Abordagem
A menos que a causa subjacente já esteja aparente (e seja tratada de maneira adequada), a presença de pancitopenia sempre requer a investigação por um hematologista.
A presença de pancitopenia grave (anemia sintomática, contagem absoluta de reticulócitos <60 x 10⁹/L [<60,000/microlitro], leucócitos <0.5 x 10⁹/L [<500/microlitro] e plaquetas <20 x 10⁹/L [<20 x 10³/microlitro]) exige investigação urgente (dentro de 24-48 horas). Uma história completa e exame físico são sempre necessários, preferencialmente conduzidos por um hematologista. Um hemograma completo e exame de esfregaço de sangue periférico efetuado por um hematologista são essenciais. Exame da medula óssea por aspirado com biópsia é quase sempre necessário.[29][30][31]
[Figure caption and citation for the preceding image starts]: Diagrama de fluxo para avaliação de pancitopenia. Abreviações: HPN, hemoglobinúria paroxística noturna; SFHMO, síndromes de falências medulares hereditáriasDo acervo de Jeff K. Davies [Citation ends].
História
As causas de pancitopenia são diversas e as causas prováveis de pancitopenia variam entre crianças e adultos. Atenção específica deve ser concentrada no paciente e na história familiar. Qualquer história prévia de pancitopenia, ou citopenia de célula única, anemia aplásica, síndromes de falências medulares hereditárias, perda fetal precoce, história de câncer, distúrbios metabólicos, doenças hepáticas ou doenças do tecido conjuntivo é relevante. Uma história de medicamentos detalhada é fundamental.
Os sintomas e sinais de pancitopenia estão relacionados a linhagens de células sanguíneas afetadas (eritrócitos, leucócitos e plaquetas). A pancitopenia leve é frequentemente assintomática e detectada acidentalmente, quando se pede um hemograma completo por algum outro motivo, particularmente em combinação com doenças virais inespecíficas em crianças. A pancitopenia dessa etiologia tem recuperação espontânea.
Sangramento espontâneo das mucosas (gengivas, trato gastrointestinal), petéquias e púrpura com hematomas frequentes secundários a trombocitopenia são geralmente os primeiros sintomas desenvolvidos diretamente relacionados com a pancitopenia mais grave. Esses sintomas são frequentemente acompanhados de anemia sintomática (fadiga, dispneia, edema dependente, dor torácica em pacientes com doença isquêmica) e infecção bacteriana secundárias a neutropenia (febre, mucosite, abscessos, calafrios).
Exame físico
Um exame físico detalhado é necessário, preferencialmente conduzido por um hematologista. Perda de peso e/ou anorexia são prenúncios de infecção subjacente (seja precedente à pancitopenia ou decorrente dela) ou neoplasia maligna. Sangramento espontâneo das mucosas (gengivas, trato gastrointestinal), petéquias e púrpura com hematomas frequentes secundários a trombocitopenia são geralmente os primeiros sinais desenvolvidos diretamente relacionados com a pancitopenia mais grave. Esses sinais são frequentemente acompanhados por linfadenopatia (infecção subjacente, mononucleose, distúrbio linfoproliferativo e neoplasias malignas). O desconforto abdominal é uma característica comum da esplenomegalia e doenças associadas. Dor óssea disseminada e perda de altura sugerem mieloma, dor articular sugere lúpus eritematoso sistêmico (LES) e faringite sugere a consideração de mononucleose.
Os pontos de referência a seguir para sistemas de órgãos específicos e condições associadas podem ser úteis para orientar o exame.
Exame oftalmológico
Hemorragia retiniana (trombocitopenia)
Infiltrados leucêmicos (leucemia aguda)
Icterícia da esclerótica (hemoglobinúria paroxística noturna [HPN], hepatite, cirrose)
Epífora (disceratose congênita)[Figure caption and citation for the preceding image starts]: IcteríciaCentros de Controle e Prevenção de Doenças (CDC). Dr. Thomas F. Sellers/Emory University; usado com permissão [Citation ends].

