Abordagem
A avaliação do paciente com psicose aguda inclui uma história e exame físico detalhados, assim como investigações relevantes. Com base nos achados iniciais, outros testes diagnósticos podem ser necessários. Causas secundárias devem ser consideradas e descartadas antes da psicose ser atribuída a um transtorno psicótico primário. A causa secundária mais comum de psicose é a toxicidade por drogas de uso recreativo, medicamentos prescritos ou de venda livre. Pacientes com causas orgânicas, como anormalidades estruturais cerebrais ou síndromes metabólicas, geralmente apresentam outras manifestações físicas facilmente detectáveis pela anamnese, exame neurológico ou exames laboratoriais de rotina. Exames de imagem cranioencefálicos são reservados a pacientes com indicações específicas, como trauma cranioencefálico ou sinais neurológicos focais. É improvável que o uso rotineiro de tais imagens revele uma causa orgânica subjacente, mas a prática aceita varia dependendo da localização.[57]
História médica
Uma anamnese cuidadosa deve ser realizada para que possíveis causas orgânicas da psicose sejam identificadas. A idade do paciente, o histórico, o emprego, os estressores, a história médica e a história de início e evolução dos sintomas psicóticos são essenciais para um diagnóstico diferencial.[58] Deve-se fazer uma anamnese detalhada, mesmo se o paciente tiver um transtorno psicótico primário conhecido, pois causas orgânicas e psiquiátricas (isto é, não orgânicas) podem coexistir. Os aspectos específicos da história incluem:
História de trauma cranioencefálico recente ou prévio: um trauma cranioencefálico recente deve levantar suspeita de hematoma subdural. Um trauma cranioencefálico prévio pode causar um transtorno convulsivo e eleva o risco de esquizofrenia.
Convulsões recentes ou história conhecida de transtorno convulsivo: é importante estabelecer o momento de início da psicose em relação à atividade convulsiva (pós-ictal, ictal e interictal). Uma história de epilepsia é um fator de risco para psicose.
Sintomas neurológicos: os principais sintomas que devem levantar suspeita de doenças de origem orgânica do sistema nervoso central (SNC) abrangem novos episódios ou alterações no padrão de cefaleias, fraqueza focal ou perda sensorial, distúrbios da visão (visão dupla ou perda parcial da visão) e deficits discursivos, inclusive disartrias e afasias. Movimentos anormais do corpo, perda de memória e tremor devem levantar suspeitas de distúrbios neurodegenerativos em pacientes idosos. A consciência flutuante pode indicar delirium.
Uso de drogas recreativas: qualquer uso recente de drogas recreativas como álcool, cocaína, maconha (cannabis), anfetaminas ou fenciclidina deve levantar suspeita de psicose induzida por drogas. Uma história de abuso de álcool, benzodiazepínicos ou barbitúricos, seguida por cessação abrupta deve levantar suspeitas de uma síndrome de abstinência, especialmente se o início for abrupto. O ASSIST-Lite é uma ferramenta de rastreamento breve desenvolvida pela Organização Mundial da Saúde (OMS) que foi desenvolvida para ajudar a detectar e controlar o uso de substâncias e problemas relacionados em ambientes de saúde.[59]
Medicamentos prescritos: medicamentos desencadeantes comuns abrangem anticolinérgicos, agonistas dopaminérgicos, corticosteroides, medicamentos adrenérgicos (por exemplo, estimulantes, propranolol, clonidina) e hormônios tireoidianos. É importante estabelecer quando o tratamento com novos medicamentos teve início ou quando alterações de doses ocorreram, e o modo como a sequência temporal se relaciona ao início dos sintomas.
Medicamentos de venda livre: normalmente incluem anti-histamínicos, dextrometorfano e os medicamentos que contenham fenilpropanolamina, especialmente se usados cronicamente ou em doses muito elevadas.
