?tool=bestpractice.com
A mobilidade das pregas vocais deve ser examinada em pacientes com alteração da voz/rouquidão.[1]Haugen BR, Alexander EK, Bible KC, et al; American Thyroid Association Guidelines Task Force on Thyroid Nodules and Differentiated Thyroid Cancer. 2015 American Thyroid Association management guidelines for adult patients with thyroid nodules and differentiated thyroid cancer. Thyroid. 2016 Jan;26(1):1-133.
https://www.liebertpub.com/doi/10.1089/thy.2015.0020
http://www.ncbi.nlm.nih.gov/pubmed/26462967?tool=bestpractice.com
A laringoscopia, que pode mostrar uma prega vocal paralisada, é recomendada em pacientes com anormalidades vocais pré-operatórias e em pacientes com extensão extratireoidiana macroscópica de câncer posteriormente ou extenso envolvimento nodal, mesmo se a voz for normal.[1]Haugen BR, Alexander EK, Bible KC, et al; American Thyroid Association Guidelines Task Force on Thyroid Nodules and Differentiated Thyroid Cancer. 2015 American Thyroid Association management guidelines for adult patients with thyroid nodules and differentiated thyroid cancer. Thyroid. 2016 Jan;26(1):1-133.
https://www.liebertpub.com/doi/10.1089/thy.2015.0020
http://www.ncbi.nlm.nih.gov/pubmed/26462967?tool=bestpractice.com
A tireoglobulina sérica é útil para monitoramento pós-tratamento de câncer de tireoide papilar ou folicular (inclusive oncocítico), mas não para o diagnóstico de malignidade tireoidiana. Ela também é útil para prever o estado futuro livre da doença antes da terapia pós-operatória com radioiodo para ablação restante com radioiodo, onde os baixos níveis de tireoglobulina antes da ablação podem ser considerados um fator de risco favorável em pacientes com câncer de tireoide diferenciado.[54]Webb RC, Howard RS, Stojadinovic A, et al. The utility of serum thyroglobulin measurement at the time of remnant ablation for predicting disease-free status in patients with differentiated thyroid cancer: a meta-analysis involving 3947 patients. J Clin Endocrinol Metab. 2012 Aug;97(8):2754-63.
https://academic.oup.com/jcem/article/97/8/2754/2823340
http://www.ncbi.nlm.nih.gov/pubmed/22639291?tool=bestpractice.com