Abordagem
Náuseas e vômitos são comuns em crianças e devem-se a uma gama variada de condições. Apesar dos diversos testes complexos disponíveis, o diagnóstico depende principalmente de uma anamnese completa e do exame físico.
Os sintomas de alerta que sempre devem ser avaliados, pois podem exigir tratamento urgente, incluem letargia, febre, depleção de volume, perda de peso, vômitos biliosos, hematêmese, papiledema, desconforto abdominal ou a presença de uma massa.
História
A náusea é caracterizada pela sensação subjetiva e desagradável de vômito iminente. Com frequência, a sensação pode localizar-se no estômago ou na garganta e, frequentemente, é acompanhada por sintomas autonômicos, como tontura, palidez e sudorese. O vômito é definido como a expulsão oral vigorosa do conteúdo gástrico ou intestinal associada à contração dos músculos abdominais e torácicos.
É frequente que náuseas e vômitos ocorram simultaneamente em diversas afecções. O vômito é, em geral, precedido por náusea; as únicas exceções são a síndrome de ruminação, na qual a regurgitação oral não é precedida por náusea, e possivelmente, a doença do refluxo gastroesofágico (DRGE).
A náusea nem sempre é seguida por vômito; esse é o caso, por exemplo, de condições como a náusea funcional crônica, a náusea postural e a dispepsia funcional.
As seguintes informações devem ser extraídas do paciente, dos pais ou do cuidador.
Viagens, ingestão de alimento ou água fresca, contato com doentes: pode indicar uma infecção.
Viagem com movimento passivo: pode indicar cinetose/enjoo de viagem.
Trauma prévio: pode indicar concussão.
Ingestão de produto(s) tóxico(s) ou uso de medicamento(s): pode indicar uma causa ambiental. Entre as exposições mais comuns em crianças com idade ≤5 anos estavam cosméticos, substâncias de limpeza, analgésicos, pesticidas, preparações para tosse e resfriado, medicamentos cardiovasculares, estimulantes e drogas ilícitas, e óleos essenciais.[68] Efeitos adversos de medicamentos: os mais comumente implicados incluem medicamentos quimioterápicos, analgésicos opioides e medicamentos anticolinérgicos, como antidepressivos ou antiespasmódicos. Os anti-inflamatórios não esteroidais podem provocar náuseas e vômitos secundários a inflamação gastrointestinal. Outros medicamentos incluem os anestésicos e os antibióticos.
História familiar: pode indicar uma doença inflamatória crônica, doenças genéticas (por exemplo, distúrbios metabólicos) ou disfunções hepáticas.
Relação dos sintomas a tipos de alimentos: pode indicar uma alergia alimentar.
A etiologia dos sintomas é, com frequência, dependente da idade e as condições e doenças abaixo ocorrem mais comumente em cada uma das seguintes faixas etárias.
[Figure caption and citation for the preceding image starts]: Etiologia de náuseas e vômitos em crianças e adolescentes agrupados por idadeDos acervos do Dr. R.A. Gomez-Suarez e Dr. J.E. Fortunato; usado com permissão [Citation ends].
É importante que o médico diferencie os sintomas agudos dos crônicos.
A etiologia da náusea crônica é, geralmente, difícil de definir e, para melhor classificá-la, foi divulgada uma declaração de consenso pela Fundação Rome. Segundo a Fundação Rome, a náusea crônica é definida como aquela que ocorre várias vezes por semana, incômoda e nem sempre associada ao vômito, na ausência de doença endoscópica ou metabólica. Esses critérios devem ter sido satisfeitos nos últimos 3 meses, com o início dos sintomas ocorrendo pelo menos 6 meses antes do diagnóstico.[1] No consenso Rome IV mais recente, não foi incluída uma definição específica de náusea crônica para crianças ou adolescentes.[1][2]
A maioria dos casos observados nas unidades básicas de saúde são agudos, com sintomas que ocorrem há menos de uma semana. Nesse contexto, a gravidade dos sintomas e seu impacto sobre a saúde do paciente devem ser avaliados prioritariamente. Especificamente, a quantidade e duração dos episódios e a capacidade de manter a hidratação ou a nutrição adequada podem precisar ser tratados antes de se tentar determinar a causa.
Os sintomas crônicos podem estar associados a distúrbios estruturais ou inflamatórios, malignidades, ou a distúrbios funcionais gastrointestinais e não gastrointestinais; assim, uma avaliação cuidadosa e encaminhamento devem ser sempre considerados.