Exposição a metais pesados: se a principal fonte de água for um poço artesiano ou o paciente tiver uma ocupação ou hobby que envolva exposição a substâncias químicas ou metais pesados, deve-se suspeitar de envenenamento por metais pesados. Sintomas físicos da intoxicação por chumbo incluem náuseas, vômitos, diarreia, anemia, fraqueza nos membros e convulsões. Sintomas comuns de envenenamento por arsênico são vômitos, diarreia, insuficiência renal, pigmentação das solas e palmas, hipersalivação e cegueira progressiva. A intoxicação por mercúrio apresenta os seguintes sintomas: gosto metálico, hipersalivação, gengivite, tremores e rubor. A ocorrência de psicose com intoxicação por mercúrio é rara.
Exposição a organofosforados: uma história de uso de pesticidas (especialmente em trabalhadores agrícolas) deve levantar suspeita de intoxicação por organofosforados. O diagnóstico é clínico. Geralmente, há uma crise colinérgica aguda inicial e uma fase intermediária de paralisia respiratória (24 a 96 horas), seguidas em 1 a 3 semanas por neuropatia. Os sintomas e sinais físicos abrangem: broncoespasmo, náuseas e vômitos, visão turva, diaforese, confusão, ansiedade, paralisia respiratória e sintomas extrapiramidais.
História alimentar: dieta vegana, transtornos alimentares ou desnutrição relacionada a alcoolismo, dependência de drogas ou privação elevam o risco de deficiências vitamínicas. As deficiências de vitamina B12, folato, tiamina e niacina podem causar psicose. Uma síndrome de má absorção pode produzir alterações no hábito intestinal.
Cirurgia recente: deve-se considerar a possibilidade de hipóxia se uma psicose aguda ocorrer durante o período pós-operatório.
Uma história familiar pode revelar um transtorno neurológico, metabólico ou autoimune de origem genética em um parente de primeiro grau. A doença de Wilson é a causa hereditária mais comum de psicose. Uma história de um transtorno psicótico primário em um parente de primeiro grau também pode estar presente.
Histórico de viagens recentes: se houver suspeita de encefalite infecciosa, o histórico de viagens recentes será importante para avaliar o risco de exposição a causas infecciosas, como parasitas (raros nos EUA).
Experiências "psicóticas" de natureza espiritual poderão não ser patológicas se não estiverem associadas a sofrimento ou comprometimento funcional ou social, se forem compatíveis com o histórico cultural do paciente e reconhecidas por outros da mesma cultura, e se houver ausência de comorbidades psiquiátricas.[60]
Exame físico
A avaliação inicial deve consistir em exames físico e do estado mental completos. As características importantes no exame físico geral que podem auxiliar a identificar causas específicas de psicose incluem:
Flutuações no nível de consciência, sugerindo delirium.
Presença de taquicardia e hipertensão, sugestivas de tireotoxicose, intoxicação por medicamentos ou uma síndrome de abstinência aguda a drogas.
Presença de febre, levantando suspeitas de encefalite. Erupções cutâneas características podem ser notadas mediante inspeção geral em algumas causas de encefalite (por exemplo, sífilis).
Evidências de desnutrição, sugestivas de deficiências vitamínicas.
Sinais de hipo ou hipertireoidismo ou características cushingoides, levantando suspeita de uma causa endócrina.
Deformidades articulares observáveis, erupções cutâneas ou outros sinais específicos associados a um distúrbio autoimune subjacente.
Dismorfia corporal, caso em que se deve considerar causas genéticas e cromossômicas raras.
[Figure caption and citation for the preceding image starts]: Sífilis secundária apresentando máculas e pápulas pigmentadas na pele.CDC/Susan Lindsley; usada com permissão [Citation ends].
[Figure caption and citation for the preceding image starts]: Cancro sifilítico primário no lábio.Centros de Controle e Prevenção de Doenças (CDC); usado com permissão [Citation ends].
[Figure caption and citation for the preceding image starts]: Paciente com síndrome de Cushing, antes e depois da terapia.Do acervo de Ty Carroll e James W. Findling, Endocrinology Center, Medical College of Wisconsin; usada com permissão [Citation ends].
