Imagens e vídeos
IMAGENS

Avaliação da ataxia
Deformidade de pés cavos na ataxia de Friedreich
Do acervo de Dr. S. H. Subramony; usado com permissão
Veja esta imagem em contexto nas seguintes seções:

Avaliação da ataxia
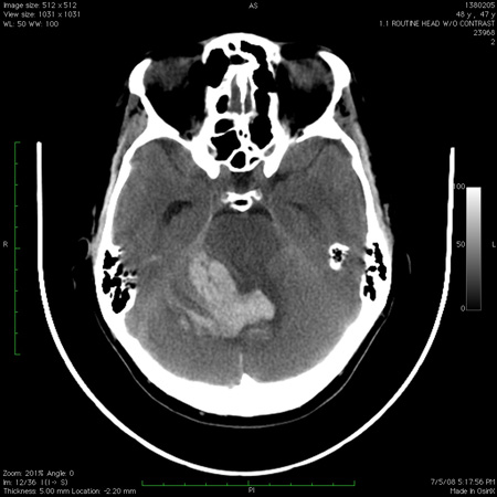
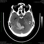
Tomografia computadorizada do cérebro mostrando hemorragia no cerebelo com extensão para o quarto ventrículo
Do acervo de Dr. S. H. Subramony; usado com permissão
Veja esta imagem em contexto nas seguintes seções:

Avaliação da ataxia
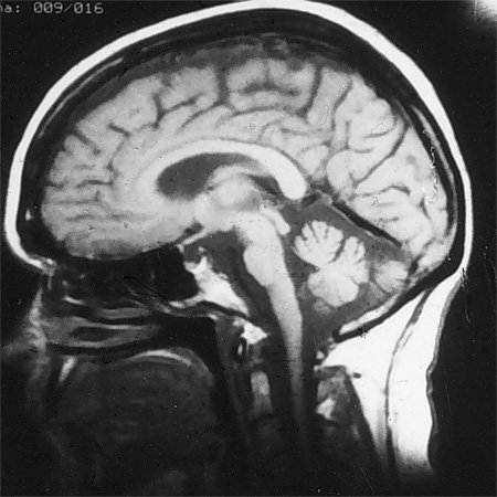
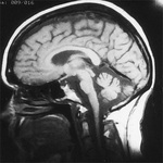
Ressonância nuclear magnética (RNM) do cérebro mostrando atrofia cerebelar e do tronco encefálico na SCA 1
Do acervo de Dr. S. H. Subramony; usado com permissão
Veja esta imagem em contexto nas seguintes seções:

Avaliação da ataxia
Telangiectasia conjuntival precoce em um paciente com ataxia-telangiectasia
Do acervo de Dr. S. H. Subramony; usado com permissão
Veja esta imagem em contexto nas seguintes seções:

Avaliação da ataxia
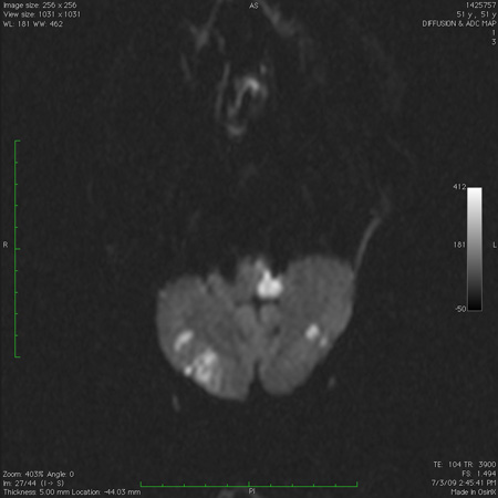
Infarto medular dorsolateral junto com infartos dispersos no cerebelo, observado na imagem de ressonância nuclear magnética ponderada na sequência de difusão
Do acervo de Dr. S. H. Subramony; usado com permissão
Veja esta imagem em contexto nas seguintes seções:

Avaliação da ataxia
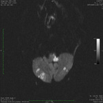
Infarto cerebelar bilateral agudo, observado na ressonância nuclear magnética de sequência de imagem ponderada por difusão
Do acervo de Dr. S. H. Subramony; usado com permissão
Veja esta imagem em contexto nas seguintes seções:

Avaliação da ataxia
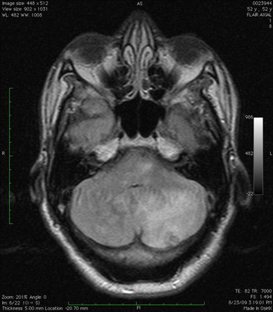
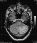
Infarto cerebelar observado através de ressonância nuclear magnética (sequência de recuperação da inversão atenuada por fluidos): observe a presença de edema secundário e a obliteração do quarto ventrículo
Do acervo de Dr. S. H. Subramony; usado com permissão
Veja esta imagem em contexto nas seguintes seções:

Avaliação da ataxia
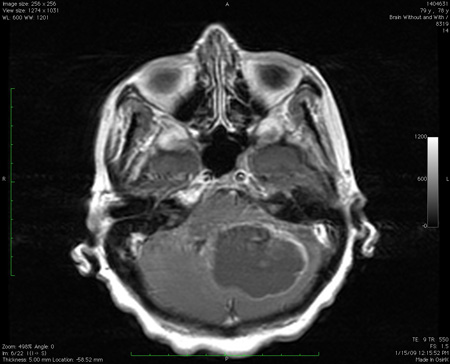
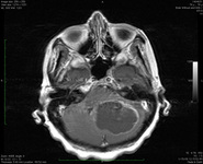
Lesão de massa grande no cerebelo com efeitos de pressão, conforme observado na ressonância nuclear magnética (RNM)
Do acervo de Dr. S. H. Subramony; usado com permissão
Veja esta imagem em contexto nas seguintes seções:

Avaliação da ataxia
Xantoma tendíneo observado na xantomatose cerebrotendinosa
Do acervo do Dr. S. H. Subramony, com agradecimento a Dr. Uday Muthane; usado com permissão
Veja esta imagem em contexto nas seguintes seções:
O uso deste conteúdo está sujeito ao nosso aviso legal