É importante que o médico saiba o momento exato dos sintomas do paciente: dia ou noite; durante o sono; antes, durante ou após as refeições. Isso é particularmente importante no caso de náuseas e vômitos recorrentes ou crônicos.
Quanto à frequência, os episódios podem ser classificados como cíclicos (ou seja, quando ocorrem períodos assintomáticos, como nos vômitos cíclicos) ou contínuos.
Se os sintomas ocorrem pela manhã e estão associados a mudanças posturais (por exemplo, ao levantar), deve-se suspeitar de disautonomia, náusea postural e taquicardia ortostática.
Se os sintomas ocorrem imediatamente depois que o paciente se alimenta, deve-se suspeitar de ruminação, especialmente no contexto de regurgitação sem náusea. Ela parece ser mais comum nas crianças com atraso no desenvolvimento.
Se os sintomas ocorrem mais tarde durante o dia ou após as refeições, com presença de alimentos não digeridos no vômito, a gastroparesia deve ser considerada. O retardo no esvaziamento gástrico pode ser uma ocorrência comum após uma infecção viral (gastroparesia pós-viral).
Se os sintomas ocorrem durante a noite e acordam o paciente, ou ocorrem ao acordar, isso pode sugerir condições mais graves, como hipertensão intracraniana, principalmente quando associadas a cefaleias intensas. A hipertensão intracraniana pode ser causada por tumor cerebral, pseudotumor cerebral (hipertensão intracraniana benigna), hidrocefalia, infecção ou mau funcionamento da derivação ventriculoperitoneal.
No caso de DRGE, é importante diferenciar a regurgitação sem esforço do vômito. A regurgitação geralmente ocorre logo após as refeições e pode ser associada à pirose.
As características do vômito, quando presente, são relevantes para o diagnóstico.
O vômito pode conter alimento digerido vindo do estômago, ser de coloração amarela, bilioso ou, em alguns casos, ser sanguinolento ou com sangue puro.
O vômito bilioso é comum em casos de obstrução intestinal como na má rotação intestinal e na atresia do intestino delgado. Ele também pode estar presente na doença de Hirschsprung.
O vômito em jato (pós-prandial, não bilioso) é específico da estenose pilórica.
A hematêmese é comum na DRGE, na úlcera péptica (UP) e na bulimia nervosa.
Não é incomum perceber que o vômito evolui em vários episódios consecutivos: por exemplo, passagem de conteúdo alimentar para bilioso e, depois, para hemorrágico. Nessas circunstâncias, a hematêmese pode ser decorrente da laceração de Mallory-Weiss (laceração da mucosa na junção gastroesofágica) resultante de ânsia de vômito ou gastrite.
A presença de sintomas associados pode ajudar a direcionar o médico até o diagnóstico.
Diarreia (especialmente hemorrágica, líquida ou com odor desagradável), dor abdominal e febre são sintomas manifestos comuns da gastroenterite. Diarreia e dor abdominal também podem indicar linfoma do intestino delgado.[31] Se a diarreia for explosiva, pode indicar doença de Hirschsprung. A diarreia hemorrágica pode indicar também síndrome hemolítico-urêmica. A hematoquezia pode indicar intussuscepção (pode ser descrita como fezes com aspecto de geleia de morango) ou má rotação intestinal. Melena pode indicar úlcera péptica.
Febre, cefaleia, fotofobia, confusão mental e rigidez da nuca podem indicar meningite. A rigidez da nuca é incomum em crianças <2 anos de idade, mas sua ausência não descarta a meningite.
Febre também pode indicar outras causas de infecção. Otalgia é característica da otite média. Disúria, polaciúria ou dor no flanco pode indicar uma infecção do trato urinário ou, se a dor for intensa, nefrolitíase. Sintomas no trato respiratório superior (por exemplo, tosse, dispneia) podem indicar pneumonia.
Cefaleia, fotofobia e ausência de febre podem sugerir enxaqueca como fator precipitante. Os sintomas podem ser precedidos por aura.
Um bebê que tem muita fome imediatamente depois de ser alimentado (como se estivesse "morrendo de fome") é característico de estenose pilórica.
A manifestação aguda de dor intensa nos testículos/saco escrotal ou de dor abdominal localizada pode indicar torção testicular ou ovariana, respectivamente. Dor na região média epigástrica que irradia para as costas pode indicar pancreatite aguda.
Poliúria, polidipsia e polifagia podem indicar cetoacidose diabética.