Um exame neurológico completo deve ser realizado. Características importantes do exame neurológico que podem sugerir uma causa neurológica incluem:
Afasia
Ataxia
Sinal de Babinski
Reflexos tendinosos bruscos
Deficit do nervo craniano
Máscara facial
Distúrbio da marcha
Hemianopsia
Hemiparesia
Mioclonia
Neuropatia com fraqueza e redução da percepção de vibração e sentido de posição: podem ser observados em deficiências de vitamina B
Parestesias
Sinais de pressão intracraniana elevada: podem estar presentes em pacientes com lesão com efeito de massa ou hematoma subdural.
Tremores.
Movimento e marcha anormais podem ser indicativos da doença de Parkinson ou esclerose múltipla.
Catatonia (agrupada no comportamento psicomotor elevado, anormal e reduzido): pode ocorrer em caso de transtorno clínico ou psiquiátrico.[61]
Exames iniciais
O objetivo dos exames iniciais é identificar pacientes com uma causa orgânica, assim como excluir as causas orgânicas mais comuns. Todos os pacientes necessitam de:
O fator antinuclear (FAN) e a velocidade de hemossedimentação (VHS) podem ser considerados como rastreamento para possíveis doenças autoimunes
Hemograma completo, para avaliar a presença de anemia ou infecção
Glicose, para descartar a possibilidade de hipo ou hiperglicemia
Testes da função hepática (inclusive de gama-glutamiltransferase)
Paratormônio e cálcio
Eletrólitos e creatinina séricos, para avaliar a função renal
Testes para ISTs, incluindo HIV e sífilis
Testes de função tireoidiana (hormônio estimulante da tireoide [TSH], T4 livre)
Exame de urina para detecção de drogas
Níveis de vitamina B12, tiamina, niacina e folato.
Os achados do hemograma completo são inespecíficos. A ocorrência de leucocitose deve levantar suspeitas de infecção. Os eletrólitos séricos podem estar anormais se houver um distúrbio metabólico ou endócrino subjacente. Os testes da função hepática podem estar anormais em diversas condições, inclusive abuso crônico de álcool e doença de Wilson. Os testes da função renal podem detectar uma insuficiência renal subjacente.
Drogas recreativas são as causas secundárias mais comuns de psicose. Exames de substâncias na urina são necessários em todos os pacientes, para rastrear a presença de anfetaminas, benzodiazepínicos, cocaína, cannabis e opioides. Se houver suspeita de alucinógenos, baseada na história e nas características clínicas, um rastreamento de drogas por meio da análise de sangue ou cabelo também pode ser necessário. Os agentes causadores conhecidos devem ser descontinuados. Se os sintomas remitirem, um diagnóstico de psicose induzida por drogas poderá ser realizado retrospectivamente. As síndromes de abstinência são diagnosticadas clinicamente. Níveis de álcool no sangue serão úteis se houver suspeita de álcool como um fator contribuinte, embora um resultado positivo não seja diagnóstico de abuso de álcool.
Os níveis de vitamina B12, tiamina, niacina e folato devem ser medidos para excluir uma deficiência nutricional.
Os testes TSH e T4 devem ser realizados para descartar hipo ou hipertireoidismo.
O FAN e a VHS, embora inespecíficos, podem ser úteis para rastrear a presença de distúrbios autoimunes. Se o FAN for positivo ou a VHS estiver elevada, investigações específicas para o distúrbio suspeito deverão ser realizadas, orientadas pelos achados clínicos.
Recomenda-se um exame de imagem urgente do cérebro para pacientes que apresentem psicose de início recente quando houver caraterísticas que sugerem uma causa intracraniana, como cefaleia grave e incessante, deficits neurológicos focais ou trauma cranioencefálico recente.
Delirium com psicose: exames iniciais adicionais
Quando um paciente apresentar delirium com psicose, diversos testes iniciais urgentes deverão ser realizados para identificar a causa subjacente, inclusive todos os exames de sangue iniciais e:
Hemocultura
Urinálise e cultura
Radiografia torácica.
