Imagens e vídeos
IMAGENS

Avaliação de massa tireoidiana
Bócio
Cortesia de Mediscan/Alamy; usado com permissão
Veja esta imagem em contexto nas seguintes seções:

Avaliação de massa tireoidiana
Características sonográficas e tamanho limite do nódulo para aspiração com agulha fina (AAF).
Criado pelo BMJ Knowledge Centre e pelo Dr. BC Stack Jr; adaptado de Haugen BR, Alexander EK et al. Thyroid 2016 Jan;26(1):1-133
Veja esta imagem em contexto nas seguintes seções:

Avaliação de massa tireoidiana
Exames de captação de iodo: apresentações típicas de ausência de captação na tireoidite (figura superior); captação aumentada difusa na doença de Graves (imagem inferior esquerda); áreas de captação elevada e reduzida em bócio multinodular tóxico (imagem central inferior); área única de captação elevada em um adenoma tóxico (figura inferior direita)
Cortesia do Dr. Petros Perros
Veja esta imagem em contexto nas seguintes seções:

Avaliação de massa tireoidiana
Calculadora TI-RADS: gráfico mostrando cinco categorias com base no léxico ACR Thyroid Imaging, Reporting and Data System (TI-RADS), níveis TR e critérios para aspiração com agulha fina ou ultrassonografia de acompanhamento
Adaptado de Tessler FN et al. J Am Coll Radiol 2017 May;14(5):587-95
Veja esta imagem em contexto nas seguintes seções:

Avaliação de massa tireoidiana
Algoritmo para avaliação da massa tireoidiana
Criado pelo BMJ Knowledge Centre e Dr B.C. Stack Jr (AAF, aspiração com agulha fina; PTH, paratormônio; TSH, hormônio estimulante da tireoide)
Veja esta imagem em contexto nas seguintes seções:

Avaliação de massa tireoidiana
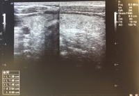
Imagem de ultrassonografia do nódulo tireoidiano
Cortesia de Getty images; usado com permissão
Veja esta imagem em contexto nas seguintes seções:
O uso deste conteúdo está sujeito ao nosso aviso legal