Disfagia, incluindo sufocamento, impactação alimentar e odinofagia podem indicar esofagite eosinofílica; 50% a 60% dos pacientes também apresentam rinite ou asma.[46]
Falha na eliminação do mecônio em até 48 horas após o nascimento: pode indicar doença de Hirschsprung ou atresia do intestino delgado.
A localização da sensação de náusea pode ser muito útil para a identificação das possíveis causas.
Náusea na região epigástrica pode estar relacionada à dispepsia.
Os pacientes que a localizam no pescoço ou na garganta podem ter DRGE sintomática.
Exame físico
Um exame físico completo é sempre recomendado, mas, frequentemente, os pacientes não apresentam achados específicos no exame. Cada sistema do corpo deve ser criteriosamente examinado.
Depleção de volume: uma redução de mais de 5% do peso deve levantar suspeitas sobre a possibilidade de depleção de volume. A presença de taquicardia e hipotensão com perda de peso >10% a 15% é associada a uma hipovolemia mais pronunciada e à necessidade de ressuscitação adequada com fluidos. Outros sinais de depleção de volume incluem fontanela anterior deprimida (em bebês) ou olhos encovados, mucosas secas, saliva viscosa, perda de turgor cutâneo e enchimento capilar lento. A depleção de volume pode estar associada a infecções, obstrução ou distúrbios metabólicos.
Febre, palidez e letargia: sinais típicos de infecção.
Sibilância ou estertores: podem ser revelados no exame do tórax e podem indicar pneumonia.
Alterações da pele: icterícia, petéquias ou erupção cutânea púrpura podem sugerir um processo infeccioso. A icterícia também pode ser observada nos bebês com estenose pilórica, hepatite A ou distúrbios metabólicos. A hiperpigmentação das mucosas sugere doença de Addison. A perda do turgor cutâneo sugere depleção de volume, e palidez sugere anemia.
Sinais neurológicos: convulsões, confusão ou estado mental alterado, mudanças de comportamento, rigidez da nuca, papiledema, marcha anormal, distúrbios visuais, paralisia de nervo craniano ou hemorragia na retina podem sugerir trauma ou hipertensão intracraniana. Uma fontanela abaulada nos bebês também pode sugerir hipertensão intracraniana. Pode haver amnésia após uma lesão cerebral traumática.
Hálito cetônico: específico da cetoacidose diabética. Outros sinais incluem taquicardia, hipotensão, hiperventilação e estado mental alterado.
Retardo do crescimento pôndero-estatural: um sinal inespecífico que pode ocorrer nos distúrbios metabólicos, na obstrução, nas alergias alimentares e nos distúrbios gastrointestinais funcionais.
Sintomas inexplicados podem indicar transtorno factício. Sintomas que não respondem ao tratamento clínico também justificam esse diagnóstico ou podem indicar síndrome da hiperêmese por cannabis.
O exame abdominal com frequência fornece vários indícios para o diagnóstico.
Ausência de ruídos hidroaéreos e presença de distensão abdominal: podem sugerir obstrução gastrointestinal.
Sensibilidade ou dor à palpação: deve alertar o examinador para um possível processo inflamatório agudo no abdome, como enterite ou apendicite.
Massa epigástrica ou peristaltismo visível: pode sugerir estenose pilórica em bebês. Uma massa palpável também pode indicar alguns outros tipos de obstrução ou, possivelmente, torção gonadal ou nefrolitíase, dependendo da sua localização.
Hepatomegalia: frequentemente observada em situações de condições metabólicas, como intolerância à frutose ou hepatite A.
Sensibilidade no quadrante superior direito: sugere hepatite viral ou irritante tóxico para o fígado.
Sensibilidade costovertebral: presente em adolescentes com infecções do trato urinário ou nos pacientes com nefrolitíase.
A distensão abdominal pode indicar gastroenterite ou obstrução.
O exame retal pode ser considerado nos casos difíceis ou atípicos, mas há evidências limitadas que sustentem seu uso no diagnóstico de uma constipação funcional.[73][74] O exame retal só deve ser realizado por profissionais da saúde competentes para interpretar características de anormalidades anatômicas ou da doença de Hirschsprung.[75]
A otoscopia deve ser realizada se houver suspeita de otite média (por exemplo, crianças maiores com otalgia ou crianças pequenas que ficam puxando a orelha). Uma membrana timpânica inchada e miringite são diagnósticas de otite média.