Os pacientes com suspeita de síndrome de Cushing são submetidos a um teste de cortisol urinário livre de 24 horas. Indivíduos com suspeita de hiperparatireoidismo necessitam de testes de cálcio e paratormônio séricos. Se a porfiria for uma possibilidade, faça uma investigação por meio da presença de porfobilinogênio em amostra de urina colhida durante um ataque agudo, de porfirinas em amostra de urina de 24 horas, porfobilinogênio e ácido delta-aminolevulínico.
O rastreamento da doença de Wilson deve ser considerado nos pacientes com psicose de início abrupto. Os testes iniciais incluem ceruloplasmina, excreção de cobre na urina de 24 horas e um exame oftalmológico com lâmpada de fenda para detectar anéis de Kayser-Fleischer. Os outros testes incluem cobre sérico total, biópsia hepática e investigação genética para ATP7B.[62]
[Figure caption and citation for the preceding image starts]: Olho com anel de Kayser-FleischerAdaptado do BMJ (2009), usado com permissão; copyright 2009 pelo BMJ Publishing Group [Citation ends].
As doenças do armazenamento lisossomal necessitam de testes diagnósticos específicos que podem abranger biópsias de pele, testes genéticos e a detecção da enzima alfagalactosidase no plasma ou soro. A homocistinúria é diagnosticada por testes quantitativos de homocisteína na urina e sangue e por testes genéticos moleculares. A leucodistrofia metacromática é diagnosticada verificando-se a atividade da enzima arilsulfatase A em leucócitos ou fibroblastos cutâneos cultivados.
Exames posteriores
Exames adicionais serão orientados pelo quadro clínico. Se houver suspeita de toxicidade por drogas (prescritas ou ilícitas), talvez seja necessário verificar a toxicologia urinária e o nível de drogas/medicamentos no sangue. As outras testagens podem incluir:
Troponina cardíaca
Eletrocardiograma (ECG)
Tempo de protrombina e tempo de tromboplastina parcial ativada
Cálcio sérico
Creatina quinase sérica
Fósforo sérico.
Além das drogas recreativas e medicamentos, outras exposições tóxicas poderão estar presentes e deverão ser excluídas, caso as características clínicas sejam sugestivas. A intoxicação por organofosforados é um diagnóstico clínico (a medição da atividade da colinesterase nos eritrócitos se correlaciona à acetilcolinesterase do SNC e é um marcador útil do envenenamento por organofosforados, mas não prontamente disponível.) Quando a intoxicação por metais pesados for considerada, um rastreamento na urina para metais pesados será realizado.
Pacientes com desnutrição extrema poderão apresentar pelagra causada por deficiência de niacina, ou psicose de Korsakoff causada por deficiência de tiamina. Os níveis de niacina e/ou tiamina deverão ser medidos se houver suspeita dessas doenças. Um exame da atividade da transcetolase de eritrócitos e um teste de excreção urinária de tiamina em 24 horas também poderão ser solicitados, caso haja suspeita da deficiência de tiamina. Se for considerada a possibilidade de deficiência de folato, a homocisteína sérica também poderá ser medida subsequentemente aos testes de folato e vitamina B12 sérica. Os seguintes testes também poderão ser realizados, após a verificação do nível de niacina sérica, se houver suspeita de deficiência: triptofano sérico, nicotinamida-adenina dinucleotídeo sérica e nicotinamida-adenina dinucleotídeo fosfato sérica.
Testes para o vírus da imunodeficiência humana (HIV) (se houver suspeita de complicações neurológicas do HIV) e um teste treponêmico (se houver suspeita de neurossífilis) deverão ser considerados se as características clínicas forem sugestivas desses diagnósticos, fatores de risco conhecidos estiverem presentes ou a proveniência do paciente for de uma população em que sífilis, HIV ou outras doenças sexualmente transmissíveis (DSTs) sejam comuns.
