Imagens e vídeos
IMAGENS

Avaliação da hemoptise
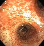
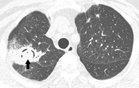
Carcinoma de células renais metastático no lobo superior direito
Do acervo pessoal do Dr. Erik Folch
Veja esta imagem em contexto nas seguintes seções:

Avaliação da hemoptise
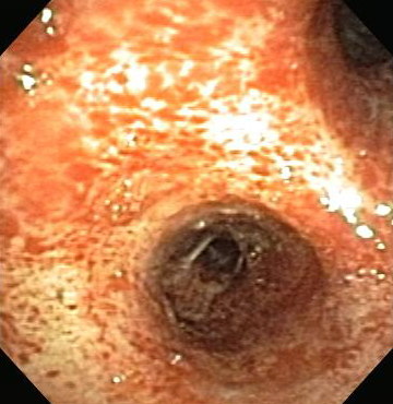
Sinais endobrônquicos de coagulopatia em um paciente que toma clopidogrel e aspirina
Do acervo pessoal do Dr. Erik Folch
Veja esta imagem em contexto nas seguintes seções:

Avaliação da hemoptise
Melanoma metastático endobrônquico
Do acervo pessoal do Dr. Erik Folch
Veja esta imagem em contexto nas seguintes seções:

Avaliação da hemoptise
Tumor da traqueia
Do acervo pessoal do Dr. Erik Folch
Veja esta imagem em contexto nas seguintes seções:

Avaliação da hemoptise
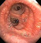
Semente de nêspera ocluindo completamente o brônquio intermédio
Do acervo de Dr. Septimiu Murgu e Dr. Henri Colt; usado com permissão
Veja esta imagem em contexto nas seguintes seções:

Avaliação da hemoptise
Mucosa endobrônquica hipervascular
Do acervo pessoal do Dr. Erik Folch
Veja esta imagem em contexto nas seguintes seções:

Avaliação da hemoptise
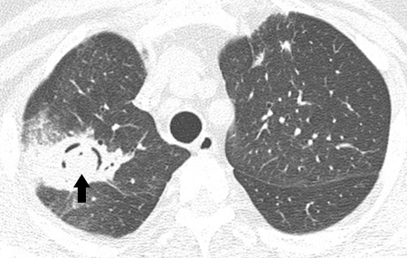
Infecção por Aspergillus
Do acervo pessoal do Dr. Jeffrey Kanne, usado com permissão
Veja esta imagem em contexto nas seguintes seções:
Vídeos
- Como realizar uma demonstração animada do ECG
Como registrar um ECG. Demonstra a colocação de eletrodos no tórax e nos membros.
O uso deste conteúdo está sujeito ao nosso aviso legal