Imagens e vídeos
IMAGENS

Avaliação da psicose
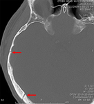
Fratura occipital se estendendo até o forame magno: risco de compressão do tronco encefálico por hematoma.
Do acervo de aulas de Demetrios Demetriades, Division of Trauma and Surgical Intensive Care, LAC/USC Trauma Center, Keck School of Medicine da USC; usada com permissão
Veja esta imagem em contexto nas seguintes seções:

Avaliação da psicose
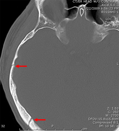
Fratura parietal linear sem depressão
Do acervo de aulas de Demetrios Demetriades, Division of Trauma and Surgical Intensive Care, LAC/USC Trauma Center, Keck School of Medicine da USC; usada com permissão
Veja esta imagem em contexto nas seguintes seções:

Avaliação da psicose
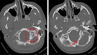
Fratura do osso temporal.
Do acervo de aulas de Demetrios Demetriades, Division of Trauma and Surgical Intensive Care, LAC/USC Trauma Center, Keck School of Medicine da USC; usada com permissão
Veja esta imagem em contexto nas seguintes seções:

Avaliação da psicose
Olho com anel de Kayser-Fleischer
Adaptado do BMJ (2009), usado com permissão; copyright 2009 pelo BMJ Publishing Group
Veja esta imagem em contexto nas seguintes seções:

Avaliação da psicose
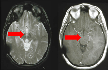
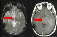
RNM: T2 e T1 pós-contraste, demonstrando glioma do teto mesencéfalo (grau II).
Do acervo pessoal de Karine Michaud, University of California, San Francisco; usada com permissão
Veja esta imagem em contexto nas seguintes seções:

Avaliação da psicose
Paciente com síndrome de Cushing, antes e depois da terapia.
Do acervo de Ty Carroll e James W. Findling, Endocrinology Center, Medical College of Wisconsin; usada com permissão
Veja esta imagem em contexto nas seguintes seções:

Avaliação da psicose
Ressonância nuclear magnética (RNM) com recuperação da inversão atenuada de fluido (FLAIR) e agente de contraste gadolínio, exibindo lesões típicas observadas na esclerose múltipla (EM) nas regiões periventriculares.
Do acervo pessoa de Lael A. Stone, Mellen Center for MS Treatment and Research, Neurological Institute, Cleveland Clinic Foundation; usada com permissão
Veja esta imagem em contexto nas seguintes seções:

Avaliação da psicose
Sífilis secundária apresentando máculas e pápulas pigmentadas na pele.
CDC/Susan Lindsley; usada com permissão
Veja esta imagem em contexto nas seguintes seções:

Avaliação da psicose
Cancro sifilítico primário no lábio.
Centros de Controle e Prevenção de Doenças (CDC); usado com permissão
Veja esta imagem em contexto nas seguintes seções:
O uso deste conteúdo está sujeito ao nosso aviso legal