Deverão ser solicitadas uma ressonância nuclear magnética (RNM) ou tomografia computadorizada (TC) cranioencefálicas, se houver suspeita de uma causa orgânica do SNC.[6] As indicações para uma RNM ou TC abrangem:
Uma história de trauma cranioencefálico (para detectar sangramento ou hematoma intracraniano)
Presença de sinais neurológicos focais
Cefaleia suspeita ou alteração no padrão da cefaleia
Início em idade tardia ou deficit cognitivo pronunciado, sugestivo de demência.
Sintomas psicóticos atípicos, como alucinações visuais
[Figure caption and citation for the preceding image starts]: Fratura occipital se estendendo até o forame magno: risco de compressão do tronco encefálico por hematoma.Do acervo de aulas de Demetrios Demetriades, Division of Trauma and Surgical Intensive Care, LAC/USC Trauma Center, Keck School of Medicine da USC; usada com permissão [Citation ends].
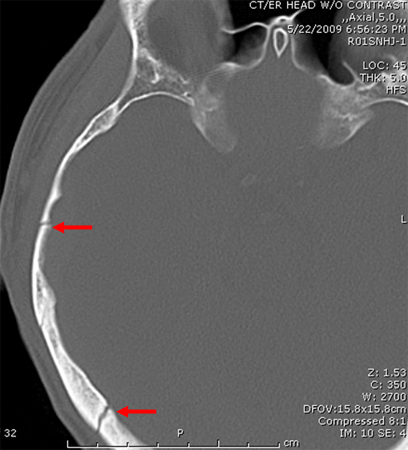
[Figure caption and citation for the preceding image starts]: Fratura parietal linear sem depressãoDo acervo de aulas de Demetrios Demetriades, Division of Trauma and Surgical Intensive Care, LAC/USC Trauma Center, Keck School of Medicine da USC; usada com permissão [Citation ends].
[Figure caption and citation for the preceding image starts]: Fratura do osso temporal.Do acervo de aulas de Demetrios Demetriades, Division of Trauma and Surgical Intensive Care, LAC/USC Trauma Center, Keck School of Medicine da USC; usada com permissão [Citation ends].
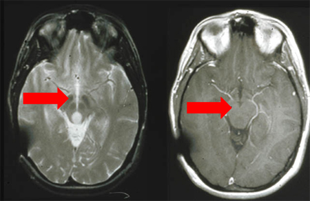
[Figure caption and citation for the preceding image starts]: RNM: T2 e T1 pós-contraste, demonstrando glioma do teto mesencéfalo (grau II).Do acervo pessoal de Karine Michaud, University of California, San Francisco; usada com permissão [Citation ends].
A RNM cranioencefálica com gadolínio é usada quando se considera o diagnóstico de esclerose múltipla. Deverão ser realizadas uma punção lombar e análise do líquido cefalorraquidiano (inclusive contagem diferencial de celularidade, cultura e sorologia), juntamente com um teste de potenciais evocados, se houver suspeita de esclerose múltipla. A punção lombar e a análise do líquido cefalorraquidiano devem ser realizadas se houver suspeita de encefalite e tiver sido descartada a presença de uma lesão com efeito de massa no cérebro. Uma TC do tórax será útil para diagnosticar um timoma, após uma radiografia torácica.[Figure caption and citation for the preceding image starts]: Ressonância nuclear magnética (RNM) com recuperação da inversão atenuada de fluido (FLAIR) e agente de contraste gadolínio, exibindo lesões típicas observadas na esclerose múltipla (EM) nas regiões periventriculares.Do acervo pessoa de Lael A. Stone, Mellen Center for MS Treatment and Research, Neurological Institute, Cleveland Clinic Foundation; usada com permissão [Citation ends].
Considere solicitar um eletroencefalograma (EEG) se houver suspeitas de epilepsia do lobo temporal ou encefalopatia. Testes genéticos podem ser indicados em situações específicas, como testes para a doença de Huntington em indivíduos com demência.