Investigações laboratoriais iniciais
Anamnese e exame físico completos orientam quanto aos testes diagnósticos que devem ser solicitados. A maioria dos casos não requer uma avaliação extensa. Os testes diagnósticos devem ser orientados pelo quadro clínico.[4]
Hemograma completo, testes da função renal, testes da função hepática (TFHs), medidas de enzimas pancreáticas, nível glicêmico, corpos cetônicos séricos, gasometria arterial, cultura de urina e urinálise devem ser considerados, inicialmente, em todos os pacientes, especialmente se eles aparentarem mal estado geral. A análise dos eletrólitos séricos deve ser solicitada para os pacientes com depleção de volume, que podem precisar de fluidoterapia intravenosa. Se houver suspeita de meningite ou de pseudotumor cerebral, deve ser realizada uma punção lombar. Se houver suspeita de hepatite viral, devem ser solicitados exames de anticorpos para hepatite A. Um exame de sangue oculto nas fezes positivo aumenta a preocupação em relação a doenças gastrointestinais inflamatórias. Exames de fezes podem ser úteis se o paciente tiver diarreia. Culturas de sangue ou de expectoração podem ser solicitadas para confirmar a presença de infecção. Testes de detecção de medicamentos na urina e/ou soro, devem ser solicitados se houver suspeita de ingestão de produtos tóxicos.
A presença de acidose, cetose e hiperglicemia sugere cetoacidose diabética. A síndrome hemolítico-urêmica é caracterizada pela presença de anemia microangiopática, trombocitopenia e insuficiência renal. A anemia pode ocorrer também na gastroenterite grave, na úlcera péptica e nos transtornos alimentares. O desequilíbrio dos eletrólitos séricos pode ocorrer em diversas afecções, incluindo distúrbios metabólicos ou endócrinos, transtornos alimentares, ingestão de produtos tóxicos ou medicamentos, e em quaisquer condições associadas à depleção de volume. A contagem leucocitária (WBC) é, em geral, elevada e a eosinofilia periférica indica doença eosinofílica. Teste da função hepática elevado pode indicar hepatite A, especialmente no contexto de um teste positivo de imunoglobulinas do vírus da hepatite A.
Exames de imagem iniciais
Em geral, nenhum exame de imagem é necessário, especialmente se o quadro clínico puder ser explicado pela anamnese e pelo exame físico.
Exames de imagem relevantes incluem os seguintes:
Radiografia abdominal simples (incluindo as incidências ortostática e em decúbito lateral [cross-table]): deve ser obtida em caso de suspeita de obstrução intestinal.[Figure caption and citation for the preceding image starts]: Radiografia abdominal mostrando impactação fecal em um paciente com constipaçãoDos acervos do Dr. R.A. Gomez-Suarez e Dr. J.E. Fortunato; usado com permissão [Citation ends].
[Figure caption and citation for the preceding image starts]: Radiografia abdominal mostrando cólon direito cheio, e cólon esquerdo e reto vazios em um paciente com intussuscepçãoDos acervos do Dr. R.A. Gomez-Suarez e Dr. J.E. Fortunato; usado com permissão [Citation ends].
[Figure caption and citation for the preceding image starts]: Radiografia abdominal mostrando má rotação intestinal; observe que o intestino delgado está localizado à direita da linha médiaDos acervos do Dr. R.A. Gomez-Suarez e Dr. J.E. Fortunato; usado com permissão [Citation ends].
[Figure caption and citation for the preceding image starts]: Radiografia abdominal com volvo do intestino delgado, uma causa comum de vômito biliosoDos acervos do Dr. R.A. Gomez-Suarez e Dr. J.E. Fortunato; usado com permissão [Citation ends].
Ultrassonografia: em muitos locais, a ultrassonografia é considerada o exame de escolha para crianças, antes da TC, a fim de evitar exposição à radiação. Ela deve ser realizada por um operador com experiência nesse tipo de exame em crianças. É útil para diagnosticar hidrocefalia, estenose pilórica, intussuscepção, apendicite, nefrolitíase e torção gonadal.