Exame oral
Hemorragia ou petéquias orais (trombocitopenia)
Estomatite ou queilite (neutropenia, deficiência de vitamina B12)
Hiperplasia gengival (leucemia)
Candidíase oral ou exsudato faríngeo (neutropenia, infecções por vírus da família do herpes)[Figure caption and citation for the preceding image starts]: Queilite angularDo acervo de Dr Wanda C. Gonsalves; usado com a permissão do paciente [Citation ends].
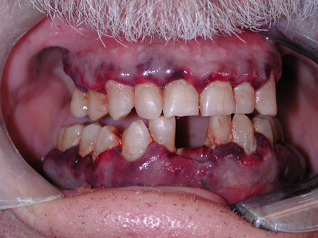
[Figure caption and citation for the preceding image starts]: Aumento gengival, petéquias e sangramento em leucemia mieloide agudaAcervo de Giuseppina Campisi, DDS, MS e Giuseppe Pizzo, DDS [Citation ends].
Exame cardiovascular
Taquicardia, edema, insuficiência cardíaca congestiva (todos sinais de anemia sintomática)
Evidência de cirurgia cardíaca prévia (doença cardíaca associada a síndromes congênitas)
Exame respiratório
Baqueteamento digital (câncer de pulmão)
Taquipneia (sinal de anemia sintomática)[Figure caption and citation for the preceding image starts]: Baqueteamento digital das unhas mostrando a perda do ângulo clássico de LovibondDo acervo de Dr. Murlidhar Rajagopalan [Citation ends].

Exame abdominal
Sensibilidade no quadrante superior direito (hepatite)
Linfadenopatia (infecção, distúrbio linfoproliferativo, infecção por vírus da imunodeficiência humana [HIV])
Sinais de doença hepática crônica
Esplenomegalia (infecção, distúrbios mieloproliferativos e linfoproliferativos)
Exame da pele
Erupção cutânea malar (lúpus eritematoso sistêmico [LES])
Púrpura/hematomas (trombocitopenia)
Pigmentação reticular, unhas displásicas (disceratose congênita)
Áreas hipopigmentadas
Hiperpigmentação, manchas "café com leite" (anemia de Fanconi)[Figure caption and citation for the preceding image starts]: Manchas café-com-leite nas costas de um meninoDo acervo pessoal de Dr. Vincent M. Riccardi; usado com permissão [Citation ends].

Exame musculoesquelético
Baixa estatura (anemia de Fanconi, outras síndromes congênitas)
Edema/sinovite (LES)
Polegares anormais e outras anomalias dos raios radiais (por exemplo, anemia de Fanconi)
Sinais associados à infecção por HIV
Erupção cutânea morbiliforme nas fases iniciais da infecção
Sarcoma de Kaposi seguido por nódulos ulcerados
Síndromes de falências medulares hereditárias podem apresentar anormalidades ósseas, renais ou congênitas características, ou anormalidades pulmonares ou cutâneas. Pesquisar por essas anormalidades não deve fazer parte da investigação inicial, mas se encontradas em imagens obtidas por outros motivos, a síndrome de falência medular hereditária deve ser investigada como possível etiologia da pancitopenia. A ausência de anomalias físicas não descarta uma síndrome de falência medular hereditária (IBMFS).
Laboratório
Um hemograma completo e exame de esfregaço de sangue periférico efetuado por um hematologista são essenciais. Uma bateria padrão de testes de avaliação pode incluir:
Contagem de reticulócitos séricos
Sorologia hepática e testes séricos da função hepática
Perfil de coagulação sérico, tempo de sangramento, fibrinogênio e dímero D
Teste de antiglobulina sérica (Coombs) direto
Dosagem de vitamina B12 e folato séricos
Testes séricos para vírus da imunodeficiência humana (HIV) e ácido nucleico.