Investigações adicionais em indivíduos com suspeita de síndrome de Cushing incluem glicose sanguínea, teste de supressão com dexametasona de baixa dose, cortisol salivar no fim do dia e teste do hormônio liberador de corticotropina e dexametasona. Indivíduos com testes tireoidianos iniciais anormais podem ser acompanhados com níveis de T3 livre e um ensaio de imunoadsorção enzimática (ELISA) de anticorpos tireoidianos para anti-tireoperoxidase.
Avaliação psiquiátrica
As causas psiquiátricas (ou seja, não orgânicas) da psicose poderão ser diagnosticadas quando as causas orgânicas tiverem sido descartadas.
É necessária uma história psiquiátrica cuidadosa para diagnosticar os transtornos psicóticos primários. Ela deve incluir um exame detalhado do estado mental. Devem ser consultados os critérios diagnósticos do DSM-5-TR ou da CID-11.[2][63] Ao considerar diagnósticos específicos, tais como transtorno bipolar, o National Institute for Health and Care Excellence (NICE) do Reino Unido recomenda que um membro da família do paciente ou um cuidador apresente uma história de corroboração.[64]
A diretriz do NICE do Reino Unido sobre psicose e esquizofrenia recomenda que pessoas com uma primeira apresentação de psicose recebam uma avaliação multidisciplinar abrangente, sem demora, por um psiquiatra, psicólogo ou outro profissional com conhecimento psiquiátrico.[65] A avaliação deverá abranger:[65]
História psiquiátrica, incluindo risco de automutilação ou de causar danos a terceiros, álcool e terapia com medicamentos prescritos e não prescritos
História médica
Saúde física e bem-estar atuais, inclusive peso, tabagismo, exercício
Relacionamento (redes psicológicas, psicossociais, sociais) e história de trauma
História do desenvolvimento
História social
História ocupacional e educacional
Qualidade de vida
Condição econômica.
Esquizofrenia:[2]
Com base nos critérios do DSM-5-TR, a esquizofrenia pode ser diagnosticada se as seguintes condições forem atendidas:
Dois ou mais dos seguintes sintomas estão presentes: delírios, alucinações, discurso desorganizado, comportamento desorganizado/catatônico ou sintomas negativos. Pelo menos um dos sintomas deve consistir em delírios, alucinações ou fala desorganizada.
Os sintomas ocorrem por um período de, no mínimo, 1 mês (pode ser menos, com tratamento) e estão associados a sinais contínuos do distúrbio por, no mínimo, 6 meses de declínio funcional, por um período significativo desde o início.
Os sintomas não podem ser atribuídos a efeitos de uma substância ou a outra doença, e os transtornos de humor com características psicóticas foram descartados.
Transtorno esquizofreniforme:[2]
Com base nos critérios do DSM-5-TR, o transtorno esquizofreniforme é caracterizado pela ocorrência de dois ou mais dos sintomas a seguir, presentes durante uma parte considerável de um período de 1 mês (menos, se tratados):
Delírios
Alucinações
Fala desorganizada (por exemplo, descarrilamento ou incoerência frequentes)
Comportamento excessivamente desorganizado e catatônico
Sintomas negativos.
Pelo menos um dos sintomas deve consistir em delírios, alucinações ou fala desorganizada.
O episódio dura pelo menos 1 mês, mas menos de 6 meses.
O transtorno esquizoafetivo e a depressão ou o transtorno bipolar com características psicóticas foram descartados, e os sintomas não são atribuídos aos efeitos de uma substância ou outro quadro clínico.
Transtorno esquizoafetivo:[2]
Com base nos critérios do DSM-5-TR, o primeiro episódio de transtorno esquizoafetivo possui um período ininterrupto da doença, durante o qual há um episódio de transtorno de humor (transtorno depressivo maior ou maníaco) concomitante com dois ou mais dos seguintes sintomas: delírios, alucinações, discurso desorganizado, comportamento desorganizado/catatônico ou sintomas negativos. Pelo menos um dos sintomas deve consistir em delírios, alucinações ou fala desorganizada.