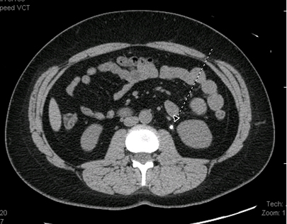
Tomografia computadorizada (TC) abdominal: pode ser realizada se houver suspeita de doença inflamatória no abdome (por exemplo, apendicite, pancreatite), principalmente se essa suspeita for reforçada por dados de exames laboratoriais, como contagem leucocitária elevada ou aumento de enzimas pancreáticas.[80] Também pode ser solicitada se houver suspeita de obstrução, torção ovariana, neoplasia maligna ou nefrolitíase. Em casos de suspeita de nefrolitíase, não deve ser usado contraste intravenoso.[Figure caption and citation for the preceding image starts]: Tomografia computadorizada (TC) do abdome com pequena calcificação em área do espaço ureteral esquerdo, correspondendo à presença de nefrolitíaseDos acervos do Dr. R.A. Gomez-Suarez e Dr. J.E. Fortunato; usado com permissão [Citation ends].

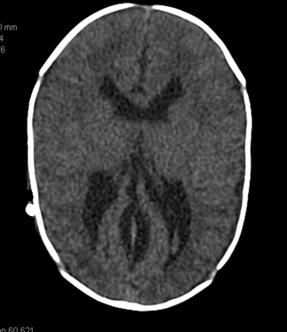
TC/ressonância nuclear magnética (RNM) de crânio: deve ser realizada se houver suspeita de hipertensão intracraniana, principalmente se os sintomas forem acompanhados por cefaleia intensa. Em neonatos e bebês pequenos, é preferível a ultrassonografia.[Figure caption and citation for the preceding image starts]: Tomografia computadorizada (TC) mostrando volume aumentado dos ventrículos laterais secundário a hidrocefalia não comunicanteDos acervos do Dr. R.A. Gomez-Suarez e Dr. J.E. Fortunato; usado com permissão [Citation ends].
[Figure caption and citation for the preceding image starts]: Tomografia computadorizada (TC) de crânio mostrando tumor cerebral parietotemporal à direitaDos acervos do Dr. R.A. Gomez-Suarez e Dr. J.E. Fortunato; usado com permissão [Citation ends].
Radiografia torácica: se houver suspeita de pneumonia.
Investigações subsequentes
Os exames laboratoriais e de imagem acima são, em geral, suficientes para fazer diversos diagnósticos comuns; outros exames, porém, podem ser necessários, entre os quais estão os seguintes:
Radiografia do trato gastrointestinal superior ou TC do abdome ou enterografia por RNM (úteis para detectar problemas anatômicos, incluindo obstrução intestinal intermitente ou parcial: por exemplo, má rotação intestinal, estenose pilórica, síndrome da artéria mesentérica superior).
Endoscopia digestiva alta ou colonoscopia: útil para visualizar a mucosa intestinal e obter amostras de tecido para análise patológica quando há suspeita de doenças inflamatórias.
Cintilografia do esvaziamento gástrico, eletrogastrogramas ou manometria: podem ser úteis em condições como gastroparesia refratária ou náusea crônica inexplicada.
Enema: um enema de bário é útil para o diagnóstico de atresia do intestino delgado ou da doença de Hirschsprung; um enema diagnóstico pode ser usado para auxiliar no diagnóstico de intussuscepção e também agir como intervenção terapêutica.[Figure caption and citation for the preceding image starts]: Enema de bário com zonas de transição em pacientes com doença de HirschsprungDos acervos do Dr. R.A. Gomez-Suarez e Dr. J.E. Fortunato; usado com permissão [Citation ends].

Exame com marcadores de Sitz: útil nos casos de constipação crônica ou refratária.[Figure caption and citation for the preceding image starts]: Exame com marcadores de Sitz com retenção dos marcadores ingeridos, na região retossigmoide de um paciente com constipaçãoDos acervos do Dr. R.A. Gomez-Suarez e Dr. J.E. Fortunato; usado com permissão [Citation ends].

Biópsia do intestino delgado: recomendada para os pacientes com sintomas crônicos associados a vômitos (por exemplo, diarreia, dor abdominal). Pode levar ao diagnóstico de inflamação do intestino delgado ou de causas infecciosas, incluindo giardíase. Também pode ajudar no diagnóstico da intolerância à lactose.
Teste autonômico (incluindo o teste da mesa inclinável): útil quando os sintomas sugerem disautonomia como mecanismo primário.
Os testes de alergia alimentar (por exemplo, teste alérgico cutâneo por puntura) são indicados quando há suspeita dessa condição.
Eletrocardiograma (ECG) ou ecocardiograma: útil nos transtornos alimentares para detecção de arritmias.
Para a síndrome dos vômitos cíclicos, testes diagnósticos adicionais são realizados eventualmente na consulta com o objetivo de afastar outras afecções.
O uso deste conteúdo está sujeito ao nosso aviso legal