Testes específicos apontam para diagnósticos nas seguintes condições:
Anemia de Fanconi: teste de diepoxibutano (DEB) para quebra cromossômica em linfócitos de sangue periférico
Distúrbios linfoproliferativos: imunofenotipagem, citogenética, biópsia dos linfonodos
Mieloma múltiplo: imunoeletroforese
Hemoglobinúria paroxística noturna (HPN): imunofenotipagem do sangue periférico para deficiência de moléculas fosfatidilinositol-glicano vinculadas a células do sangue periférico (por exemplo, CD16, CD55, CD59)
Infecção por citomegalovírus: imunoglobulina M (IgM) e imunoglobulina G (IgG) séricas
Epstein-Barr: monospot sérico, antígeno do capsídeo viral (ACV) e anticorpo nuclear de Epstein-Barr (EBNA)
Leishmaniose e outras infecções raras: hemocultura e cultura da medula óssea, ensaio de imunoadsorção enzimática (ELISA) sérico
Distúrbios metabólicos e genéticos raros: atividade de glucocerebrosidase de leucócitos.
Exames específicos adicionais incluem:
Antígeno prostático específico sérico em casos de suspeita de malignidade da próstata.
comprimento do telômero
Análise genética envolvendo testes para distúrbios individuais baseados em suspeita clínica, ou painéis mais recentes (muitos ainda em desenvolvimento atualmente) para avaliar mutações e deleções. A mutação das linhas germinativas pode estar ausente em linfócitos do sangue periférico devido ao mosaicismo; considere fibroblastos cutâneos para análise genética se houver grande suspeita de mutação das linhas germinativas.[32]
O exame da medula óssea é quase sempre indicado em casos de pancitopenia a menos que a causa esteja aparente (por exemplo, doença hepática estabelecida com hipertensão portal).[29][30][31] O exame da medula óssea consiste em aspirado e biópsia por trefina, os quais produzem informações complementares nesses casos. O diagnóstico diferencial de pancitopenia pode ser amplamente classificado com base na celularidade da medula óssea (celularidade reduzida indica produção diminuída de células sanguíneas e celularidade normal/elevada indica produção ineficiente ou destruição/sequestro elevados de células sanguíneas).
Especificamente, o aspirado da medula óssea permite o exame de:
Citologia (alteração megaloblástica, alterações displásicas, infiltrados anormais de células, hemofagocitose e infecção [por exemplo, corpos Leishman-Donovan])
Imunofenotipagem (leucemias agudas e crônicas, distúrbios linfoproliferativos)
Citogenética (mielodisplasia [SMD], leucemias agudas e crônicas, distúrbios linfoproliferativos).
A biópsia da medula óssea por trefina permite exame específico da celularidade:
Normal ou elevada na SMD, leucemia aguda e crônica, mieloma com plasmócitos, infiltração carcinomatosa na medula, condições de destruição/sequestro periféricos, doença precoce por HIV e anemia megaloblástica
Diminuída após quimioterapia, infecção/sepse aguda, doença por HIV avançada, síndrome mielodisplásica hipoplásica, síndrome de falência medular hereditária/congênita, anemia aplásica idiopática, lúpus eritematoso sistêmico (LES) e HPN.
A biópsia por trefina também permite exame histológico e avaliação de:
Infiltração celular
Blastos
Características da SMD (por exemplo, localização anormal de precursores imaturos)
Coloração reticular (fibrose).
No mundo desenvolvido, foi proposto que a etiologia mais provável do novo episódio de pancitopenia, quando investigada com avaliação da medula óssea, é leucemia linfoide aguda em crianças e leucemia mieloide aguda/síndrome mielodisplásica em adultos.[33] Em outras partes do mundo (por exemplo, na Índia), hiperesplenismo e infecção podem ser as etiologias mais frequentes de pancitopenia.[34]
Radiologia
Ultrassonografia abdominal ou tomografia computadorizada do abdome são indicadas para avaliar a presença de esplenomegalia. A radiografia torácica pode revelar massas tumorais responsáveis pela pancitopenia (por exemplo, carcinoma, timoma). Nos casos em que há suspeita de infiltração metastática da medula óssea, ultrassonografia da tireoide ou imagens da mama também podem ser apropriadas. Síndromes de falências medulares hereditárias podem apresentar anormalidades ósseas, renais ou pulmonares características. Pesquisar por essas anormalidades não deve fazer parte da investigação inicial, mas se encontradas em imagens obtidas por outros motivos, a síndrome de falência medular hereditária deve ser investigada como possível etiologia da pancitopenia.
O uso deste conteúdo está sujeito ao nosso aviso legal