Durante o período da afecção, há delírios ou alucinações por 2 semanas ou mais, na ausência de sintomas de humor proeminentes.
Sintomas de humor estiveram presentes na maior parte da duração total do período ativo e residual da doença.
Outras etiologias possíveis foram descartadas, como substâncias (por exemplo, medicamentos ou abuso de drogas) ou outra doença.
Transtorno psicótico breve:[2]
Sintoma(s) psicótico(s)
A presença de um ou mais dos seguintes sintomas: delírios, alucinações, fala desorganizada ou comportamento gravemente desorganizado ou catatônico. Pelo menos um dos sintomas deve consistir em delírios, alucinações ou fala desorganizada.
Duração do episódio
Por no mínimo 1 dia, mas <1 mês, antes de um retorno completo ao nível pré-mórbido de funcionamento.
Não justificado por outras etiologias
por exemplo, outra doença, efeitos fisiológicos diretos de uma substância (uso indevido de drogas ou medicamentos), transtorno do humor com características psicóticas ou outro transtorno psicótico.
Transtorno delirante:[2]
Delírios de duração de ao menos 1 mês.
O paciente não preencheu os critérios para o diagnóstico de esquizofrenia. Alucinações, se presentes, estão relacionadas com o tema delirante e não são proeminentes.
Fora o impacto dos delírios ou suas ramificações, não há comprometimento funcional acentuado e o comportamento não é obviamente estranho ou bizarro.
Caso tenham ocorrido episódios de humor, eles foram breves em relação à duração dos períodos delirantes.
O transtorno não é decorrente de efeitos fisiológicos diretos de uma substância ou quadro clínico geral, e não é melhor explicado por nenhum outro transtorno mental.
Transtorno bipolar:
O DSM-5-TR classifica o transtorno bipolar separadamente dos transtornos depressivos, do espectro de esquizofrenia e de outros transtornos psicóticos.[2] O diagnóstico de transtorno bipolar tipo I requer um episódio maníaco, que pode ter sido precedido ou seguido por episódios depressivos maiores ou hipomaníacos. Um episódio maníaco dura pelo menos 1 semana e é definido como um período de humor persistentemente elevado, expansivo ou irritável e aumento persistente da atividade ou da energia, com características específicas que representam uma mudança em relação ao comportamento normal.[2]
Três ou mais das seguintes características (ou quatro, se o humor for apenas irritável) estão presentes:
Autoestima inflada
Alteração no padrão de sono: o paciente relata necessitar significativamente de menos horas de sono para se sentir descansado.
A fala é rápida na maioria das conversas.
Fuga de ideias e o paciente relata pensamentos que surgem rápido demais para acompanhar
Distraibilidade
Aumento da atividade dirigida a objetivos ou agitação psicomotora
Envolvimento excessivo em atividades que têm alto potencial de consequências dolorosas.
As pessoas com transtorno bipolar tipo I apresentam comprometimento funcional acentuado durante o episódio maníaco, o qual não se deve a nenhum outro distúrbio clínico ou substância pode requerer hospitalização ou ter características psicóticas. Episódios depressivos maiores são comuns, mas não são necessários para o diagnóstico de transtorno bipolar tipo I.
As pessoas com transtorno bipolar tipo II nunca apresentaram nenhum um episódio maníaco completo, mas podem ser diagnosticadas após, pelo menos, um episódio hipomaníaco e pelo menos um episódio depressivo maior. Os episódios hipomaníacos duram ≥4 dias e estão presentes na maior parte do dia, quase todos os dias. Há uma inequívoca alteração no funcionamento durante este período, observável por outras pessoas, mas que não se deve a nenhuma outra afecção clínica ou substância. No entanto, o comprometimento funcional não é acentuado e não há psicose durante o episódio hipomaníaco.[2]
O uso deste conteúdo está sujeito ao nosso aviso legal